APP下載
活動
爆料
圖輯
AI爆報
追蹤新聞
7
藍白嗆處理彈劾案賴清德說法
捷運土城樹林線開工祈福典禮
立法院會最新情況
藍白不敢倒閣玩彈劾卓榮泰說法
台灣彩券開獎直播中
三立iNEWS新聞台線上直播
LIVE三立+24小時直播
即時
財劃法不副署
高虹安涉貪逆轉
新聞
熱門
政治
社會
娛樂
生活
新奇
健康
國際
兩岸
運動
財經
房產
旅遊
科技
汽車
遊戲
ESG
影音
總覽
政論
節目
熱搜
直播
iNEWS
專題
總覽
特企
專頁
大事件
彩券
專欄
民調
快訊
全台雨下最猛時段曝 下波冷空氣這時報到
09:38
台積電出事!太空包斷繩…重砸吊車頭凹了
09:37
迎接最長寒假!大學首開熱門課 教談戀愛
09:33
統一獅準備選江少慶 預計19日公布補償
09:31
藍白反制不副署竟喊彈劾賴!林楚茵酸爆了
09:30
彈劾賴清德150萬連署?她驚:人數會下降
09:29
前助理控白委「職場霸凌」:應辭立委
09:27
藍白彈劾總統喊反獨裁 律師:臭習近平?
09:23
TikTok化解禁令威脅!美國投資團隊接手
09:23
誤食螞蟻小強怎辦?醫勸喝「1飲品」救胃
09:22
女騎士撞死人認:吸毒!真相未明…人跑了
09:20
酒駕重罰還吊照 「1原因」法官撤銷免罰
09:15
電話一接就掛!專家曝3大風險:千萬別接
09:12
送禮+私人會所享樂!鍾文智案掀警界醜聞
09:10
羅智強轟潘毀憲亂政 他曝12年前一幕嗆爆
09:09
開盤/記憶體族群全紅了 台股噴漲346點
09:08
冬至轉運大吉日!3禁忌犯了2026福氣跑光
09:02
彈劾賴清德?律師提憲法條文諷藍白打假球
09:01
獨家/坣娜追思會主視覺照片幕後故事曝光
09:00
新聞幕後/超神!央行背後高人是「他」
09:00
台灣彩券開獎直播中
20:31
立法院會最新情況
08:30
藍白不敢倒閣玩彈劾卓榮泰說法
08:30
捷運土城樹林線開工祈福典禮
09:00
藍白嗆處理彈劾案賴清德說法
09:30
賴瑞隆舉辦願景說明會 陳吉仲站台
20:00
強基金熱議00991A上市後價格震盪
19:00
展現市長級執行力!林岱樺解決園區四痛點
18:00
新北首創「獨居長者不動產防護網」防詐!
16:00
力挺台北愛樂40載!企業深耕藝文活動
15:00
何志偉參拜中壢媽!做客超級夜總會獻唱
12:00
職場霸凌頻傳《職安法》新增《霸凌專章》
12:00
一卡通iPASS MONEY APP推限時回饋
21:00
首頁
關鍵字
釘子
釘子
35歲男星現蹤花蓮救災 腳踩到釘子傷勢曝
花蓮馬太鞍溪堰塞湖9月23日下午溢流淹進光復鄉,造成...
2025/10/04 09:32
獨/淘寶買鞋見1cm釘子 試穿險刺傷濺血
網購已經是不少人的消費習慣,特別是有些民眾會在淘寶買...
2025/02/11 10:45
少年遭5同學燒紅釘子燙臉 校方方式1處理
大陸四川近日傳出有位14歲男學生遭3名同學霸凌,包括...
2024/12/25 14:40
腹中藏電池摺疊刀釘子 15歲男腸道破裂亡
印度一名15歲男孩因腹痛及呼吸困難,輾轉4間醫院治療...
2024/11/08 07:06
公園被灑釘子恐傷孩童 短期內已連續2件
新竹市頂竹圍公園,短時間內有民眾發現,連續2次公園內...
2023/06/29 21:14
墓碑被釘會影響子孫?風水大師曝恐怖後果
清明連假即將來到,民眾紛紛返鄉掃墓。一名網友分享,他...
2023/04/01 14:00
金鐘前濺血!郭彥均練跑出意外 傷勢曝光
藝人郭彥均2006年與雙胞胎弟弟郭彥甫組成團體「2m...
2022/10/21 11:46
奶奶稱「冷氣壞掉」跟他想像中不一樣
這幾年夏天越來越熱,很多人開始依賴冷氣。日前,就有網...
2022/07/26 07:09
老婆蒸的饅頭硬爆 夫砸釘子成功傻眼
中國廣西南一名人妻自己在家蒸饅頭,並告訴老公下班回家...
2021/06/12 13:14
女友懷疑載妹!男高招「改車」網笑瘋
你是不是也有相同困擾?印尼一名男子霍魯爾·阿南(Kh...
2021/03/31 18:24
被4鱷魚包圍!正妹勇闖池中拔釘子
專業馴鱷師「沙西米」經常到新竹動物園的昆蟲館餵食、訓...
2021/01/13 22:33
重大發現!釘死耶穌的「釘子」找到了
考古團隊最近在捷克的「米列夫斯科修道院」(Milev...
2020/12/24 17:59
尪不倫怕被報復 打5寸釘進正宮頭顱
外遇者通常理虧在先,不敢對元配做出過分舉動,沒想到日...
2020/09/15 15:09
工人頭昏滴血 上醫院驚見釘子插很深
高雄一名25歲年輕裝潢工人,日前工作時,突然感到頭昏...
2020/07/27 20:32
他踢爆夜市僥倖攤販 遇高手規則狂改
Youtuber【P歪日常】日前和家人去高雄瑞豐夜市...
2020/07/22 19:10
墓碑被釘子釘影響子孫?風水師曝後果
清明節連假,許多民眾會返鄉掃墓,但有些人會在意祖墳的...
2020/04/03 19:04
客修車問奇葩問題 車行:當我算命?
這年頭的車行老闆會修車還要會算命?一名車行老闆抱怨,...
2020/03/23 23:59
嘴太臭!皇帝命他含「釘子」竟風行…
古代中國的皇帝身居高位,有至高無上的權威,但古時帝王...
2020/03/07 15:57
墓碑被釘網求助 大師現身網友都嗨了
墓碑竟然被釘「釘子」?有網友因為朋友祖先墓碑被釘「釘...
2020/02/20 12:46
墓碑被釘子釘…網曝恐怖後果:快處理
有些民眾會在意祖墳的風水,因為風水好壞可能會影響到子...
2020/02/18 21:38
旅館釘子外露!2歲童撞到滿嘴鮮血
一名媽媽7日帶2個兒子到新竹一間旅館住宿,當她在幫大...
2019/09/09 18:34
他見輪胎插3鐵釘 機車行:惡意破壞
有機車騎士在網路上抱怨,說準備騎車出門,卻發現輪胎被...
2018/11/28 22:11
好市多輪胎保固超狂 網揭密:賺翻了
昨(25)日一名網友在臉書分享,才買了3個月的輪胎,...
2018/06/26 15:45
男嬰吞3根螺絲釘 竟是哥哥餵他吃的
家中孩子如果還小,千萬要好好注意!河南一名母親在家照...
2018/06/06 21:37
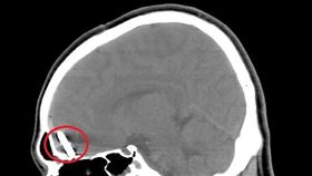
長釘插入腦袋中 男頭痛兩天才就醫…
腦袋上插進一根釘子,竟然完全沒感覺?一名網友在社群網...
2018/03/27 18:15
租屋驚見紅包裝釘 發毛求救反被恭喜
許多民俗專家都會呼籲民眾不要亂撿路上的紅包,那如果是...
2018/03/01 14:28
敲車、刺輪胎 美濃地區10多人受害
高雄美濃區最近出現專門破壞車子的有心人,有居民說他們...
2017/12/31 16:18
婦人吞金屬補充鐵質 連門栓都吞下肚
吃鐵補鐵?俄羅斯南部烏蘭烏德(Ulan-Ude)一名...
2017/12/27 20:55
怕超跑滴到鳥屎…竟在樹上裝尖刺防鳥
無論走到哪哩,都能看到小鳥在樹上休息、歌唱的身影,不...
2017/12/21 20:52
祖墳遭插三根血釘 開棺見阿嬤成蔭屍
昨(4)日高雄臨海地區被報導有一起「蔭屍事件」,引起...
2017/04/05 19:59
最新圖輯
更多
第62屆金馬獎得獎後台
第62屆金馬獎紅毯
劉書宏專訪
袁澧林、陳孝萱專訪
第36屆金曲獎星光大道
第36屆金曲獎得獎圖輯
NMIXX林口體育館粉絲演唱會
KISS OF LIFE台北演唱會
林芯儀專訪
GYUBIN大巨蛋開球
今日頭條
1
明知彈劾總統不會過仍提案?她揭藍白目的
2
前助理控白委「職場霸凌」:應辭立委
3
張惇涵被封「政院新戰神」 超狂回應盤點
4
美官員揭川普盤算:對台軍售3500億真相曝
5
39歲華航林依晨要生了 曬9個月巨大孕肚
6
憂中共2027攻台 美議員提10項建議示警
7
今明雨炸全台一圖看熱區!下波急凍時間曝
8
美飛機失事釀7死!知名退休車手與家人亡
9
網路連署彈劾總統數字驚人?1點慘遭酸爆
10
被買通?助鍾文智潛逃…副所長涉貪遭聲押
HOT焦點
更多
新北首創「獨居長者不動產防護網」防詐!
力挺台北愛樂40載!企業深耕藝文活動
一卡通iPASS MONEY APP推限時回饋
頻道推薦
直播✦活動
三立新聞網
為了提供更好的閱讀內容,我們使用相關網站技術來改善使用者體驗,也尊重用戶的隱私權,特別提出聲明。
了解最新隱私權聲明
知道了