APP下載
活動
爆料
圖輯
AI爆報
追蹤新聞
3
台灣彩券開獎直播中
三立iNEWS新聞台線上直播
LIVE三立+24小時直播
即時
台美關稅15%
九合一點將
新聞
熱門
政治
社會
娛樂
生活
新奇
健康
國際
兩岸
運動
財經
房產
旅遊
科技
汽車
遊戲
ESG
影音
總覽
政論
節目
熱搜
直播
iNEWS
專題
總覽
特企
專頁
大事件
彩券
專欄
民調
快訊
總是睡不飽?醫揭「3家用品」成隱形殺手
08:34
立院刪董事延任條款 公視:嚴重癱瘓營運
08:28
台灣大道嚴重事故!車毀卡騎樓…5人受傷
08:20
學測首日考數A、自然!考生必帶物品一覽
08:20
台美關稅15%鄭麗文轟「國難」 他1圖打臉
08:19
他拋1數學題高中生秒答!網:去美是天才
08:14
才爆婚變黃甘霖 A-Lin失控痛哭畫面流出
08:10
台美關稅15% 談判這內容「韓國人嚇瘋」
08:06
太子集團詐騙全球揭密!行賄陸官員證據曝
07:58
學測考生急喊救救英文 蔡英文回1句暖爆
07:55
科技董座挪公款養小三!弟抓包殺一家4口
07:55
川普任內台半導體產能4成赴美?專家揭內幕
07:47
黃國昌訪日惹怒中國想切割!館長進退失據
07:33
舔共大翻車!館長想割中國韭菜反遭網反噬
07:22
國道事故拖吊出包!工務段人員遭壓傷送醫
07:21
他娶中配…小孩戶籍選哪?陸網友全選台灣
07:13
重案/蹺家少女殺女鄰長 驚吐:冤魂索命
07:05
美股撐不住台指跌134點 台股開盤偏保守
07:03
剛替男童過完生日…因1物被沒收槍殺養父
07:02
伊朗取消大規模處決 川普:暫緩軍事介入
06:58
台灣彩券開獎直播中
20:31
醒吾三立影視學院成果展 學員表現亮眼
20:00
這個品牌有夠猛!選「愛莉莎莎」當代言
18:30
星城Online玩創意!拍《戲說台灣》單元劇
12:00
2026開局君綺醫美強攻信義區!
11:00
凱基金控迎春公益市集 讓年味多一份善意
17:00
防身專家陳勇正多起公共事件受關注
16:00
別再死背英文!右腦圖像法15分鐘無痛學會
11:00
首頁
關鍵字
許人文
許人文
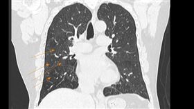
婦頻打破杯盤 竟是肺癌轉移腦作怪
不可輕忽肺癌家族化!台中烏日一名71歲翁姓婦人近期經...
2025/07/06 17:11
男嚴重頭皮潰爛 揪出肺癌標靶治療副作用
肺癌標靶治療副作用要小心!台中一名69歲謝先生,患有...
2024/07/12 08:29
65歲男後腦長腫瘤禿一塊!醫驚:肺癌末期
南投草屯一名65歲羅姓男子,菸齡超過30年,長期咳嗽...
2024/04/19 12:26
長新冠陷阱!男左上肺破洞 竟是這病
台中一名56歲盧先生,本身有抽菸習慣與糖尿病病史,前...
2022/06/15 08:29
男右肺長雞蛋大腫瘤 醫這招助退癌王
台中一名68歲的樓先生,菸齡長達十年以上,來院接受胸...
2022/05/11 09:54
男胸痛像被車輾忍5天 肋膜炎險丟命
台中一名52歲劉先生,平日身體相當硬朗,常常雲林、台...
2022/04/03 18:18
他罹肺癌中的癌王 卻還能扭轉命運?
近日藝人巴戈罹患癌王之稱的胰臟癌過世,令人不勝唏噓,...
2022/03/02 14:19
她每天幫雞塊裹麵粉 竟氣喘、咳不停
一位67歲的婦女,長期氣喘合併慢性咳嗽、胸悶多年,曾...
2021/11/22 09:43
最新圖輯
更多
羅志祥30周年演唱會
凱琳專訪
黃鐙輝、吳念軒、黃騰浩專訪
第62屆金馬獎得獎後台
第62屆金馬獎紅毯
劉書宏專訪
袁澧林、陳孝萱專訪
第36屆金曲獎星光大道
第36屆金曲獎得獎圖輯
NMIXX林口體育館粉絲演唱會
今日頭條
1
台美關稅15%合照藏玄機 他1句酸爆黃國昌
2
北捷深夜驚魂畫面曝 450旅客驚恐奔逃
3
下週二強冷空氣強襲 低溫探8℃連凍4天
4
上廁所遭偷拍…還外流!網紅氣到告女狂粉
5
川普任內台半導體產能4成赴美?專家揭內幕
6
舔共大翻車!館長想割中國韭菜反遭網反噬
7
雙載遭輾!尪目睹妻「腦漿外溢」坐地崩潰
8
台美關稅15% 談判這內容「韓國人嚇瘋」
9
學測首日考數A、自然!考生必帶物品一覽
10
台美關稅15%鄭麗文轟「國難」 他1圖打臉
HOT焦點
更多
防身專家陳勇正多起公共事件受關注
別再死背英文!右腦圖像法15分鐘無痛學會
醒吾三立影視學院成果展 學員表現亮眼
頻道推薦
直播✦活動
三立新聞網
為了提供更好的閱讀內容,我們使用相關網站技術來改善使用者體驗,也尊重用戶的隱私權,特別提出聲明。
了解最新隱私權聲明
知道了