APP下載
活動
爆料
圖輯
AI爆報
追蹤新聞
4
藍白硬闖3惡法!府院擬不副署
台灣彩券開獎直播中
三立iNEWS新聞台線上直播
LIVE三立+24小時直播
即時
袁惟仁逝世
九合一點將
新聞
熱門
政治
社會
娛樂
生活
新奇
健康
國際
兩岸
運動
財經
房產
旅遊
科技
汽車
遊戲
ESG
影音
總覽
政論
節目
熱搜
直播
iNEWS
專題
總覽
特企
專頁
大事件
彩券
專欄
民調
快訊
里1拆4…諧音「扶殯」老人忌諱!剩3命名
09:40
下班直衝!9.7億威力彩 4生肖星座必買
09:40
林俊言個案評鑑不成立!陳佩琪怒喊違法
09:39
李貞秀把護照台胞證收起來!他曝唯一重點
09:39
李貞秀稱棄中國籍遭拒 汪浩籲立院做1事
09:29
聚焦幼老福利 蘇巧慧推6大福利政見
09:26
好市多蜂蜜哪罐不踩雷?內行揭關鍵差異
09:24
威力彩飆9.7億!4生肖易中獎、5大旺財法
09:17
砍警狂男中彈送醫!居民怒吼:救他幹嘛
09:15
具俊曄背癱瘓隊友看大S 墓前1舉動逼哭他
09:12
藍才喊還沒審何來刪 美參議員批擋軍購
09:12
開盤/美股慘跌台股崩 兆元宴大咖慘摔
09:09
獨/房價漲跌分化!他曝房市鬼故事全破滅
09:06
這國頂級實力櫻桃來了!價格漂亮品質好
09:02
獨/房東竟是前科犯 女星遭恐嚇還被告
09:00
獨家/霍諾德登台北101摸的避雷針他做的
09:00
媽,你的名字叫勇敢!她夫死子險成植物人
09:00
新/苗栗男隨機砍人!持刀劈警頭遭開槍
08:58
生前1舉動成致命關鍵 大S病危搶救不治
08:54
硬塞中國人李貞秀當立委?她怒開轟柯文哲
08:50
台灣彩券開獎直播中
20:31
藍白硬闖3惡法!府院擬不副署
09:30
SMILE Pro單眼10秒讓吳姍儒視力自由
11:00
網友大推「這款」四層衛生紙:還不買爆
10:30
光耀科前董座涉掏空 遭檢調搜索偵辦
09:00
首頁
關鍵字
軟骨瘤
軟骨瘤
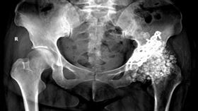
痛到難行!體內取出259顆軟骨瘤 醫驚呆
大陸福建省福州市一名40歲王小姐,由於大腿與臀部不時...
2025/03/27 14:52
每天玩手機10小時 26歲男慘患罕病長珍珠
中國大陸湖南省長沙一名26歲男子,近日因左手肘關節腫...
2023/12/02 21:11
全明星女星曾罹軟骨瘤 吐心中遺憾全說了
自選秀節目出道的吱吱(郭芝吟)2023年全新單曲《A...
2023/06/20 10:08
最新圖輯
更多
羅志祥30周年演唱會
凱琳專訪
黃鐙輝、吳念軒、黃騰浩專訪
第62屆金馬獎得獎後台
第62屆金馬獎紅毯
劉書宏專訪
袁澧林、陳孝萱專訪
第36屆金曲獎星光大道
第36屆金曲獎得獎圖輯
NMIXX林口體育館粉絲演唱會
今日頭條
1
新/苗栗男隨機砍人!持刀劈警頭遭開槍
2
獨/美魔女夜店獵男術!假求救真斂財
3
白宮證實擊落伊朗無人機:挑釁林肯號航母
4
藍才喊還沒審何來刪 美參議員批擋軍購
5
生前1舉動成致命關鍵 大S病危搶救不治
6
硬塞中國人李貞秀當立委?她怒開轟柯文哲
7
週末恐迎「首波寒流」!最冷時段曝光
8
南漂男入職兩個月 竟拿吃飯工具隨機行兇
9
具俊曄休息室淚崩!紙寫滿「熙媛」惹鼻酸
10
立春最強生肖是它!迎貴人財運爆發
HOT焦點
更多
數字反撲?停針後穩糖才是守住關鍵
2026台北母娘文化季 松山慈惠堂冬令救濟
手痛別硬撐!忽視媽媽手小心關節發炎變形
頻道推薦
直播✦活動
三立新聞網
為了提供更好的閱讀內容,我們使用相關網站技術來改善使用者體驗,也尊重用戶的隱私權,特別提出聲明。
了解最新隱私權聲明
知道了