APP下載
活動
爆料
圖輯
阿立導讀
追蹤新聞
3
台灣彩券開獎直播中
三立iNEWS新聞台線上直播
LIVE三立+24小時直播
即時
賴突破中國打壓
台北爆鼠患
新聞
熱門
政治
社會
娛樂
生活
新奇
健康
國際
兩岸
運動
財經
房產
旅遊
科技
汽車
遊戲
ESG永續
影音
總覽
政論
節目
熱搜
直播
iNEWS
專題
總覽
特企
專頁
大事件
彩券
專欄
民調
快訊
謝淑薇爆網協沒來問 金恩盃名單驚見她
08:05
一夜輸掉上億 三級片男星床戰女優操到吐
08:03
今到期充公!6張千萬發票 6張200萬沒人領
08:00
今全台有雨「梅雨鋒面」來了?專家曝真相
07:55
被飯店報警驅逐 千金網紅怒控遭員工設局
07:49
唐治平1身分無法申請補助 揭心酸困境
07:47
唐治平爆失控對人潑飲料 女友沮喪吐心聲
07:46
他曝老鼠恐怖繁衍能力:一年後變166萬隻
07:43
海鯤號傳今深潛!港口監視器突爆黑畫面
07:34
Lisa紅毯太狂 3D掃描自己手臂做成禮服
07:34
女神吃糖突牙齒斷掉!轉頭求籤結果太荒謬
07:34
阿聯石油區遭伊朗無人機攻擊 釀3人受傷
07:31
汪東城粉險害車禍 炎亞綸留言認證補一刀
07:24
男團偶像隱婚10年才曝光 粉絲:感覺被騙
07:23
唐治平再爆走!和女友起衝突被警請離住處
07:23
IG影片暴衝破百萬 徐薇上億豪宅意外曝光
07:21
遭控小琉球持分農地涉違建 李四川回應了
07:19
金鐘影帝留遺言!17小時手術「拆彈」搶命
07:18
李四川爆農地違建 對街巷內就是李家祖厝
07:12
台股泡沫化指標創高!外媒憂心如「玩火」
07:10
台灣彩券開獎直播中
20:31
益生菌吃心酸?醫師點破「盲買迷思」
12:00
寵妻魔人用這台 幫老婆被動運動紓壓
14:00
裝潢資訊不透明引爭議 AI試算工具成趨勢
13:00
輝葉AI追夢椅精準按摩 小三都甘敗下風
20:00
遶境挑戰行動力!天地合補提供靈活補給
19:00
友華生技「愛斯康」成信眾最強健康後盾
12:00
高壓焦慮引發掉髮 醫師:及早介入可改善
16:00
落枕救星「PP石墨烯智能調節記憶枕」
15:00
年度電競盛事熱血回歸!即日起開放報名
19:00
花蓮復康免費搭乘 身障就醫行動無礙
12:00
台灣大哥大出優惠方案 實現Apple生態圈
12:00
首頁
關鍵字
亞洲大學附屬醫院
亞洲大學附屬醫院
不忌口下場慘!痛風石比雞蛋大破裂還爆漿
62歲黃男長年患有痛風卻仍不禁口,日前左腳踝突然劇烈...
2026/03/18 09:00
全民瘋棒球喊到「燒聲」耳鼻喉科門診擠爆
世界棒球經典賽熱潮席捲全台,球迷們為了幫台灣隊加油打...
2026/03/10 13:39
因禍得福!她車禍意外揪直腸藏10CM腫瘤
台中一名44歲張姓女子,因發生車禍送醫,安排腹部電腦...
2026/03/04 14:09
婦出車禍反保命 意外揪出直腸長腫瘤
44歲張婦因車禍送醫安排腹部電腦斷層檢查,結果意外發...
2026/03/04 12:58
B流+黴漿菌全中!9月嬰「咳到不喝奶」
春節年假過後,不少民眾陸續出現感冒症狀,連醫護人員也...
2026/02/26 13:20
高二生瘋短影音瞳孔放大 2年近視飆800度
台中高二生「小妃」因眼睛常感到痠澀、有異物感,偶爾會...
2026/01/28 13:17
每天滑3小時短影音!高二妹近視狂飆800度
隨著社群媒體短影音風潮席捲全球,民眾用眼習慣急遽改變...
2026/01/28 01:36
牙齒變長以為老了?竟是磨牙惹禍
台中一名50歲的餐飲業老闆娘,近期因生意壓力大導致內...
2026/01/13 16:15
建築工臉部墜地面目全非 醫隱形重建換臉
46歲王姓建築工在高處施工時因腳下濕滑失足,從五公尺...
2025/11/18 11:17
考試壓力吃炸物狂冒痘 高三生爛瘡長滿臉
許姓高三生面臨學測考試壓力,每當深夜補習結束返家前,...
2025/11/12 08:30
醫師神隊友!亞大醫院首辦手術護理師培訓
亞洲大學附屬醫院首開全國各醫院風氣之先,開辦「手術護...
2025/11/05 16:09
2歲童燒不停手變麵龜 醫:1病釀猝死風險
兩歲男童「和和」連續多日反覆發燒,母親發現他的手腳「...
2025/10/28 11:14
鼻塞術後反倒「吸不到空氣」鼻腔太空重建
30多歲林經理飽受鼻塞困擾,開會時難以專注,甚至因呼...
2025/10/14 13:21
婦患纖維肌痛症連走路都難 靠高壓氧治癒
63歲陳阿姨服飾店工作忙碌,長年得站立走動,然而過去...
2025/09/24 15:13
頸腫大如鴕鳥蛋險壓斷氣 68歲翁化療保命
68歲廖姓老翁今年初右側頸部出現一顆小腫塊,初期沒有...
2025/08/12 11:44
懷疑媳婦偷錢下毒!竟是老翁「罹這病」了
台中市一名78歲李姓老翁個性樂天開朗,但近2、3年來...
2025/08/01 22:43
台醫療軟實力!越南醫界來台亞大醫院取經
越南醫院「VINH DUC General Hosp...
2025/07/20 09:01
以為不會痛就沒事!類風濕關節炎變骨侵蝕
35歲張姓廚師十多年前診斷出患有類風濕性關節炎,經藥...
2025/07/02 09:51
名醫性騷零懲處仍看診 亞大醫院回應了
一名美女人妻病患指控台中亞洲大學附屬醫院婦科主任陳泰...
2025/06/09 08:15
出手猥褻還問胸部漲不漲 亞大名醫伸狼爪
台中亞洲大學附屬醫院婦科主任陳泰昌,行醫超過30年,...
2025/06/09 07:06
襲胸摸腿窺探房事 名醫陳泰昌爆性騷人妻
台中亞洲大學附屬醫院婦科主任陳泰昌,最近捲入性騷風波...
2025/06/09 06:48
婦發燒、背痛到慘趴地 竟是細菌跑進骨頭
68歲王奶奶平常糖尿病控制良好,不料今年初突然出現嚴...
2025/06/03 11:53
「富貴包、烏龜頸」趨年輕化 全有1通病
近來門診發現不少患者雖然年紀頗輕,卻長期飽受肩頸痠痛...
2025/05/20 15:16
健檢揪出3cm肺腺癌 達文西切除肺葉續命
80歲李婦十年前健檢發現右肺小結節,當時研判僅感染建...
2025/05/13 15:42
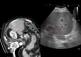
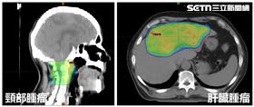
肝腫瘤如排球大!麻糬伯癌細胞壓頸害癱瘓
57歲麻糬伯曾罹患肝癌,經採用拴塞治療後效果頗佳,但...
2025/05/07 14:22
心臟沒力不敢開刀 體外反博治療狀況好轉
84歲黃阿嬤飽受胸痛胸悶所苦,走兩步就氣喘吁吁,近來...
2025/04/23 13:06
阿嬤像是鎖喉無法講話 射頻消融術助恢復
台中一名85歲李奶奶原本是家裡開心果,但近月來因喉嚨...
2025/04/01 11:00
光摸肚皮就痛到哀哀叫!老翁緊急切腸搶命
65歲廖姓患者過年前因連續多天腹痛,一度「摸到肚皮都...
2025/03/11 10:19
婦腦中風手狂抖 經顱磁刺激針線都能穿
台中一名50歲陳女士閒不下來加上熱愛手工藝,閒暇時總...
2025/01/07 10:05
95歲嬤罹癌剩39KG 達文西手術10天即康復
95歲「阿月嬤」2年前飽受血尿所苦,體重僅剩39公斤...
2024/12/27 14:23
最新圖輯
更多
茉ひるMahiru專訪
簡莉紋專訪
大霈專訪
劉冠廷專訪
林予晞、王真琳專訪
李雪、陳昱廷專訪
初孟軒、鍾岳軒專訪
龍千玉與翁立友領豪記唱片群星拜年
Rain鄭智薰小巨蛋演唱會
金在中演唱會
今日頭條
1
環保局傲慢一句怒了!他嗆:蔣萬安下台
2
法新社:賴清德已搭史國「國王專機」離境
3
中東大炸鍋!美軍遭襲火速轟爆7艘快艇
4
國民黨為軍購內鬨 黃暐瀚:怪不了別人
5
唐治平爆失控對人潑飲料 女友沮喪吐心聲
6
蘇巧慧PK李四川!網路投票這人大贏近20%
7
今全台炸雨僅15.8℃!第2波鋒面這天接力
8
今立夏!專家示警「4大禁忌」1舉動招小人
9
這命理師「4個月前就預言」:2026有鼠患
10
台股衝4萬點怎佈局?專家籲「緊抱3類股」
HOT焦點
更多
友華生技「愛斯康」成信眾最強健康後盾
年度電競盛事熱血回歸!即日起開放報名
台灣大哥大出優惠方案 實現Apple生態圈
頻道推薦
直播✦活動
三立新聞網
為了提供更好的閱讀內容,我們使用相關網站技術來改善使用者體驗,也尊重用戶的隱私權,特別提出聲明。
了解最新隱私權聲明
知道了