APP下載
活動
爆料
圖輯
AI爆報
追蹤新聞
4
白沙屯媽祖彰化市出發
台灣彩券開獎直播中
三立iNEWS新聞台線上直播
LIVE三立+24小時直播
即時
白沙屯進香
美伊停火
新聞
熱門
政治
社會
娛樂
生活
新奇
健康
國際
兩岸
運動
財經
房產
旅遊
科技
汽車
遊戲
ESG
影音
總覽
政論
節目
熱搜
直播
iNEWS
專題
總覽
特企
專頁
大事件
彩券
專欄
民調
快訊
4/19帝爺公生 4招化解小人「1舉恐反噬」
06:13
李貞秀雙重國籍咬昌知情 他曝2點一刀斃命
06:12
一早領錢囉!「一次給5個月」近10萬入帳
06:09
15檔處置股出爐 它被重罰25分鐘撮合!
05:57
轟李貞秀不識抬舉 他追源頭:這人太會算
05:55
馬國弼兼差按摩還債 顧客竟是超大咖男星
05:50
木可的錢給兒買股?柯妻辯詞遭秒抓包
05:41
戰時囤油!美財長怒批:中國不可靠夥伴
05:36
國民黨內鬥升溫?「這人」突宣布退出初選
05:33
美伊新一輪談判現曙光!川普稱兩天內舉行
05:26
美伊和談現曙光!美股全收紅 那指漲455點
05:15
李貞秀靠山曝光!再嗆白營:沒錢還幹壞事
05:10
通膨飆新高!消費者信心跌破二戰後谷底
05:05
日11歲男童遺體尋獲 繼父特殊職業引熱議
05:00
台灣經濟太好影響香港家庭?謝金河讚一事
04:55
買車前必看!這5款油電車將迎來大降價
04:43
南韓宣布援助伊朗1千6百萬!特使赴當地
04:19
外資週回補近2000億 這3檔卻賣逾10萬張
04:18
英特漲9天狂漲58% 分析師3原因提醒1事
04:01
盤前/CPO續旺 台股三強分析
04:00
台灣彩券開獎直播中
20:31
白沙屯媽祖彰化市出發
04:30
玉山銀行推黃金種子計畫 為偏鄉建圖書館
18:00
糖友陷糖胖惡性循環 減重黃金三角是關鍵
18:00
桃園龍德宮南巡祈安遶境 聖母圓滿回駕
15:00
企業正妹二代接班!改制服、AI重塑品牌
00:00
OPPO Find N6酷澎火熱預購中
10:00
打造三位一體模式 全球真愛努力擴展版圖
15:00
首頁
關鍵字
巫翰明
巫翰明
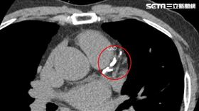
55歲男菸酒不拒 健檢心臟這裡塞住
陳老闆最近常胸悶、頭暈、呼吸急促,趁著疫情趨緩安排健...
2020/08/19 06:36
最新圖輯
更多
劉冠廷專訪
林予晞、王真琳專訪
李雪、陳昱廷專訪
初孟軒、鍾岳軒專訪
龍千玉與翁立友領豪記唱片群星拜年
Rain鄭智薰小巨蛋演唱會
金在中演唱會
羅志祥30周年演唱會
凱琳專訪
黃鐙輝、吳念軒、黃騰浩專訪
今日頭條
1
美伊新一輪談判現曙光!川普稱兩天內舉行
2
轟李貞秀不識抬舉 他追源頭:這人太會算
3
兩波鋒面接力!明起北台灣降溫再下雨
4
國民黨內鬥升溫?「這人」突宣布退出初選
5
粿粿王子要求判決不公開 遭范姜狠拒
6
日11歲男童遺體尋獲 繼父特殊職業引熱議
7
台灣經濟太好影響香港家庭?謝金河讚一事
8
李貞秀靠山曝光!再嗆白營:沒錢還幹壞事
9
優良DNA!郭台銘16歲愛女奪獎 曾馨瑩發聲
10
南韓宣布援助伊朗1千6百萬!特使赴當地
HOT焦點
更多
OPPO Find N6酷澎火熱預購中
計程車隊打造粉紅應援 成香燈腳最強後盾
三峽首捷運開發大樓開工 帶動三鶯線機能
頻道推薦
直播✦活動
三立新聞網
為了提供更好的閱讀內容,我們使用相關網站技術來改善使用者體驗,也尊重用戶的隱私權,特別提出聲明。
了解最新隱私權聲明
知道了