APP下載
活動
爆料
圖輯
阿立導讀
追蹤新聞
3
台灣彩券開獎直播中
三立iNEWS新聞台線上直播
LIVE三立+24小時直播
即時
賴突破中國打壓
台北爆鼠患
新聞
熱門
政治
社會
娛樂
生活
新奇
健康
國際
兩岸
運動
財經
房產
旅遊
科技
汽車
遊戲
ESG永續
影音
總覽
政論
節目
熱搜
直播
iNEWS
專題
總覽
特企
專頁
大事件
彩券
專欄
民調
快訊
台積電該上車還是下車?分析師揭2大關鍵
02:15
巴菲特砍亞馬遜持股 改重押它揭未來風向
02:00
沒科技巨頭?分析師揭市場修正必盯緊3檔
01:45
男握5億家產因1事全歸零 悲涼結局曝光
01:25
台股市值蒸發106億 這類股跌近3%墊底!
01:16
6檔抓去關名單曝光 它跌太兇列5分鐘撮合
01:02
台積電被超車?英特爾這技術良率衝90%
01:00
貂蟬進相國府一夜,董卓創下「千古紀錄」
01:00
鼠患多嚴重?媒體人驚見北市幹道「飆鼠」
01:00
歐盟禁資助中製太陽能逆變器 憂威脅電網
00:58
萊比錫市生汽車撞人案 德媒報導2死2重傷
00:55
斂財60億被判死!她死前喊我對錢不感興趣
00:50
選錯股恐賠更慘 市場資金悄悄轉向它!
00:45
戰鬥陀螺夯!店員遭疑藏貨:不當陀螺戰士
00:33
夏天別只擦防曬乳! 營養師推5抗UV食材
00:29
親藍粉專惡搞老鼠通報系統 網友看完氣炸
00:24
北市將擬訂鼠患具體措施 她:半年做了啥
00:16
「道教界釋永信」胡誠林爆隱婚擁多名情人
23:53
亞銀年會現場 莊翠雲國際發聲
23:43
以為拍偶像劇?痴漢捧花站崗下場曝光
23:38
台灣彩券開獎直播中
20:31
益生菌吃心酸?醫師點破「盲買迷思」
12:00
寵妻魔人用這台 幫老婆被動運動紓壓
14:00
裝潢資訊不透明引爭議 AI試算工具成趨勢
13:00
輝葉AI追夢椅精準按摩 小三都甘敗下風
20:00
遶境挑戰行動力!天地合補提供靈活補給
19:00
友華生技「愛斯康」成信眾最強健康後盾
12:00
高壓焦慮引發掉髮 醫師:及早介入可改善
16:00
落枕救星「PP石墨烯智能調節記憶枕」
15:00
年度電競盛事熱血回歸!即日起開放報名
19:00
花蓮復康免費搭乘 身障就醫行動無礙
12:00
台灣大哥大出優惠方案 實現Apple生態圈
12:00
首頁
關鍵字
陳晉興
陳晉興
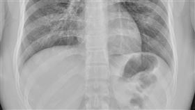
頭痛、骨痛竟肺癌第4期 名醫示警3大風險
「台灣肺癌第一刀」台大醫院外科部主任陳晉興分享第一線...
2026/03/27 12:11
台大醫院電腦斷層得排1年?衛福部出手了
近期台大醫院等醫學中心傳出健康檢查等壅塞,電腦斷層(...
2026/03/25 10:04
血管變氣管?台大醫揭「軟骨再生」之謎
在國科會長期計畫支持下,台大醫院外科部特聘教授陳晉興...
2026/02/04 18:27
50歲男「1症狀」誤認胃酸逆流!醫驚:肺癌
聲音沙啞是咳嗽過久的症狀,但小心恐是罹癌徵兆!醫師陳...
2025/11/13 17:00
顏正國肺腺癌逝!醫:女性別用這款化妝品
50歲藝人顏正國昨(7日)肺腺癌病逝。肺癌已連續43...
2025/10/08 09:50
顏正國肺腺癌逝!醫曝「1打掃習慣」很毒
男星顏正國昨(7日)肺腺癌病逝,享年50歲。肺癌權威...
2025/10/08 08:03
顏正國肺腺癌逝!台大醫:「4現象」已末期
「好小子」顏正國今(7日)肺腺癌病逝,享年50歲。他...
2025/10/07 20:08
台大權威醫揭「救兒故事」盼新血搶救摯愛
當你最愛的人倒下,外科的每一秒都在搶救「摯愛」。台大...
2025/09/23 12:18
以前罕見!球黴菌症病例激增 5症狀=中招
球黴菌症是美國西南部、墨西哥及中南美洲常見的肺部傳染...
2025/08/29 16:02
年輕工程師1症狀!醫查驚「肺部異常了」
肺癌是國人十大癌症中死亡率最高、新增人數最多的癌症。...
2025/08/21 09:44
33歲男星「肺腺癌末」!醫:4症狀已末期
33歲港星柯煒林曾入圍金馬獎最佳男配角,他30日坦言...
2025/07/31 11:57
陳建仁嘆行動團少10專家!陳晉興:願自費
世界衛生大會(WHA)將於5月19日起在瑞士日內瓦舉...
2025/05/10 12:15
賴總統出席新教宗就職?陳建仁曝對台影響
羅馬天主教新任教宗「良十四世」即將就任,外界仍好奇台...
2025/05/10 11:47
2025年最新「防肺癌7招」!女性易犯這項
肺癌是國人十大癌症中死亡率最高、新增人數最多的癌症,...
2025/05/01 09:00
台大首曝小細胞肺癌「自帶發電機」登國際
肺癌是台灣國病,各類型肺癌中,占比10%小細胞肺癌被...
2025/03/16 08:00
獨/譚敦慈只用「1物」洗臉洗澡!揭除臭法
不少人習慣使用香水、有香味的沐浴乳、保養品,有「無毒...
2025/02/02 09:00
獨/怕肺癌奪命 台大名醫揭「烹調秘訣」
肺癌一年就奪走上萬條寶貴生命,近期不少名人都傳出肺腺...
2025/01/31 06:53
獨/防肺癌奪命!譚敦慈上妝多「1動作」
近來多位名人不抽菸,例如林珍羽,仍罹患肺腺癌,甚至病...
2025/01/25 11:07
林珍羽不菸肺腺癌 「1習慣」害女性易罹癌
民眾黨北市議員林珍羽22日表示,不抽菸的她,罹患一期...
2025/01/23 16:24
林珍羽罹肺癌 醫揪「不抽菸也會得」原因
民眾黨北市議員林珍羽今(22)日在臉書透露,她確診肺...
2025/01/22 18:31
肺癌蟬聯癌王!名醫授1招「強化肺功能」
肺癌蟬聯癌王,是十大癌症發生人數的第一位。國內肺癌權...
2024/12/19 17:47
肺癌仍癌王!初期無症狀 「4現象」已末期
國健署今(19)日公布最新國人癌症登記報告,肺癌蟬聯...
2024/12/19 11:43
28歲男星肺癌轉移腦昏迷!醫嘆:時日不多
《青春有你3》大陸男星蔣智豪年僅28歲,飽受肺癌折磨...
2024/12/18 15:36
獨/譚敦慈只用「1物」洗臉洗澡!揭除臭法
不少人喜歡使用香水、有香味的沐浴乳、保養品,有「無毒...
2024/12/14 15:16
劉家昌肺癌逝!3類人最易得 一發現就末期
「流行音樂教父」劉家昌因肺癌病逝,引發外界對肺癌的關...
2024/12/04 14:31
劉家昌肺癌逝!防癌奪命最忌「1化妝品」
資深音樂人劉家昌因肺癌病逝,再度引發各界對肺癌的關注...
2024/12/04 12:37
超級電腦進台大醫院!完美重現病患病況
現已邁入智慧醫療時代。台大醫院今(4)日宣布正式啟用...
2024/12/04 11:24
劉家昌肺癌逝!台大醫揭「1打掃習慣」很毒
資深音樂人劉家昌因肺癌病逝,再度引發各界對肺癌的關注...
2024/12/04 11:02
防肺癌奪命 開窗還關窗?台大醫揭驚人答案
「華語流行音樂教父」劉家昌肺癌病逝,再度引發各界對肺...
2024/12/04 10:38
肺癌年奪萬人命!焚燒香氛致癌?台大醫解答
肺癌是國內死亡人數最多的癌症,每年奪去上萬人的性命,...
2024/12/03 10:20
最新圖輯
更多
茉ひるMahiru專訪
簡莉紋專訪
大霈專訪
劉冠廷專訪
林予晞、王真琳專訪
李雪、陳昱廷專訪
初孟軒、鍾岳軒專訪
龍千玉與翁立友領豪記唱片群星拜年
Rain鄭智薰小巨蛋演唱會
金在中演唱會
今日頭條
1
法新社:賴清德已搭史國「國王專機」離境
2
毒駕狂飆害2死!BMW男恢復意識ICU觀察中
3
徐若熙眼眶泛淚道歉 失7分吞敗下放二軍
4
挑戰蔣萬安?「他」宣布參選台北市長
5
鄭麗文定調「3800億+N」他:+N就是謊言
6
北市揭「老鼠」相對熱區 將整合用藥資訊
7
美軍挺進波灣!2艘商船通過荷莫茲海峽
8
兒返火場救92歲母雙亡 夜市攤暖幫辦後事
9
蛇蠍男殺妻詐保判無期!前最美檢座曝心聲
10
遭爆跳票被黑道押走?鄭正鈐現身回應了
HOT焦點
更多
115全障運5月登場 亮哲號召網路傳聖火
首座雙側捷運開發 三峽站打造共構生活圈
松山慈惠堂弘揚母愛音樂會 登臺北小巨蛋
頻道推薦
直播✦活動
三立新聞網
為了提供更好的閱讀內容,我們使用相關網站技術來改善使用者體驗,也尊重用戶的隱私權,特別提出聲明。
了解最新隱私權聲明
知道了