APP下載
活動
爆料
圖輯
AI爆報
追蹤新聞
5
台中非洲豬瘟前進應變所記者會
白沙屯媽祖贊境新北最新狀況
台灣彩券開獎直播中
三立iNEWS新聞台線上直播
LIVE三立+24小時直播
即時
非洲豬瘟侵台
輝達進駐台北
新聞
熱門
政治
社會
娛樂
生活
新奇
健康
國際
兩岸
運動
財經
房產
旅遊
科技
汽車
遊戲
ESG
影音
總覽
政論
節目
熱搜
直播
iNEWS
專題
總覽
特企
專頁
大事件
彩券
專欄
民調
快訊
被鄭麗文致詞感動?馬英九情緒激動快落淚
10:23
鄭麗文接黨主席!楊智伃口誤:恭賀朱立…
10:19
美突喊恢復核試驗 伊朗批川普雙標又虛偽
10:13
鄭麗文自曝拜訪慈濟:讓國民黨羊群變獅群
10:12
他酒駕見路檢點迴轉 怕刮傷友超跑遭活逮
10:12
9旬色翁強摸求職女!法官輕判理由曝
10:11
外國人能分辨台灣人、中國人?4大差異曝
10:07
醉漢狂譙女警幹X娘!法官認證國罵判無罪
10:06
颱風最快今生成!2波東北季風將接力增強
10:05
被爆畫作大量抄襲 網紅德州媽媽崩潰澄清
10:02
北捷2車站「今營運到凌晨2點」原因超暖
10:01
女婿承諾付168萬聘金 岳父9年沒收到告了
10:00
藍鳥先發首輪飆7K 敬遠大谷後被敲安掉分
09:55
朱下鄭上!朱立倫:永遠不會忘記黨的栽培
09:53
于朦朧經紀人杜強傳潛逃台灣 住士林整形
09:51
馮淬帆辭世!曾轟1句話跟舔共藝人成對比
09:49
吳音寧接任台肥新董座 本人回應了
09:46
哈雷電動小鋼砲 技術核心來自台灣
09:44
新/「海鷗」颱風將生成!最新路徑曝光
09:40
王子認越線粿粿 詹惟中18年前就算他花心
09:31
台灣彩券開獎直播中
20:31
白沙屯媽祖贊境新北最新狀況
06:30
台中非洲豬瘟前進應變所記者會
09:30
維生素B群功效與補充全解析!
14:00
日本熱銷4億包!糖脂對策 隨餐1包纖維粉
12:00
酷澎雙11狂購祭 美國保健品限時五折
11:00
八里國際化成形!港灣特區陸海空黃金三角
11:00
13聖杯!桃園護國宮爐主淚:太子爺早暗示
19:40
首頁
關鍵字
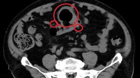
大腸憩室
大腸憩室
反覆腹痛逾1年才就診 醫:最大8公分了
北部一名七旬男性1年多來飽受不明腹痛之擾,大腸鏡檢查...
2023/05/26 09:26
糞便有血=罹癌?虛驚一場的大腸憩室出血
58歲的劉小姐因為糞便有血數日,擔心自己是罹患大腸癌...
2023/03/08 10:59
最新圖輯
更多
劉書宏專訪
袁澧林、陳孝萱專訪
第36屆金曲獎星光大道
第36屆金曲獎得獎圖輯
NMIXX林口體育館粉絲演唱會
KISS OF LIFE台北演唱會
林芯儀專訪
GYUBIN大巨蛋開球
陳謙文專訪
孫麥傑專訪
今日頭條
1
吳音寧接任台肥新董座 本人回應了
2
鄭麗文接黨主席!楊智伃口誤:恭賀朱立…
3
新/「海鷗」颱風將生成!最新路徑曝光
4
不只豬瘟案場!老農住家大門、車輛均陽性
5
3度聲明打臉王子 范姜律師公開訴訟內幕
6
GD搭私人專機飛抵台灣!「奢華內部」曝光
7
鄭麗文稱普丁不是獨裁者 曹興誠:中邪了
8
「機具女神」退出光復!私募19萬明細將揭
9
轟鳳梨12槍!助槍手逃亡…年輕共犯再添罪
10
日女買爆台灣味吸7.5萬讚 再發聲吐1心願
HOT焦點
更多
轉大人文化節 提倡全齡健康管理從小做起
酷澎雙11狂購祭 美國保健品限時五折
八里國際化成形!港灣特區陸海空黃金三角
頻道推薦
直播✦活動
三立新聞網
為了提供更好的閱讀內容,我們使用相關網站技術來改善使用者體驗,也尊重用戶的隱私權,特別提出聲明。
了解最新隱私權聲明
知道了