APP下載
活動
爆料
圖輯
AI爆報
追蹤新聞
6
賴清德、李洋出席總統盃
豬肉禁令盼本週五解除!
白沙屯媽祖贊境新北
台灣彩券開獎直播中
三立iNEWS新聞台線上直播
LIVE三立+24小時直播
即時
非洲豬瘟侵台
輝達進駐台北
新聞
熱門
政治
社會
娛樂
生活
新奇
健康
國際
兩岸
運動
財經
房產
旅遊
科技
汽車
遊戲
ESG
影音
總覽
政論
節目
熱搜
直播
iNEWS
專題
總覽
特企
專頁
大事件
彩券
專欄
民調
快訊
海鷗恐轉中颱最新路徑曝 下週這2天雨最大
15:47
菲律賓與加拿大結盟 共同牽制中國擴張
15:46
少鹽還不夠!研究揭「1飲品」超穩血壓
15:44
控奈國未阻止基督徒遭殺 川普揚言出兵
15:44
黃明志捲入謝侑芯之死!首度發文切割涉毒
15:43
鄭麗文提2028人選 蔡正元怒轟超級大嘴巴
15:42
62歲屠穎猝逝 李國超淚崩:我捨不得你
15:38
總統盃籃球賽凱道開打 李洋:下次換羽球
15:38
北部1夜市封最頂!網讚:價格佛、份量多
15:34
Martin Garrix高喊我愛你 發台國旗告白
15:33
夫妻擁千萬財產 因1事悔嘆錯過退休人生
15:32
山本貢獻前所未見 主帥:他讓我像好教練
15:29
高市早苗見林信義!中國氣炸 日網反應曝
15:27
LINE貼圖神功能消失!網敲碗:求回歸
15:24
獨/肉品廠遇禁宰令損千萬!調人力挺員工
15:22
謝侑芯昏迷飯店浴缸 黃明志CPR搶救無效
15:20
石碇「拓海哥」過彎失控 86猛撞電桿全毀
15:17
朱立倫規矩全顛覆?他封鄭麗文:邪惡軸心
15:10
台中女欠債2萬!遭囚摩鐵「鬼剃頭」灌毒
15:08
新/重大車禍!男斷腳…2歲女兒頸出血亡
15:08
台灣彩券開獎直播中
20:31
白沙屯媽祖贊境新北
14:00
豬肉禁令盼本週五解除!
15:30
賴清德、李洋出席總統盃
15:35
創意無極限!國中小生飆戲 宣傳節約能源
11:00
台灣大日月潭花火音樂會吸3.5萬人齊聚
22:00
外送專法受矚 三大平台籲政府加強溝通
14:00
有酷澎WOW會員 毛孩照顧更輕鬆
11:00
維生素B群功效與補充全解析!
14:00
日本熱銷4億包!糖脂對策 隨餐1包纖維粉
12:00
酷澎雙11狂購祭 美國保健品限時五折
11:00
八里國際化成形!港灣特區陸海空黃金三角
11:00
13聖杯!桃園護國宮爐主淚:太子爺早暗示
19:40
首頁
關鍵字
殺嬰
殺嬰
台中情侶3次墮胎…4度產男嬰溺死棄古井
一對情侶謝姓男子與柯姓女子交往8年,但因為不想撫養孩...
2025/10/01 07:49
古井嬰屍案二審出爐!惡父母溺斃兒下場曝
台中市謝姓男子與柯姓女子,從大學起一路交往8年,期間...
2025/09/30 12:08
網咖產子殺嬰纏訟2年多!男嬰死因仍是謎
2023年1月,台中發生網咖產子殺嬰案,震驚社會。當...
2025/09/12 13:43
台中惡父母溺斃親生兒!生母重判11年2月
台中市謝姓男子與柯姓女子,從大學起一路交往8年,期間...
2025/06/09 11:36
22歲母狠殺嬰後遇害成白骨 解剖曝身份
22歲的年親媽媽狠心殺嬰,不料一年後自己也遇害成了白...
2024/06/19 09:14
台南女嬰遭埋兒童公園 母煎熬30分才動手
台南安南區發生驚悚殺嬰案,一名幼童本月8日傍晚在海佃...
2024/02/14 20:34
護理師殺7嬰入獄5月 爆「像住酒店一樣」
犯下震驚英國的「連環殺嬰案」女護士萊比(Lucy L...
2024/02/09 16:42
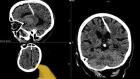
老婦腦部藏針80年!X光一照驚揭恐怖秘密
俄羅斯庫頁島(Sakhalin)一名80歲婦人到醫院...
2023/10/05 20:18
剛出生就被害死!邪惡護理師殺7嬰遭定罪
英國近代最慘絕人寰的一件「連環殺嬰案」,在審判多時後...
2023/08/20 10:10
怕養不起⋯產子後秒扔嬰下樓!狠母現況曝
屏東市發生一起令人震驚的殺嬰案!當地民眾5日於大樓巷...
2023/07/09 09:38
家裡窮養不起小孩 狠母殺害2子藏冰箱
南韓一名女子因家裡經濟狀況差,養不起小孩,狠心把2名...
2023/06/23 16:50
未婚懷孕怕媽罵 女偷產子殺嬰藏衣櫃
去年2月間,台南一名陳姓女子,因未婚懷孕擔心被母親責...
2021/05/31 08:28
啃老妹摩鐵產女 掐死拋屍原因超傻眼
去年6月間,中國大陸上海一名24歲的李姓女子,在摩鐵...
2021/03/23 15:06
擔心9月大嬰長太像小王 母狠殺死她
孩子都是父母的心肝寶貝,怎麼能下得了這種毒手?近日印...
2021/02/15 00:17
醫院形象大使護士涉殺8嬰 震驚英國
全英國社會都在等待真相,切斯特伯爵夫人醫院的形象大使...
2020/11/13 20:10
根本死神!正妹護士被控殘忍殺8嬰孩
英格蘭西北部切斯特的一名30歲女護理師露西萊比,當地...
2020/11/12 14:30
殺嬰冰屍3日 房客嚇:女嬰哭聲慘烈
今年6月14日,現年25歲的印尼籍龍姓男子,與陳姓妻...
2020/08/21 09:46
人妻51刀殺嬰滅證 嬰靈夜夜擾舍房
新北市板橋區11年前發生駭人聽聞命案,一名婦人因不知...
2020/06/24 13:35
女大生產女 竟掐死棄醫院垃圾桶
台南18歲吳姓女大生意外懷孕,卻對人工流產趕到猶豫,...
2020/02/27 04:20
媽4度懷孕卻不見嬰 警悚揭恐怖真相
每個降生的新生兒,都是父母親的心肝寶貝,想必都是精心...
2019/12/21 06:14
拒養小孩卻不戴套!惡媽生4嬰全殺光
波蘭奧波萊省一對夫妻曾被鄰居發現4度懷孕,但除了2人...
2019/12/20 10:48
母獅順產2幼獅 3天後狠吃屍骨不留
動物園有新生命降臨總是讓人開心又感動,不過,日前德國...
2019/08/09 16:56
15歲女兒產子…嬤嫌丟臉淹死外孫
美國日前發生一起震撼各界的殺嬰案!現年43歲的德隆(...
2019/03/04 18:47
神明面前殺兒⋯冷血母淹死7天大男嬰
如此狠母?苗栗一名21歲的年輕未婚媽媽,瞞著父母偷生...
2019/02/25 06:43
虐嬰男坐監33年…遭起底狠殺慘死
英國一名54歲男子1985年曾殺害女友17個月大的的...
2019/01/18 20:33
愛中出卻不想生!恐怖夫妻狂殺4嬰兒
波蘭一對夫妻過去曾4度懷孕,但鄰居卻從沒在他們家中看...
2018/12/28 12:54
女網紅陰道大出血 揭2次殺嬰棄屍案
美國南卡羅萊納州默特爾比奇有一名在YouTube知名...
2018/12/16 06:37
殺嬰裹屍 藏11年自首不涉殺人罪
高雄一名林姓父親於12年前涉嫌失手打死剛滿月的女兒,...
2018/08/14 07:27
英國醫院爆連環殺嬰 凶嫌是醫護人員
一年內死了15個嬰兒!英國切斯特醫院(Countes...
2018/07/03 19:37
看到一張合照…他意外揭半世紀謀殺案
一張臉書照片揭發一場殺嬰案!英國有一名男子皮特(Pe...
2017/12/05 17:08
最新圖輯
更多
劉書宏專訪
袁澧林、陳孝萱專訪
第36屆金曲獎星光大道
第36屆金曲獎得獎圖輯
NMIXX林口體育館粉絲演唱會
KISS OF LIFE台北演唱會
林芯儀專訪
GYUBIN大巨蛋開球
陳謙文專訪
孫麥傑專訪
今日頭條
1
林佳龍紐約設宴美方無人來?真相曝光
2
黃明志捲入謝侑芯之死!首度發文切割涉毒
3
山本由伸獲MVP 大谷讚:他是世界第一
4
蔡依林罕見舉辦簽唱會!萬人擠爆北流搶看
5
台中女欠債2萬!遭囚摩鐵「鬼剃頭」灌毒
6
特斯拉酒駕撞死老夫妻 車道滿地血
7
假日輕急症中心啟動 地點、收費一次看
8
《富爸爸》:即將大崩盤!數百萬人血本無歸
9
決賽1人拿3勝 山本奪MVP泛淚喊不可思議
10
JYP娛樂創辦人罕同框習近平 談話內容曝
HOT焦點
更多
首場造勢晚會3萬人相挺 林岱樺淚灑現場
何志偉勤跑桃園!挑戰蛇、猛禽近距離接觸
穿旗袍散步街拍 桃園「舊城新浪漫」登場
頻道推薦
直播✦活動
三立新聞網
為了提供更好的閱讀內容,我們使用相關網站技術來改善使用者體驗,也尊重用戶的隱私權,特別提出聲明。
了解最新隱私權聲明
知道了