APP下載
活動
爆料
圖輯
AI爆報
追蹤新聞
3
台灣彩券開獎直播中
三立iNEWS新聞台線上直播
LIVE三立+24小時直播
即時
九合一點將
台美關稅15%
新聞
熱門
政治
社會
娛樂
生活
新奇
健康
國際
兩岸
運動
財經
房產
旅遊
科技
汽車
遊戲
ESG
影音
總覽
政論
節目
熱搜
直播
iNEWS
專題
總覽
特企
專頁
大事件
彩券
專欄
民調
快訊
直擊/「馮迪索」坐鎮 兆元宴維安升級!
23:37
煮符令助安眠?濟公師父踩紅線衛生局要查
23:20
北市大安區大樓火警 1男1女傷重不治
23:19
輝達入股 OpenAI 驚傳停滯 黃仁勳回應了
23:11
中今彩539頭獎800萬?「這議員」發聲了
23:06
生活平衡補助 單身聯誼、育兒時薪300元
23:00
小鐘拒絕催婚一語擊退!父親也笑噴
22:49
南投名間擬蓋焚化爐 反對民眾激動下跪
22:38
辣媽在國家公園「玩溜滑梯」 整條命沒了
22:29
富邦謝年會 張育豪、潘奕誠抽中10萬現金
22:25
楊麗音獻聲派媽 2妙招逗笑小朋友超可愛
22:15
以控哈瑪斯違反停火協議 空襲加薩釀26死
22:10
川普才放話!伊朗港口突爆炸 傳1死14傷
22:08
今年最旺財星降臨!4星座迎來錢財暴擊
22:03
賴清德:產業赴美合作 打造台成日不落國
22:02
除夕返鄉停白線也挨罰!女不服敗訴原因曝
21:56
沒入選世界盃男籃 林信寬自認實力沒達標
21:53
模仿李小龍太入戲 雙節棍一揮換半年刑期
21:50
閃婚秒翻車!女星富尪刪照認了:有私生子
21:47
他中900萬獎金竟「10天內離婚」下場慘了
21:37
台灣彩券開獎直播中
20:31
「星城Online x戲說台灣」單元劇引爆話題
12:00
尿布不斷貨 酷澎火箭速配最快隔天到
13:00
「2026新北ACGE產業學院」專業培訓啟動
12:30
大掃除神隊友!一噴除垢 晶亮好省力
12:00
首頁
關鍵字
陳湘蓁
陳湘蓁
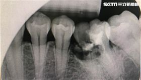
狂嗑零食恐牙崩!飯後馬上刷牙錯錯錯
年節將至,跟親友相聚時,免不了吃吃喝喝、嗑嗑零食,但...
2018/02/06 08:29
過年宅在家?牛軋糖、瓜子恐吃到牙裂
農曆春節將至!不少民眾會在過年年假期間大吃大喝,但還...
2018/02/04 09:23
最新圖輯
更多
羅志祥30周年演唱會
凱琳專訪
黃鐙輝、吳念軒、黃騰浩專訪
第62屆金馬獎得獎後台
第62屆金馬獎紅毯
劉書宏專訪
袁澧林、陳孝萱專訪
第36屆金曲獎星光大道
第36屆金曲獎得獎圖輯
NMIXX林口體育館粉絲演唱會
今日頭條
1
台中媽餵藥殺2子聲押 法院裁准
2
北市大安區大樓火警 1男1女傷重不治
3
黃仁勳兆元宴再登場 重量級大咖全到齊!
4
青年指點治裝 賴清德被拱穿花襯衫反應曝
5
中今彩539頭獎800萬?「這議員」發聲了
6
方順吉遭仙人跳報警!不自殺聲明曝光
7
「環明輪」查獲上億海洛因!手法曝光
8
海鯤號潛航測試成功 吳釗燮曬空拍視角
9
濕冷入夜!凍完一波再迎「更強冷氣團」
10
北車旅店驚傳「紅蟲爬滿床」!觀傳局出手
HOT焦點
更多
「2026新北ACGE產業學院」專業培訓啟動
被譽為企業界奧斯卡 愛妮雅集團獲玉山獎
台灣高鐵營運將滿20週年 引進新世代列車
頻道推薦
直播✦活動
三立新聞網
為了提供更好的閱讀內容,我們使用相關網站技術來改善使用者體驗,也尊重用戶的隱私權,特別提出聲明。
了解最新隱私權聲明
知道了