APP下載
活動
爆料
圖輯
AI爆報
追蹤新聞
4
立法院第二場公聽會登場
台灣彩券開獎直播中
三立iNEWS新聞台線上直播
LIVE三立+24小時直播
即時
台美關稅調降
九合一點將
新聞
熱門
政治
社會
娛樂
生活
新奇
健康
國際
兩岸
運動
財經
房產
旅遊
科技
汽車
遊戲
ESG
影音
總覽
政論
節目
熱搜
直播
iNEWS
專題
總覽
特企
專頁
大事件
彩券
專欄
民調
快訊
男星坐牢曝獄友解決生理需求:12人輪流…
09:25
光速打臉黃國昌? 美國務院力挺台增軍費
09:25
登頂101遭罵「膚淺藝人」賈永婕:沒水準
09:23
川普喊「處決示威者」暫緩 伊朗外長認了
09:19
把握好天氣!粉專:這時又1波冷空氣來襲
09:17
關稅若歸0 和泰暗示美製車有望登台
09:15
文化大學老師竟是名模!被封林志玲接班人
09:15
大寒後「右弼星」發威!4生肖事業大爆發
09:11
26歲女每天「喝2杯這飲料」 竟慘洗腎續命
09:10
開盤/台積電利多出盡?回測1685元支撐
09:09
周杰倫澳網遭淘汰 名嘴:他才是人生贏家
09:08
不婚男神爆「先有後婚」 親媽反應曝光
09:06
他見美方1舉動:美國真的對黃國昌很不爽
09:05
【三重醃頭顱命案3】頭顱發現地傳靈異
09:02
堰塞湖溢流奪19命!光復鄉長林清水遭聲押
09:02
【三重醃頭顱命案2】親哥砍妹頭顱冰冰箱
09:01
【三重醃頭顱命案1】親哥殺妹頭顱棄公廁
09:00
專家:黃國昌開記者會亂講話馬上又被降等
08:54
伊朗官媒播川普遭暗殺畫面 狠嗆1句話
08:53
他被預言奪2028總統 命理師:大象變獅子
08:50
台灣彩券開獎直播中
20:31
立法院第二場公聽會登場
08:30
不止於得獎 茶學世家「曾的茶」推雙新品
16:00
冬天也能有名模腿!石墨烯火山岩一穿即暖
12:00
15縣市皮蛇疫苗補助一次看!
11:00
跨越38區串連!千街萬巷挺岱樺最後衝刺
20:00
航空城新都心紅利多 購屋族最佳宜居環境
16:00
首頁
關鍵字
磁力球
磁力球
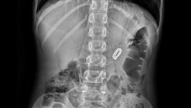
無聊躺床玩磁力球 男童空拋竟吞下肚
防疫期間孩子停課在家,家長忙碌之餘,應多加留意小孩玩...
2021/07/23 14:59
玩具不見了 4歲兒吞下27顆磁力球
小孩自己玩玩具時家長真的非常注意,尤其小朋友總有一段...
2020/11/18 10:33
尿道塞28顆磁力珠 睡醒尿不出嚇壞
相信許多民眾從小到大不斷被耳提面命,不可以將異物塞進...
2019/11/01 09:42
男童誤吞61顆磁球 腸道中串成項鍊
大陸黑龍江哈爾濱日前發生兒童誤食事件!一名6歲男童誤...
2019/08/17 18:00
男童嘴含巴克球誤吞 醫師:恐敗血症
「巴克球」是由一粒粒磁珠組成,具有強力磁性,可以變換...
2018/05/06 20:51
2歲童誤吞磁力球 腸道穿孔險喪命
大陸江西一名2歲男童近日常常無緣無故哭鬧,看完醫生仍...
2017/12/10 21:09
最新圖輯
更多
羅志祥30周年演唱會
凱琳專訪
黃鐙輝、吳念軒、黃騰浩專訪
第62屆金馬獎得獎後台
第62屆金馬獎紅毯
劉書宏專訪
袁澧林、陳孝萱專訪
第36屆金曲獎星光大道
第36屆金曲獎得獎圖輯
NMIXX林口體育館粉絲演唱會
今日頭條
1
川普喊「處決示威者」暫緩 伊朗外長認了
2
新/伊朗宣布關閉領空!上空飛機剩個位數
3
堰塞湖溢流奪19命!光復鄉長林清水遭聲押
4
他見美方1舉動:美國真的對黃國昌很不爽
5
開盤/台積電利多出盡?回測1685元支撐
6
美宣布對特定進口晶片課稅25% 2公司被點
7
藍2026現交棒危機?他點名1縣市麻煩了
8
台電老班長夾困身亡…家屬批1疑點
9
A-Lin爆婚變球星尪黃甘霖 知情人這樣說
10
11歲女童買包子完「叫一聲」離世!今解剖
HOT焦點
更多
桃園HO幸福親子派對 何志偉登場氣氛熱鬧
新北迎全障運!主視覺「心連新 一起拼」
搶攻草莓季商機!在地品牌跨界合作推新品
頻道推薦
直播✦活動
三立新聞網
為了提供更好的閱讀內容,我們使用相關網站技術來改善使用者體驗,也尊重用戶的隱私權,特別提出聲明。
了解最新隱私權聲明
知道了