APP下載
活動
爆料
圖輯
AI爆報
追蹤新聞
5
【立院榮譽顧問EP.172】
付費制「和平委員會」啟動!
台灣彩券開獎直播中
三立iNEWS新聞台線上直播
LIVE三立+24小時直播
即時
赤手獨攀101
台美關稅15%
新聞
熱門
政治
社會
娛樂
生活
新奇
健康
國際
兩岸
運動
財經
房產
旅遊
科技
汽車
遊戲
ESG
影音
總覽
政論
節目
熱搜
直播
iNEWS
專題
總覽
特企
專頁
大事件
彩券
專欄
民調
快訊
新/川普推和平委員會 20國已簽署文件
18:51
瞄準高端宴會浪潮!漢來推預約制聚薈所
18:50
爆BMW男共處香閨4小時 小龍女柳柳發聲了
18:47
捨身救人遭冒名發文 勇消家屬悲慟發聲
18:47
柯震東跛腳認「不會好了」不開刀原因曝光
18:47
當年無情蒐、選手扛行李 周思齊發現進步
18:46
國內線機票要變貴了 華信董座揭2大痛點
18:45
貝克漢長子開撕維多利亞「驚呼一聲」曝光
18:43
確定上任海基會董事長 蘇嘉全揭首要目標
18:33
北市精舍命案!王薀3大護法獲交保
18:30
川普格陵蘭計畫急轉彎 歐盟急商議
18:28
抗壓王!4星座遇壓力變更強 對手最怕遇他
18:28
日最大核電廠出事 重啟不到6小時警報狂響
18:27
藍白選擇性審查預算 律師重轟:不務正業
18:25
川普達沃斯毀美國秩序 中歐同盟成形?
18:23
菲21歲女記者遭貼紅標 還被控助恐怖主義
18:22
詹能傑捨己為人殉職 消防署:10年共31人
18:21
中信補強陶樂、黎克 5位洋投迎接新賽季
18:20
童顏AV日本爆紅 激戰西方男優揭最大差異
18:18
喜迎平安馬!新北消中和環球百貨防火演練
18:17
台灣彩券開獎直播中
20:31
付費制「和平委員會」啟動!
17:21
近50年經典不敗!愛妮雅絲瓜露榮獲玉山獎
16:00
寒冬送暖!郭子乾伴獨居長者圍爐、大掃除
14:00
工作忙到炸!《請世界吃桌》靠它被療癒
18:30
「腕」救健康!別輕忽手腕痠痛
12:30
科技大學城高大特區 成台積電首選生活圈
11:00
JINS創辦人登BRUTUS特輯!首度跨界對談
18:30
松山奉天宮攜手故宮 辦三官數位藝術特展
21:00
首頁
關鍵字
傳染性軟疣
傳染性軟疣
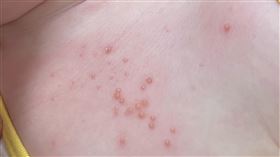
GG長痘痘別亂擠!醫揭元兇:兒童也會感染
男性若發現生殖器長出「痘痘」,千萬不要亂擠。泌尿醫師...
2025/12/03 12:01
肌肉男命根子長40顆紅疹 健身1習慣惹禍
一名男子下腹部、陰莖根部與陰囊兩側突然出現30、40...
2023/12/08 16:54
皮膚會長「怪角」 膚白50歲以上得當心
日前國內一名91歲阿嬤右手臂今年初長出1支長達7公分...
2022/12/08 11:20
孩身上長密集珍珠?醫:這病毒恐全身擴散
秋冬季節來臨,不僅新冠肺炎仍要當心,流感等諸多呼吸道...
2022/11/06 20:51
男進診間超神秘:醫師,想單獨聊一下
23歲的小張一進診間就愁眉不展,神秘兮兮地說:「醫師...
2018/07/01 09:00
最新圖輯
更多
羅志祥30周年演唱會
凱琳專訪
黃鐙輝、吳念軒、黃騰浩專訪
第62屆金馬獎得獎後台
第62屆金馬獎紅毯
劉書宏專訪
袁澧林、陳孝萱專訪
第36屆金曲獎星光大道
第36屆金曲獎得獎圖輯
NMIXX林口體育館粉絲演唱會
今日頭條
1
企業關注能源議題 總統:台灣會穩定供電
2
豐原五口命案開庭!蛇蠍女李惠雯現身
3
最冷時刻6度來了 下波變天降雨時間出爐
4
基隆火警詹能傑殉職!弟弟捧牌位現場招魂
5
怒!立院卡預算 民生經濟全陪葬
6
革命共產黨嗆推翻中華民國 梁文傑神回覆
7
台灣夫妻仍失蹤!阿蘇火山參觀區封閉
8
新安琪兒回收3萬罐「這品牌」奶粉也出包
9
新/川普推和平委員會 20國已簽署文件
10
徒手攀登101 霍諾德公開主因:沒安全網
HOT焦點
更多
JINS創辦人登BRUTUS特輯!首度跨界對談
松山奉天宮攜手故宮 辦三官數位藝術特展
WE ARE我們的除夕豪華陣容 陪觀眾迎新年
頻道推薦
直播✦活動
三立新聞網
為了提供更好的閱讀內容,我們使用相關網站技術來改善使用者體驗,也尊重用戶的隱私權,特別提出聲明。
了解最新隱私權聲明
知道了