APP下載
活動
爆料
圖輯
AI爆報
追蹤新聞
3
台灣彩券開獎直播中
三立iNEWS新聞台線上直播
LIVE三立+24小時直播
即時
高市早苗大勝
世紀血案爭議
新聞
熱門
政治
社會
娛樂
生活
新奇
健康
國際
兩岸
運動
財經
房產
旅遊
科技
汽車
遊戲
ESG
影音
總覽
政論
節目
熱搜
直播
iNEWS
專題
總覽
特企
專頁
大事件
彩券
專欄
民調
快訊
記憶體馬年要抱緊處理? 封關前報告曝光
00:10
睽違18年!蕭煌奇再次站上錠嵂舞台
23:32
投資勝利組!這星座+這城市=富到流油
23:19
日本改選後步入穩定 「高市交易」報告曝
23:00
生吃紅蘿蔔太可惜 「1吃法」吸收率高12倍
22:56
鄭麗文扯「日有事變台灣有事」她1句酸爆
22:54
獨/小黃運將無照載客 執登竟影印朋友的
22:52
鹿港清潔隊大火!「山貓」遭吞噬剩骨架
22:52
女性選民集結!高市「首位女首相」占優勢
22:45
高市早苗大勝 學者:中國威脅成「天時」
22:44
20萬黃金掉車縫 「送去洗車」驚險尋回
22:42
新/傳被輝達拋棄 美股開盤這巨頭跌破5%
22:41
北捷男廁2度縱火!曾世源遭羈押未禁見
22:32
臨櫃換鈔開跑!他捧20萬現金換五色新鈔
22:24
約9男校園拍「激戰片」!新北男警遭起訴
22:17
LINE「2情況」一定是詐騙!認證碼別亂給
22:14
威力彩連30槓! 下期頭獎上看13.5億
22:12
新/連30摃!威力彩下期衝13.5億
22:06
獨/房仲騙簽約凶宅 外籍妹付訂金討不回
22:01
中和食品工廠大火!18歲女受困陽台獲救
22:00
台灣彩券開獎直播中
20:31
台灣隊指定「壯大人萃滴精」勇闖世界之巔
15:00
彰化市產業大升級!合新中正一綻機能完整
12:00
寒冬送暖!吳昇翰攜手會計師公會發物資
11:00
不靠濾鏡靠真心!人氣直播主上線擄獲人心
12:00
北市「來台北有購嗨」消費200元抽千萬
12:00
首頁
關鍵字
奇美醫院中醫部
奇美醫院中醫部
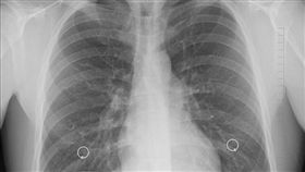
老菸槍「肺活量剩29%」僅走百步靠1招回血
台南一名67歲退休焊接工陳姓男子,菸齡長達40年,受...
2026/02/09 17:46
陰虛與痰濕不能狂進補!中醫籲這樣吃
天氣真的變冷了。24節氣的「大雪」剛過,寒意更甚,民...
2021/12/08 22:33
最新圖輯
更多
羅志祥30周年演唱會
凱琳專訪
黃鐙輝、吳念軒、黃騰浩專訪
第62屆金馬獎得獎後台
第62屆金馬獎紅毯
劉書宏專訪
袁澧林、陳孝萱專訪
第36屆金曲獎星光大道
第36屆金曲獎得獎圖輯
NMIXX林口體育館粉絲演唱會
今日頭條
1
LINE「2情況」一定是詐騙!認證碼別亂給
2
總統府證實:賴清德邀五院院長新春後茶敘
3
新/連30摃!威力彩下期衝13.5億
4
除夕「2波冷空氣」接力 降雨熱區曝光
5
獨/小黃運將無照載客 執登竟影印朋友的
6
獨/電鍍10元裝50元!鎖小攤販「洗錢」
7
高市大勝傳達1訊號 她:國民黨不應忽視
8
獨/房仲騙簽約凶宅 外籍妹付訂金討不回
9
柯南、寶可夢辱華?遭中國動漫展全面封殺
10
過年前1縣市發錢!最高3.2萬 申請條件曝
HOT焦點
更多
2026桃園燈會飛馬主燈、小提燈馬上飛亮相
彰化市產業大升級!合新中正一綻機能完整
寒冬送暖!吳昇翰攜手會計師公會發物資
頻道推薦
直播✦活動
三立新聞網
為了提供更好的閱讀內容,我們使用相關網站技術來改善使用者體驗,也尊重用戶的隱私權,特別提出聲明。
了解最新隱私權聲明
知道了