APP下載
活動
爆料
圖輯
AI爆報
追蹤新聞
5
卓榮泰走春、參拜祈福
賴清德新北參香、發放福袋
台灣彩券開獎直播中
三立iNEWS新聞台線上直播
LIVE三立+24小時直播
即時
高金遭搜索
台美關稅定案
新聞
熱門
政治
社會
娛樂
生活
新奇
健康
國際
兩岸
運動
財經
房產
旅遊
科技
汽車
遊戲
ESG
影音
總覽
政論
節目
熱搜
直播
iNEWS
專題
總覽
特企
專頁
大事件
彩券
專欄
民調
快訊
別再談碳纖維了 已經有人用純金排氣管
11:00
鄭麗文紅繩抖動熱議 醫:馬英九當年斷裂
11:00
賴清德狂送台灣零食 日本大胃王驚呼一句
11:00
蔣萬安揪K歌 李四川讚這1首唱最好
11:00
台中除夕夜4.0地震 氣象署:相當罕見
10:57
安芝儇爆熱戀換乘4成百賢 經紀人發聲了
10:56
國道地雷區」快避開 1路段時速剩4公里
10:55
過年最尷尬!晚輩因1態度他氣炸拒發紅包
10:55
財神偏愛這家彩券行!連2年開出億元頭獎
10:54
《柯南》小蘭聲優突病休 「柯南」道不捨
10:47
熱戀安芝儇 成百賢被封換乘4最討厭成員
10:42
新/北投洲美快速道路火燒車 駕駛驚逃
10:41
卓榮泰參香祈福 盼百工百業「再衝一波」
10:41
韓國瑜江啟臣為何挑除夕發聲明?她曝關鍵
10:38
湧蓮寺「國運籤」下下籤!侯友宜這樣看
10:33
美伊核談川普將間接坐鎮 再搬轟炸機警告
10:32
桃園無業男遺棄6月兒 警除夕夜逮到狠父
10:28
安芝儇爆熱戀換乘成百賢 泳裝辣照洩線索
10:26
7旬翁離奇失蹤!靠Google Earth破9年懸案
10:24
騎士黏「假車牌」犯1罪…下場比開罰嚴重
10:23
台灣彩券開獎直播中
20:31
台彩春節加碼12億元創新高
12:00
大樂透加碼480組100萬元
12:00
大樂透加碼800組10萬元
12:00
賴清德新北參香、發放福袋
08:16
卓榮泰走春、參拜祈福
08:30
除夕WE ARE熱鬧無比 台語饒舌跨世代共演
11:00
拜拜,其實很有台灣式幽默!
09:00
WE ARE我們的除夕夜 跨世代卡司陪觀眾
11:00
星城Online攜手《戲說台灣》拍創意單元劇
12:00
MY管管尾牙熱鬧登場 主打福利吸新戰力!
17:45
土城永福岩祖師廟擲筊賽 首獎祭百萬現金
14:50
春節最佳去處!桃園龍德宮成網美打卡點
13:00
以高回饋機制協助家庭資金更有效率運用
16:00
暗黑風格吸血鬼遊戲新作3/11上市!
12:00
幸福企業!愛妮雅集團成員工最強後盾
12:00
永旭保經留才 調整制度拚長期發展
11:30
首頁
關鍵字
胸腔重症醫師
胸腔重症醫師
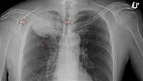
頭暈就醫竟肺癌末期 只剩3個月可活
50多歲的男性患者、偶爾咳嗽一個多月,最近感到頭暈雙...
2020/05/27 13:57
醫:三次急診驗出武漢肺炎+百萬帳單
武漢肺炎(COVID-19、新冠肺炎)疫情持續延燒,...
2020/03/24 13:14
醫:五人種恐是新冠病毒高風險感染者
武漢肺炎(COVID-19、新冠肺炎)疫情未歇,目前...
2020/02/18 10:52
全貌推估 醫一圖曝武漢肺炎死亡率
武漢肺炎(COVID-19,2019新型冠狀病毒)疫...
2020/02/17 10:41
最新圖輯
更多
初孟軒、鍾岳軒專訪
龍千玉與翁立友領豪記唱片群星拜年
Rain鄭智薰小巨蛋演唱會
金在中演唱會
羅志祥30周年演唱會
凱琳專訪
黃鐙輝、吳念軒、黃騰浩專訪
第62屆金馬獎得獎後台
第62屆金馬獎紅毯
劉書宏專訪
今日頭條
1
法鼓山除夕撞鐘 鄭麗文握紅繩抖動網熱議
2
持續對台軍售?川普再發聲:很快會做決定
3
桃園無業男遺棄6月兒 警除夕夜逮到狠父
4
安芝儇爆熱戀換乘4成百賢 經紀人發聲了
5
小姑連2年包2100元 背後竟藏超暖心祝福
6
央視春晚驚見中國台灣新北 台灣國旗遭刪
7
新/媽祖駐駕保庇!苗栗彩券行連開大獎
8
ICU護理師揭「死亡預知」 臨終前都說1句
9
高市大勝!日民調:自民黨支持率衝上41%
10
辛柏毅失聯逾40天 愛妻淚喊1句惹哭萬人
HOT焦點
更多
春節最佳去處!桃園龍德宮成網美打卡點
以高回饋機制協助家庭資金更有效率運用
幸福企業!愛妮雅集團成員工最強後盾
頻道推薦
直播✦活動
三立新聞網
為了提供更好的閱讀內容,我們使用相關網站技術來改善使用者體驗,也尊重用戶的隱私權,特別提出聲明。
了解最新隱私權聲明
知道了