APP下載
活動
爆料
圖輯
AI爆報
追蹤新聞
4
張文父母出面向社會大眾道歉
台灣彩券開獎直播中
三立iNEWS新聞台線上直播
LIVE三立+24小時直播
即時
北捷隨機攻擊
財劃法不副署
新聞
熱門
政治
社會
娛樂
生活
新奇
健康
國際
兩岸
運動
財經
房產
旅遊
科技
汽車
遊戲
ESG
影音
總覽
政論
節目
熱搜
直播
iNEWS
專題
總覽
特企
專頁
大事件
彩券
專欄
民調
快訊
藍白提大法官憲判無效!綠委轟:根本法盲
14:17
張文奪命 老闆霸氣護員工「每人4000元」
14:17
蔣萬安拒提北捷兇手姓名:不希望他被記住
14:15
新/重電股 南亞攜華城搶攻美國市場
14:14
母金援82萬!張文「噴10萬買武器」明細曝
14:14
2女約男開房竟玩變態遊戲、劫財!下場慘
14:12
民進黨2026推超Q政績桌曆 領取方式曝光
14:12
新/流感疫苗升級!疾管署3新措施一次看
14:09
國道驚魂!「巨型風管掉」後車躲不過追撞
14:08
人氣Buffet出包!鮭魚檢出李斯特菌
14:08
12強《冠軍之路》藏洋蔥 首映頻傳啜泣聲
14:06
Telegram創辦人大方捐精 親生孩可分遺產
14:06
政院召開經發會顧問會議 聚焦這些議題
14:05
盧峻翔率隊開季4連勝 榮獲單週MVP
14:02
「他要殺我!」警20小時後才到 女早慘死
14:00
兒阻行兇遇害 余媽媽:不要苛責張文父母
13:59
趙雅芝71歲美成這樣 絕佳狀態曝光登熱搜
13:57
AIT見國民黨高層重申:支持台灣強化防衛
13:56
勞保紓困貸款8萬人申請 期限、4大條件曝
13:55
北捷攻擊4死!蔣:速查恐嚇貼文與謠言
13:54
台灣彩券開獎直播中
20:31
張文父母出面向社會大眾道歉
13:30
因應匯率波動!兆豐銀行設專區助企業避險
13:00
OL情傷想不開 憂鬱症治療新選擇即刻救援
12:00
華南銀行SnY數位帳戶出任務!
14:00
蔡淑臻出席『海芙時光機菁英高峰會』
12:00
國際大獅子?八點檔自己玩笑都敢開
12:00
外送專法「單單等值」限制「疊單」爭議多
09:00
深耕在地!PP石墨烯以實際行動應援台灣
16:00
謝宜容霸凌案促《職安法》增「霸凌專章」
14:00
「睡眠能量艙」為何越來越多人開始這樣睡
14:00
亞太首創!早期腎病年報看見台護腎領導力
13:00
秋冬穿出曲線小心機!「波波凍」無痛UP
12:00
桃合特區首案「佳陞豐禾」擁新站計畫利多
13:00
首頁
關鍵字
拐杖糖
拐杖糖
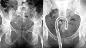
聖誕飾品成性玩具!她拐杖糖卡下體醫看傻
聖誕節即將來臨,各處充滿濃濃耶誕氣氛,然而英國一名女...
2022/12/22 20:47
異物侵入身體…醫曝最慘器官是它!
美國政府近日指出,不少民眾會在自己體內塞進各式各樣的...
2018/12/28 13:08
最新圖輯
更多
第62屆金馬獎得獎後台
第62屆金馬獎紅毯
劉書宏專訪
袁澧林、陳孝萱專訪
第36屆金曲獎星光大道
第36屆金曲獎得獎圖輯
NMIXX林口體育館粉絲演唱會
KISS OF LIFE台北演唱會
林芯儀專訪
GYUBIN大巨蛋開球
今日頭條
1
新/隨機殺人張文解剖 父母到場低調無語
2
母金援82萬!張文「噴10萬買武器」明細曝
3
北捷攻擊4死!蔣萬安雙城論壇只去1天
4
王ADEN跨年晚會遭取消 觀傳局23字證實了
5
官員示警赴這3國恐被送中!外交部發聲了
6
兒阻行兇遇害 余媽媽:不要苛責張文父母
7
張文母匯82萬金援!與父兄感情疏離原因曝
8
福原愛極撇不倫!日網狠批:只顧自己幸福
9
新/台64線嚴重車禍 2貨車追撞駕駛命危
10
林襄爆鬧翻經紀人 公司843字回應了
HOT焦點
更多
秋冬穿出曲線小心機!「波波凍」無痛UP
因應匯率波動!兆豐銀行設專區助企業避險
新手爸媽神隊友!育兒指導員減輕父母負擔
頻道推薦
直播✦活動
三立新聞網
為了提供更好的閱讀內容,我們使用相關網站技術來改善使用者體驗,也尊重用戶的隱私權,特別提出聲明。
了解最新隱私權聲明
知道了