APP下載
活動
爆料
圖輯
AI爆報
追蹤新聞
4
蔣萬安赴議會專案報告
台灣彩券開獎直播中
三立iNEWS新聞台線上直播
LIVE三立+24小時直播
即時
黃明志捲命案
非洲豬瘟侵台
新聞
熱門
政治
社會
娛樂
生活
新奇
健康
國際
兩岸
運動
財經
房產
旅遊
科技
汽車
遊戲
ESG
影音
總覽
政論
節目
熱搜
直播
iNEWS
專題
總覽
特企
專頁
大事件
彩券
專欄
民調
快訊
開盤/大盤狂跌482點 台積電跌30元
09:07
普發一萬18家銀行加碼!最高11萬一文看懂
09:06
精品大亨帶小三回家當保母 妻為1事忍了
09:04
太子集團9年洗錢45億!幹部辜淑雯遭聲押
09:01
微型電動二輪車管理漏洞百出 交通埋隱憂
09:00
淡水河驚見女浮屍身分曝光…家屬悲慟認屍
08:59
汽車品牌死而復生 沙灘車裝皮卡王心臟
08:58
王子聲明沒掛事務所名 業界人士曝內幕
08:57
王子律師聲明一大重點曝!網刷一排問這事
08:56
薛仕凌涉閃兵!《女外科》男主人選連出事
08:52
違規抽菸屢見不鮮 頑童小春無視禁令惹議
08:51
普發1萬開放登記 賴清德貼圖:五領取方式
08:51
豆漿害乳癌嗎?「這樣吃」防癌、護心血管
08:46
逃票推人落軌險殺站務員!他涉1重罪起訴
08:41
王子二次致歉 作家:把范姜當植物人嗎?
08:37
周湯豪深夜男女同樂 公園吞雲吐霧已違法
08:34
進警局前自拍…黃明志離開警局律師說話了
08:34
王子願分期!她曝算法:不是這樣就有誠意
08:31
坣娜死訊強碰音樂會 好友阮丹青獻唱緬懷
08:30
熱愛運動成痴 温貞菱文青女神成排球少女
08:25
台灣彩券開獎直播中
20:31
蔣萬安赴議會專案報告
08:30
2025TCCF創意內容大會 南港展覽館開幕
08:00
搶票網路太慢?三款神器推薦趁雙11入手
17:30
旨味入魂!康寶【鮮味職人】雙口味全上市
17:00
2025高球長春公開賽 泰籍托馬倫衛冕冠軍
13:00
現代飲食必備!Prepara多元產品進軍全球
12:00
桃園市政府推動影像教育!
11:00
桃園城市影像培力坊 深化學員影像創作力
13:00
松山奉天宮主題曲!金曲歌王許富凱開唱
12:00
侯昌明 「桂格完膳」響應世界糖尿病日!
11:00
首頁
關鍵字
家族性高膽固醇血症
家族性高膽固醇血症
美女醫「20歲就吃藥降膽固醇」:就怕1事
許多慢性病患怕西藥會傷肝腎,而不敢規律服藥。但醫師黃...
2025/08/05 09:51
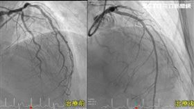
壞膽固醇飆塞爆血管 45歲女心衰竭
台中45歲張女士因心臟衰竭緊急就醫,初步檢查發現三條...
2020/04/21 10:02
突然胸悶胸痛 26歲男竟得冠心症
一位26歲的周先生,從事文創的他平常久坐久站、缺乏運...
2017/10/11 17:11
最新圖輯
更多
劉書宏專訪
袁澧林、陳孝萱專訪
第36屆金曲獎星光大道
第36屆金曲獎得獎圖輯
NMIXX林口體育館粉絲演唱會
KISS OF LIFE台北演唱會
林芯儀專訪
GYUBIN大巨蛋開球
陳謙文專訪
孫麥傑專訪
今日頭條
1
普發1萬登記3步驟!2尾數先 11類人等領錢
2
獨/粿粿兄遭起底喬傑立男團 孫德榮發聲
3
深夜發文投案 黃明志先在警局前自拍挨轟
4
準鳳凰北轉率逐漸升高「不排除升級強颱」
5
綠營彰化縣長意外四搶一 地方更憂心一事
6
美國傳貨機墜毀!炸出巨大火光…死傷不明
7
謝侑芯最後對話曝!閨密控黃明志騙飛大馬
8
信義雙屍驗6種毒品…疑混1物昏睡沒掙扎亡
9
小三迎進門再偷吃小四 精品大亨高調出軌
10
斷手急募6萬?2外籍男「賣慘乞討」踢鐵板
HOT焦點
更多
松山奉天宮主題曲!金曲歌王許富凱開唱
侯昌明 「桂格完膳」響應世界糖尿病日!
微型電動二輪車管理漏洞百出 交通埋隱憂
頻道推薦
直播✦活動
三立新聞網
為了提供更好的閱讀內容,我們使用相關網站技術來改善使用者體驗,也尊重用戶的隱私權,特別提出聲明。
了解最新隱私權聲明
知道了