APP下載
活動
爆料
圖輯
AI爆報
追蹤新聞
4
【立院榮譽顧問】
台灣彩券開獎直播中
三立iNEWS新聞台線上直播
LIVE三立+24小時直播
即時
赤手獨攀101
台美關稅15%
新聞
熱門
政治
社會
娛樂
生活
新奇
健康
國際
兩岸
運動
財經
房產
旅遊
科技
汽車
遊戲
ESG
影音
總覽
政論
節目
熱搜
直播
iNEWS
專題
總覽
特企
專頁
大事件
彩券
專欄
民調
快訊
台中女警喊遭霸凌!分局揭「收驚」真相
18:00
喊別硬上101窗框小姐!賈永婕被罵翻道歉
17:59
醫院評鑑「4年改6年」118年評鑑內容曝光
17:57
TikTok變親川普版X?遭疑封殺批川內容
17:57
立院第10度封殺軍購條例!行政院回應了
17:52
薯條飲料砍半他怨外送員偷吃 內行揭真相
17:52
FIFA前主席要球迷別到美國看世足:不安全
17:46
2孩看IMAX電影吵翻天!美麗華霸氣1舉讚爆
17:45
漢來飯店三館迎春 住房專案加碼年味活動
17:42
國防部:若審太久 軍購案恐胎死腹中
17:40
香港男神演唱會「破處」 半裸洩超猛腹肌
17:39
國共智庫交流將登場 陳柏惟轟想圖利誰
17:33
男乞討靠1招成億萬富豪 官方查資產震驚
17:33
遭爆承包縣內工程近60億 宜縣議長回應了
17:33
台北還是台灣?霍諾德攀101意外引口水戰
17:31
民調/台中市長選戰!最新支持度出爐
17:30
功能被「鎖」起來賣 特斯拉標配變訂閱
17:30
第一網紅驚傳癌症末期!再復發傷疤曝光
17:28
傳被柯文哲指責害人才出走!劉書彬喊告
17:26
BTS驚動墨西哥總統 致函李在明求加場
17:26
台灣彩券開獎直播中
20:31
【立院榮譽顧問】
17:30
迎金馬年!台彩春節加碼總獎金12億
16:00
凱基金控2026 MA招募開跑!
16:00
昇恆昌董座實踐利他精神全員志工化做公益
16:00
便當傳愛對抗孤單 為視障黑暗中點燈
14:00
吳琪銘宣布交棒兒吳昇翰 造勢場5千人挺
20:00
搶攻年前購車潮 賓士「超星動專案」吸睛
12:00
數位轉型AI實戰 凱基金控躋身AI創新百強
10:30
首頁
關鍵字
大腸鏡
大腸鏡
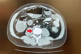
「1類息肉」潛伏20年!他拖6月慘變大腸癌
照大腸鏡時發現有息肉很正常,即時切除就能減少罹大腸癌...
2026/01/02 12:44
肛門一直流血!大腸鏡正常…醫觸診揪1癌
多數人都以為肛門異常出血,可能與痔瘡或大腸癌有關,但...
2025/12/19 18:01
1癌連14年成中標王 檢查前疏忽小心驗不清
大腸鏡檢查前怎麼準備?營養師提醒需採低渣飲食、避免高...
2025/12/06 17:34
沒有血便!他出現「1常見症狀」竟腸癌三期
許多人認為貧血是女生才會有的問題,但醫師劉博仁表示,...
2025/12/03 07:10
遺傳讓大腸塞滿數百顆瘜肉 男全大腸切除
家族性腺瘤性瘜肉症(Familial Adenoma...
2025/11/02 10:13
肚脹三天未排便 就醫驚見大腸癌腸阻塞
向來健康,沒有家族史的45歲蘇先生,日前長達三天都無...
2025/09/03 09:55
醫師也看傻!照大腸鏡切息肉差3字不理賠
診斷書差幾個字就差很大!義大醫院家庭暨社區醫學部主治...
2025/08/25 15:14
20多歲同事腸癌末期 30歲男也中!醫示警
大腸癌患者與息明顯年輕化!醫師張振榕表示,一名30歲...
2025/08/24 17:23
28歲男一查竟大腸癌!醫:快做1事防憾事
大腸癌患者快速年輕化。醫師陳保中指出,日前一位自述無...
2025/08/15 09:55
金針菇明天見 醫曝大腸鏡遇整朵菇類在內
美味又兼具營養、口感的金針菇,是不少人家中的常備菜色...
2025/05/22 11:45
大腸息肉不是切了就OK!「5情況」恐癌變
大腸癌是國人僅次於肺癌的新發癌症,醫師黃軒表示,一般...
2025/05/04 12:25
體重減輕開心?婦腸內藏兩條20公分長蛔蟲
一位女性日前因肚子脹、體重逐漸減輕,在家人催促下到醫...
2025/04/02 13:02
48歲男星為省麻醉費用:全程清醒照大腸鏡
韓國48歲人氣歌手金鍾國從男子流行音樂團體出道,後來...
2025/04/01 16:06
年增13萬人!大腸癌早期發現「不到3成」
癌症為我國十大死因第1位,據統計13萬人新發現罹癌、...
2025/03/24 11:03
40多歲男腹痛吐5天 醫曝1飲品易誘發癌症
台中一名40多歲的男子,日前因為腹痛急診到院,經過電...
2025/03/21 16:26
7年級腸癌風險最高 醫揭2關鍵:不是吃肉
隨著生活型態和飲食習慣改變,大腸癌逐漸年輕化。胃腸肝...
2025/03/05 12:31
45歲男排便正常 「1症狀」確診三期腸癌
排便異常是大腸癌的常見症狀,但有時腹痛也是警訊!醫師...
2025/02/20 12:13
婦罹癌腫瘤卡食道 醫用她的大腸成功重建
南投一名年約60歲的陳姓婦人,平時生活簡單也不菸不酒...
2025/01/15 12:57
大腸癌3期轉移肝會死嗎?醫師助他戰勝癌
根據世界衛生組織(WHO)統計,台灣大腸癌發生率已超...
2025/01/11 11:53
男每天上大號要30分鐘 痔瘡在肛門口招搖
在門診患者褲子一脫下來,馬上見到紅到發紫的痔瘡在肛門...
2025/01/08 08:47
獨/腸癌奪冠15年!台大醫:健檢後必問3題
大腸直腸癌連續15年成為國內癌症發生率第1名,近年也...
2025/01/04 19:10
他暴瘦卻肚子脹!醫一看盲腸有「鵝卵石」
瘦到折磨人!肝膽腸胃科醫師葉秉威透露,日前遇到一名瘦...
2025/01/04 11:42
她常頭暈竟罹腸癌 健檢1數字過低=長腫瘤
頭暈常被視為小問題,但可能暗藏健康警訊。外科醫師陳榮...
2025/01/03 11:47
天冷醫也嗑香腸!1招大減毒 不用解毒劑
健康資訊普及,民眾熟悉加工肉品對健康的危害,但香腸、...
2024/12/30 08:03
消化道沉默殺手 有這5症狀恐要切小腸了
中部一名60幾歲男子阿易,因腹痛到醫院檢查,發現肚子...
2024/12/06 18:07
做大腸鏡要問醫3問題 忘記恐錯失治療期
肝膽腸胃內科醫師方冠傑提醒,民眾做完大腸鏡檢查,務必...
2024/12/05 20:26
獨/台大醫也愛吃香腸!靠1招就終極滅毒
越來越多人了解加工肉品對健康的危害,但香腸、熱狗不免...
2024/11/24 08:42
女做大腸鏡遭性侵!變態護理師賠70萬免關
一名女子到南投某醫院進行無痛腸胃鏡檢查,在恢復室休息...
2024/11/13 12:20
檢查沒事仍大腸癌!醫曝5原因+紅燈警訊
若做完一次大腸鏡檢查,下次回診追蹤時間還沒到就發生大...
2024/11/07 09:32
大便拉出血…大腸鏡督進去傻了:整片都是
一名54歲男子因為將近2個月都在反覆血便,且伴隨食慾...
2024/11/03 08:07
最新圖輯
更多
羅志祥30周年演唱會
凱琳專訪
黃鐙輝、吳念軒、黃騰浩專訪
第62屆金馬獎得獎後台
第62屆金馬獎紅毯
劉書宏專訪
袁澧林、陳孝萱專訪
第36屆金曲獎星光大道
第36屆金曲獎得獎圖輯
NMIXX林口體育館粉絲演唱會
今日頭條
1
藍白10度封殺國防預算!王定宇怒批這句
2
未爭吵!役男遭司機丟包前12分鐘詭異噤聲
3
川普突加南韓關稅 總統喊話藍白別做這事
4
剴剴案二審宣判!郁方痛批廢死團體該廢死
5
立百病毒R0值低!羅一鈞喊難流行但憂1事
6
許舒博籲藍白別擋台美關稅:民意會大反撲
7
王子不倫粿粿首露面 范姜怒譙:還要臉嗎
8
霍諾德紅衣爬101!起初憂代表某種政治立場
9
發現事情大條?ICE連殺2公民 川普動作了
10
曹西平告別式無血親到 龍千玉現身火化場
HOT焦點
更多
吳琪銘宣布交棒兒吳昇翰 造勢場5千人挺
搶攻年前購車潮 賓士「超星動專案」吸睛
數位轉型AI實戰 凱基金控躋身AI創新百強
頻道推薦
直播✦活動
三立新聞網
為了提供更好的閱讀內容,我們使用相關網站技術來改善使用者體驗,也尊重用戶的隱私權,特別提出聲明。
了解最新隱私權聲明
知道了