APP下載
活動
爆料
圖輯
AI爆報
追蹤新聞
5
【J4葛瑞絲滑上車】
迎接2026!雪梨先行煙火
台灣彩券開獎直播中
三立iNEWS新聞台線上直播
LIVE三立+24小時直播
即時
共軍圍台軍演
曹西平猝逝
新聞
熱門
政治
社會
娛樂
生活
新奇
健康
國際
兩岸
運動
財經
房產
旅遊
科技
汽車
遊戲
ESG
影音
總覽
政論
節目
熱搜
直播
iNEWS
專題
總覽
特企
專頁
大事件
彩券
專欄
民調
快訊
新/中共「正義使命2025」軍演結束
18:22
謝宜容涉貪判4年6月!上訴出庭啜泣求緩刑
18:20
木棉花2026新番來了 葬送的芙莉蓮打頭陣
18:18
陳佩琪突爆「已負債千萬」:退休金都賠掉
18:17
雨刷3千萬交保妻落跑通緝!檢不服將提抗告
18:15
新/酷澎電商過勞爭議 勞動部回應了!
18:08
反制停砍公教年金法案 政院今聲請釋憲
18:04
郭書瑤跨年震撼彈 牽手「共度2026的人」
18:03
快儲水!南投1/8停水23小時 範圍一次看
18:01
iPASS MONEY出招 抽台積電股票等值儲值金
18:01
2026戰謝國樑 童子瑋:重新看見基隆希望
17:59
送別曹西平!黃安談生死真相
17:52
男星當爽兵「GPS成鐵證」檢方怒:一定罰
17:48
新/H200被掃光 輝達急找台積電擴產
17:46
中俄互致新年賀電 習近平願普丁密切交往
17:44
曹西平是大家的陪伴!她曝16年前超帥私照
17:43
十元公開未曝光婚紗照!懷孕被王齊麟壁咚
17:40
揭密台灣「陸上神盾」于北辰:中國怕死了
17:39
蔡依林演唱會陷光明會疑雲 音樂總監反擊
17:39
吊車大王曬西門町豪宅!揭房價:投資對了
17:36
台灣彩券開獎直播中
20:31
迎接2026!雪梨先行煙火
17:30
【J4葛瑞絲滑上車】
17:46
求職者高度關注企業指標 酷澎脫穎而出
18:00
林岱樺返鳳山起家厝憶亡父!守護高雄未來
15:30
林岱樺三山造勢 「市民最大咖」時代來臨
11:00
立院將協商外送專法 聚焦最低報酬、疊單
20:00
淡水運動中心 全臺首座高爾夫戶外推桿場
17:30
林岱樺憶亡父林三郎 誓守護贏回高雄尊嚴
15:30
業界首創!醒吾三立影視學院進攝影棚拍攝
12:00
大巨蛋帶動樹林房價助攻房市升溫
12:00
嘉義市博會閉幕 +1+1+1派對逾17萬人
19:00
讀者投書/「林岱樺模式」撼動高雄?
18:00
白沙屯媽祖香火迎回新北!
13:35
支持者自發前往 車廂人潮成另類造勢畫面
10:30
綠營初選激烈 林岱樺鳳山造勢大會登場
22:00
首頁
關鍵字
胸腔重症
胸腔重症
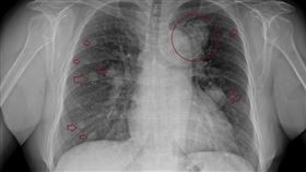
不抽菸有煮菜 女咳嗽1年竟肺癌末期
胸腔重症醫師蘇一峰今(4)天表示,一名60歲婦女,久...
2020/11/04 12:39
瘦肉精議題再起 醫:吃台灣豬就對了
總統蔡英文在28日下午宣布,未來將依科學國際標準,決...
2020/08/31 06:06
嘆這事 重症醫師戳台灣醫療嚴重問題
蘇一峰醫師點出一個嚴重問題,「當我們在自豪台灣有全世...
2020/04/13 09:48
風險爆高!重症醫吐前線醫護軟弱心聲
中國爆發的武漢肺炎(COVID-19、新冠肺炎)疫情...
2020/03/31 13:10
最新圖輯
更多
羅志祥30周年演唱會
凱琳專訪
黃鐙輝、吳念軒、黃騰浩專訪
第62屆金馬獎得獎後台
第62屆金馬獎紅毯
劉書宏專訪
袁澧林、陳孝萱專訪
第36屆金曲獎星光大道
第36屆金曲獎得獎圖輯
NMIXX林口體育館粉絲演唱會
今日頭條
1
新/中共「正義使命2025」軍演結束
2
拚戰2026!民進黨再提名三縣市戰將
3
鄭麗文籲接受九二共識 徐國勇反嗆:做夢
4
盼朝野和解!鄭麗文明參加總統府元旦升旗
5
台北101跨年煙火「5段落搶先看」!
6
2026元旦上路!「3大請假新制」一次看
7
全球「最賺錢公司」排行榜!台積電名次曝
8
載同學吃午餐!女大生車禍殞命…校方不捨
9
求脫單別吃錯!跨年吃12顆葡萄正確方法曝
10
吊車大王曝最佳跨年地點 開箱西門町豪宅
HOT焦點
更多
OL情傷想不開 憂鬱症治療新選擇即刻救援
求職者高度關注企業指標 酷澎脫穎而出
林岱樺返鳳山起家厝憶亡父!守護高雄未來
頻道推薦
直播✦活動
三立新聞網
為了提供更好的閱讀內容,我們使用相關網站技術來改善使用者體驗,也尊重用戶的隱私權,特別提出聲明。
了解最新隱私權聲明
知道了