APP下載
活動
爆料
圖輯
AI爆報
追蹤新聞
3
台灣彩券開獎直播中
三立iNEWS新聞台線上直播
LIVE三立+24小時直播
即時
非洲豬瘟侵台
輝達進駐台北
新聞
熱門
政治
社會
娛樂
生活
新奇
健康
國際
兩岸
運動
財經
房產
旅遊
科技
汽車
遊戲
ESG
影音
總覽
政論
節目
熱搜
直播
iNEWS
專題
總覽
特企
專頁
大事件
彩券
專欄
民調
快訊
美財長:2年內可保稀土替代來源北京失算
05:10
外資狂倒284億 這檔大牛竟被買到漲停!
04:39
熱/金流追蹤10日漲多 15檔分析必看
04:00
Win10退場帶旺PC換機 法人點這2檔組合
03:50
9月外銷訂單創史高 這檔擁供應鏈續點火
03:03
輝達銷售5000億鎂 台股獨家豪賺的他!
03:00
算力啟動多頭主升段來了 它3年報酬1.5倍
02:08
台中豬瘟場3度採陽 將採樣飼主家環境
01:21
輝達台灣總部落腳處 黃仁勳回應了
01:17
熱/結束光輝10月 資金轉向16檔題材曝
01:11
新/美股漲跌互見 Amazon、Twilio成亮點
01:07
AI還沒瘋才剛暖身 這檔將大啖投資商機!
00:58
個股/台達電法說會後 新目標價出爐
00:07
手殘按錯零股變1張 台積電一鍵爽賺65萬
23:58
萌娃萬聖節變裝王世堅!西裝、飄逸秀髮
23:57
救災便當吃掉「上億」?花蓮議會火藥味濃
23:50
獨/4位韓籍女神萬聖節變裝 她無人認出
23:50
粿粿范姜鬧婚變 超正前女友說話了
23:45
11月3星座迎財神 第一名加薪、中獎樣樣來
23:05
2700萬勞斯萊斯撞賓士 驚人維修費曝光
23:04
台灣彩券開獎直播中
20:31
維生素B群功效與補充全解析!
14:00
日本熱銷4億包!糖脂對策 隨餐1包纖維粉
12:00
酷澎雙11狂購祭 美國保健品限時五折
11:00
八里國際化成形!港灣特區陸海空黃金三角
11:00
13聖杯!桃園護國宮爐主淚:太子爺早暗示
19:40
首頁
關鍵字
牙科
牙科
刷牙前牙刷該不該先「沾水」?正確方式曝
刷牙前牙刷要不要先沾水?這個看似微不足道的習慣,其實...
2025/09/01 05:22
男嘴破檢查竟罹癌 醫:逾2週沒好快就醫
嘴破原因主要有五大類,分別為:物理性損傷,像是咬到、...
2025/02/07 18:28
獨/獲資助學習 尼泊爾醫謝台:能救人了
內陸山國尼泊爾,雖然有「山中天堂」的美名,但卻是世界...
2024/12/30 17:35
「起床先喝水」當心了!醫:細菌恐吞下肚
許多民眾起床後第一件事就是喝水,不過,有牙醫就示警,...
2024/12/23 05:08
獨/牙科念到大三嫁給他 結婚60年仍超甜
台中市西區有一間開業45年的林牙醫診所,裡頭目前看診...
2024/12/08 19:41
IIA國際創新獎 雅德思創牙科產業新典範
在2024年「國際創新獎」(Internationa...
2024/12/06 20:20
獨/最不賺錢牙醫 85歲仍看診:要有醫德
台中有一名高齡牙醫堪稱「最不賺錢的牙醫」,他是林弘光...
2024/12/05 18:52
55鄉鎮沒有牙醫!原鄉民代籲偏鄉服務
台灣偏鄉地區醫療資源不足問題嚴重,牙科首當其衝,一些...
2024/11/19 20:21
牙醫診所滿街都是卻超難約 護理師說原因
身體不舒服隨時去看醫生很正常,但有不少民眾好奇,為何...
2024/09/08 13:08
「醫美賺更多!」台灣未來恐無人開刀救命
牙醫系成為熱門科系,但現任牙醫師卻認為已是「紅海市場...
2024/08/04 09:52
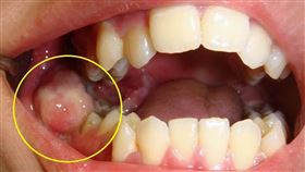
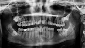
水平智齒不處理恐釀禍! 「3狀況」須就醫
原本一口排列整齊的「微笑曲線」,卻因為智齒的出現都亂...
2024/07/30 14:30
知名牙醫集團創新領域 獲第18屆金炬獎
國內知名的雅德思牙醫集團,在上百家企業中脫穎而出,獲...
2024/07/02 08:35
基隆推千萬牙科計畫 爆預算未審過就宣傳
基隆市政府6月1日宣布將投入1600萬預算,提供特殊...
2024/06/27 13:15
1600萬預算沒送議會?她:基市府開芭樂票
基隆市衛生局長張賢政宣布推出「基隆市特殊需求者牙科醫...
2024/06/25 20:42
刷牙不夠!牙齒2地方「用牙線才清得到」
許多民眾相當注重口腔清潔,不論睡前還是飯後都會刷牙保...
2024/06/03 08:02
工程師拔智齒暈倒腦出血 開顱2週後死了
中國媒體報導,一名23歲汽車工程師去年7月拔完智齒後...
2024/01/29 15:48
為何牙醫總愛約「下次」?內行曝驚人真相
許多民眾為了保持牙齒健康,都會定期看牙醫洗牙,而要是...
2023/07/07 07:55
寶雅賣1物她驚呆:牙科才有 超強功能曝
深受許多民眾喜愛的寶雅,有時候一進去就會被眼花撩亂的...
2022/12/10 11:53
牙周病分5階段 植牙前先做1件事
牙齒遭受外力而斷裂、蛀牙過深、牙周病感染等情形,都可...
2022/10/28 09:56
洗牙讓牙縫變大?醫破解4大迷思
許多人相當注重牙齒的健康,不少人都會固定到牙科回診,...
2022/08/16 06:15
漱口水天天用!1成份恐造成牙齒染色
許多人相當注重牙齒的健康,除了刷牙之外不少人也會搭配...
2022/08/12 08:24
牙周病警訊你有嗎?醫警告忽視後果
根據衛福部資料顯示,台灣成人牙周健康狀況仍有待加強,...
2022/07/20 16:13
2顆假牙脫落 竟釀老翁「意識改變」
隨著年紀增長,人們齒牙動搖並不是甚麼罕見之事,許多人...
2022/03/21 16:44
CC透明牙套隱形又美觀!找回自信笑
牙齒是門面,擁有一口漂亮的牙齒讓人充滿自信,對於需要...
2022/03/15 12:00
牙痛不恐怖?細菌從牙齦吃進他的脖子
千萬別輕忽口腔衛生,南投一名中年男子近日牙痛發作,止...
2022/03/07 17:09
18歲得口腔癌第四期 元凶竟是智齒
長智齒是絕大多數人的經驗,通常牙醫師會建議拔除,以免...
2022/02/17 09:38
三總牙醫涉詐保 8人十萬至百萬交保
三軍總醫院家庭牙科醫師李宗益,涉嫌與診所勾結詐領健保...
2022/01/21 07:17
三總牙醫涉詐保案 檢調第4波搜索
檢調偵辦三軍總醫院牙科醫師在外兼職,詐領健保費案,2...
2022/01/20 17:39
平平都是活動假牙 傳統與BPS差別
林楚喬醫師指出,目前全口或整排缺牙的患者還是以年長者...
2022/01/12 16:25
護理師踩空跌下樓 用生命全力護手機
中國有一位牙科護理師,在診所中小跑步上樓,一手拿著手...
2021/10/27 08:11
最新圖輯
更多
劉書宏專訪
袁澧林、陳孝萱專訪
第36屆金曲獎星光大道
第36屆金曲獎得獎圖輯
NMIXX林口體育館粉絲演唱會
KISS OF LIFE台北演唱會
林芯儀專訪
GYUBIN大巨蛋開球
陳謙文專訪
孫麥傑專訪
今日頭條
1
鄭麗文明就任藍黨魁 中共介選證據全曝光
2
和林信義見面 高市早苗喊:台灣總統府資政
3
送卓榮泰「望遠鏡+放大鏡」王世堅曝含意
4
總部卡關 黃仁勳親曝:大家都希望在台北
5
2700萬勞斯萊斯撞賓士 驚人維修費曝光
6
范姜3度發聲打臉王子說辭!4點律師聲明曝
7
全台最大黃牛夫妻又犯 夫聲押妻15萬交保
8
獨/清2次…豬瘟案場滿地糞便老鼠橫行
9
南市長民調!陳亭妃、林俊憲都領先謝龍介
10
GD登APEC晚宴獻唱!習近平竟甜笑狂點頭
HOT焦點
更多
雄獅之道—雄獅文具70週年音樂會圓滿落幕
維生素B群功效與補充全解析!
轉大人文化節 提倡全齡健康管理從小做起
頻道推薦
直播✦活動
三立新聞網
為了提供更好的閱讀內容,我們使用相關網站技術來改善使用者體驗,也尊重用戶的隱私權,特別提出聲明。
了解最新隱私權聲明
知道了