APP下載
活動
爆料
圖輯
AI爆報
追蹤新聞
3
台灣彩券開獎直播中
三立iNEWS新聞台線上直播
LIVE三立+24小時直播
即時
世紀血案爭議
富豪淫魔案
新聞
熱門
政治
社會
娛樂
生活
新奇
健康
國際
兩岸
運動
財經
房產
旅遊
科技
汽車
遊戲
ESG
影音
總覽
政論
節目
熱搜
直播
iNEWS
專題
總覽
特企
專頁
大事件
彩券
專欄
民調
快訊
熱/輝達矽光子投新竹 台廠10強受惠
01:06
桃園以北「追雪有望」 急凍3天探6度以下
23:05
逢低布局CoWoS、CCL 報告一次看
23:00
黎智英案9日宣判 分析:北京不會讓步
22:58
春聯何時才能撕?專家曝「這3時間點」
22:55
獨/洋基隊史首勝 韓籍3本柱:值得紀念
22:53
6.4億運動中心淪家具賣場!議員痛批離譜
22:53
扛「均高223公分」雙塔 吳永仁喊壓力大
22:50
台網美吃遍紐約「霸王餐」二度拒出庭續關
22:50
男星拍吻戲疑起生理反應 尷尬畫面被瘋傳
22:43
新/AI算出威力彩獎號?實測結局全網驚呆
22:38
韓職球星強求朴恩斌「演禹英禑」挨轟
22:36
張傑瑋成洋基首勝英雄 李逸驊:霸氣十足
22:07
還原「林宅血案」慘況 他46年前就被造謠
22:07
嘉義男酒駕+毒駕釀人命!撞死老翁遭聲押
22:04
宣萱離開TVB原因曝!拒絕「取悅」高層
22:02
《世紀血案》製作人首曝心聲:先拍再說
21:56
彰縣成功校史八強首勝 南湖苦吞本季首敗
21:39
李千娜演《世紀血案》發言失當文總發聲了
21:35
魏如萱開唱!超大咖天后驚喜送上祝福
21:32
台灣彩券開獎直播中
20:31
不靠濾鏡靠真心!人氣直播主上線擄獲人心
12:00
北市「來台北有購嗨」消費200元抽千萬
12:00
首頁
關鍵字
瓣膜置換
瓣膜置換
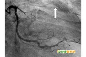
冠狀動脈阻塞 繞道手術解決心臟問題
74歲的賴先生,過去受到心臟病困擾,並於多年前因冠狀...
2014/08/28 16:25
最新圖輯
更多
羅志祥30周年演唱會
凱琳專訪
黃鐙輝、吳念軒、黃騰浩專訪
第62屆金馬獎得獎後台
第62屆金馬獎紅毯
劉書宏專訪
袁澧林、陳孝萱專訪
第36屆金曲獎星光大道
第36屆金曲獎得獎圖輯
NMIXX林口體育館粉絲演唱會
今日頭條
1
桃園以北「追雪有望」 急凍3天探6度以下
2
黃國昌掃街被問政策牛肉 攤商:只是唬弄
3
嘉義男酒駕+毒駕釀人命!撞死老翁遭聲押
4
黎智英案9日宣判 分析:北京不會讓步
5
2026換新鈔免排隊!超詳細攻略一次看
6
黃國昌子弟兵翻車 輸了諷對手家樂福上班
7
女星認《世紀血案》邀試鏡 看就知不能拍
8
春聯何時才能撕?專家曝「這3時間點」
9
新/AI算出威力彩獎號?實測結局全網驚呆
10
馬年除夕沒有「年三十」專家:4生肖要穿紅
HOT焦點
更多
北市「來台北有購嗨」消費200元抽千萬
年終入袋拼翻倍 台彩春節加碼總獎金12億
桃園年貨大街登場 年節所需一站購足
頻道推薦
直播✦活動
三立新聞網
為了提供更好的閱讀內容,我們使用相關網站技術來改善使用者體驗,也尊重用戶的隱私權,特別提出聲明。
了解最新隱私權聲明
知道了