APP下載
活動
爆料
圖輯
AI爆報
追蹤新聞
3
台灣彩券開獎直播中
三立iNEWS新聞台線上直播
LIVE三立+24小時直播
即時
美以突襲伊朗
對等關稅違憲
新聞
熱門
政治
社會
娛樂
生活
新奇
健康
國際
兩岸
運動
財經
房產
旅遊
科技
汽車
遊戲
ESG
影音
總覽
政論
節目
熱搜
直播
iNEWS
專題
總覽
特企
專頁
大事件
彩券
專欄
民調
快訊
布蘭妮深夜遭逮捕又獲釋 外媒曝背後原因
01:07
美容通路導入AI 麗豐-KY今年營運提升!
01:03
分析師點名10檔潛力股:連黃仁勳都靠它
01:00
潛入民宅性侵妙齡女 噁男撞翻她友人奔逃
00:58
日女團成員突宣布嫁人 她急喊:沒有懷孕
00:51
溥儀被趕出紫禁城時說了一句話!士兵鼓掌
00:50
以色列空襲伊朗 以軍稱已動搖德黑蘭神
00:49
名醫抽鬧醫療糾紛 又涉賣禁藥給抗癌鬥士
00:47
獨/打牛奶針害命 吳紹琥「下跪」畫面曝
00:43
藍版軍購條例 傳藍委怨:沒這匡列方式
00:40
伊朗稱襲以軍雷達站 控美鎖定平民區攻擊
00:37
消息人士:法、義、希臘協調中東軍事部署
00:36
啦啦隊女神東京熟睡床照流出 她也遭偷拍
00:34
新/宜蘭賓士無煞車撞7車 59歲女不治
00:09
伊朗私下探詢停戰?川普「兩手策略」曝光
00:04
倍利科擬三月下旬掛牌上市 營收續拚新高
23:52
宜蘭賓士沒煞車撞7車釀1死 斷魂現場曝光
23:38
為何黑道拜關公?古代四大行業祖師爺揭密
23:23
韓國瑜、盧秀燕會面 聚焦民生經濟議題
23:10
新/宜蘭賓士狂掃7車1命危 恐怖瞬間曝
23:09
台灣彩券開獎直播中
20:31
完全營養早晚打底!挺台灣隊攻克聖稜線
11:00
員工訓練再升級!愛妮雅:謙卑改革
11:00
「台八男神」龍語申「肌」情預告!
17:00
純喫茶X《傳說對決》限時虛寶登場!
10:00
賓果賓果鬧元宵 大樂透、今彩539續加碼
12:00
開工打造好運勢 小人退散能量水晶迎貴人
12:00
祥獅獻瑞迎開工!愛妮雅集團新年藍圖首曝
17:00
瘦身急救章 一秒塑身穿上小號緊身洋裝
11:00
初九天公生 松山奉天宮備平安麵共享
16:00
捷運七張站走路2分鐘 友座明明德機能到位
15:00
開學換機酷澎火箭速配隔日到貨
10:00
企業暖心故事 一份工作撐起整個家
13:00
Xtars人氣直播主大揭密 鏡頭下的甘苦
13:00
土城永福岩清水祖師廟擲筊大賽 頭獎百萬
12:00
初一金山財神廟湧人潮 聯名蛋捲禮盒喜氣
11:00
「星城Online x戲說台灣」單元劇引爆話題
12:00
首頁
關鍵字
巨直腸症
巨直腸症
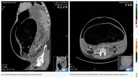
被糞便塞爆!男直腸脹到18公分險死
英國一名24歲男子罹患慢性便秘長達4年,也會定時到醫...
2018/08/22 12:18
最新圖輯
更多
初孟軒、鍾岳軒專訪
龍千玉與翁立友領豪記唱片群星拜年
Rain鄭智薰小巨蛋演唱會
金在中演唱會
羅志祥30周年演唱會
凱琳專訪
黃鐙輝、吳念軒、黃騰浩專訪
第62屆金馬獎得獎後台
第62屆金馬獎紅毯
劉書宏專訪
今日頭條
1
國民黨公布軍購特別條例 總統府回應了
2
有片/伊朗無人機炸亞塞拜然機場釀2傷
3
新/宜蘭賓士無煞車撞7車 59歲女不治
4
WBC首戰就傷退!陳傑憲沉重發聲了
5
太子集團9被告通通交保 北檢提準抗告
6
大谷翔平台日大戰前發文!留2符號藏深意
7
台北101點燈「台日友好、TAIWAN WIN」
8
大車「6秒吞車」畫面曝 高雄女騎士慘死
9
台首戰吞敗還有機會晉級!專家曝3劇本
10
獨/ 蔡瑞雪非唯一?那個凱文爆狂揪網紅
HOT焦點
更多
捷運七張站走路2分鐘 友座明明德機能到位
開學換機酷澎火箭速配隔日到貨
企業暖心故事 一份工作撐起整個家
頻道推薦
直播✦活動
三立新聞網
為了提供更好的閱讀內容,我們使用相關網站技術來改善使用者體驗,也尊重用戶的隱私權,特別提出聲明。
了解最新隱私權聲明
知道了