APP下載
活動
爆料
圖輯
AI爆報
追蹤新聞
5
總統主持全社會防衛韌性委員會
張文父母出面向社會大眾道歉
台灣彩券開獎直播中
三立iNEWS新聞台線上直播
LIVE三立+24小時直播
即時
北捷隨機攻擊
財劃法不副署
新聞
熱門
政治
社會
娛樂
生活
新奇
健康
國際
兩岸
運動
財經
房產
旅遊
科技
汽車
遊戲
ESG
影音
總覽
政論
節目
熱搜
直播
iNEWS
專題
總覽
特企
專頁
大事件
彩券
專欄
民調
快訊
新/張文隨機殺人DAY5 父母下跪道歉了
16:39
余家昶確定入祀桃園忠烈祠 張善政曝時間
16:38
俄籍正妹賣國旗詐財!騙到江和樹火速被抓
16:37
新/長榮、榮運重訊記者會 說明關係人交易
16:37
籃籃北上站台《冠軍之路》:可能看到泛淚
16:31
總統府元旦活動維安升級?策展單位說明
16:29
剃光頭髮抗血癌半年 人氣男神曝康復喜訊
16:20
中居正廣神隱爆癌症復發!日媒曝最壞可能
16:16
狄鶯發聲護警!輿論瞬間翻車
16:15
宋成文正式簽約教士! 目標擠進開季名單
16:14
比UG更可惡 M7悼念余家昶竟有人打廣告
16:10
該做的都做了!郭書瑤遭曖昧對象封鎖斷聯
16:10
帝王行人?74歲婦「漫遊車道」遭轎車撞飛
16:08
1電器比除濕機更強?內行曝:用過回不去
16:02
天降「活雞」賴在引擎蓋不走 駕駛秒收編
15:59
國防預算4度被擋!沈伯洋曝藍白最終目的
15:58
新/6旬婦開車「撞進」家樂福 現場畫面曝
15:57
新/15:46花蓮規模4.8地震 最大震度3級
15:56
4歲女童染梅毒!嬤「愛的舉動」害慘孫女
15:55
聖誕「北台濕冷」 未來72hr溫度劇烈震盪
15:54
台灣彩券開獎直播中
20:31
張文父母出面向社會大眾道歉
13:30
總統主持全社會防衛韌性委員會
15:30
因應匯率波動!兆豐銀行設專區助企業避險
13:00
OL情傷想不開 憂鬱症治療新選擇即刻救援
12:00
華南銀行SnY數位帳戶出任務!
14:00
蔡淑臻出席『海芙時光機菁英高峰會』
12:00
國際大獅子?八點檔自己玩笑都敢開
12:00
外送專法「單單等值」限制「疊單」爭議多
09:00
深耕在地!PP石墨烯以實際行動應援台灣
16:00
謝宜容霸凌案促《職安法》增「霸凌專章」
14:00
「睡眠能量艙」為何越來越多人開始這樣睡
14:00
亞太首創!早期腎病年報看見台護腎領導力
13:00
秋冬穿出曲線小心機!「波波凍」無痛UP
12:00
桃合特區首案「佳陞豐禾」擁新站計畫利多
13:00
首頁
關鍵字
敗血性
敗血性
獨/山豬驟逝 「這事」恐主因!年輕人警訊
《瘋神無雙》班底山豬(陳俊甫)今(15日)驟逝。長年...
2024/04/15 15:25
40多歲男流感重症歿!公費疫苗剩26萬劑
公費流感疫苗只剩26萬劑!疾病管制署今(2)日表示,...
2024/01/02 14:48
打過4劑疫苗!5旬男染疫後敗血性休克歿
上週新增32例死亡病例,與前一週新增34例相當,新增...
2023/12/19 16:20
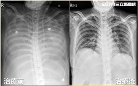
女肚痛住院照X光 醫驚:肺臟竟都消失了
台中32歲陳女因連日腹痛與下肢水腫在家跌倒就醫,檢查...
2023/11/14 13:45
40歲男癌症惡化18天歿!本土34556死57
指揮中心今(28)日公布國內新增3萬4556例新冠本...
2022/10/28 14:02
今增26死!40歲男「重複感染」歿
指揮中心今(7)日公布國內新增4萬1021例本土個案...
2022/09/07 14:03
冒冷汗又胃潰瘍!卅歲男確診隔日病歿
今(7)日增本土個案3萬1364例,比昨日3萬449...
2022/07/07 14:04
最新圖輯
更多
第62屆金馬獎得獎後台
第62屆金馬獎紅毯
劉書宏專訪
袁澧林、陳孝萱專訪
第36屆金曲獎星光大道
第36屆金曲獎得獎圖輯
NMIXX林口體育館粉絲演唱會
KISS OF LIFE台北演唱會
林芯儀專訪
GYUBIN大巨蛋開球
今日頭條
1
新/15:46花蓮規模4.8地震 最大震度3級
2
彈劾總統議程確定!26日院會上演表決大戰
3
帝王行人?74歲婦「漫遊車道」遭轎車撞飛
4
藍白又擋預算!她嗆翁曉玲:紅是自己染的
5
鄭麗文演講戰學生 陳揮文說重話轟:難看
6
北捷攻擊4死!蔣萬安雙城論壇只去1天
7
兒阻行凶遇害 余媽媽:不要苛責張文父母
8
王ADEN挨轟痛失跨年演出 本人回應了
9
1電器比除濕機更強?內行曝:用過回不去
10
阿信跌落仍致謝他 朱孝天竟冷回:場面話
HOT焦點
更多
新手爸媽神隊友!育兒指導員減輕父母負擔
OL情傷想不開 憂鬱症治療新選擇即刻救援
高雄時尚大賞決賽登場 8組品牌角逐金賞
頻道推薦
直播✦活動
三立新聞網
為了提供更好的閱讀內容,我們使用相關網站技術來改善使用者體驗,也尊重用戶的隱私權,特別提出聲明。
了解最新隱私權聲明
知道了