APP下載
活動
爆料
圖輯
AI爆報
追蹤新聞
4
張文父母出面向社會大眾道歉
台灣彩券開獎直播中
三立iNEWS新聞台線上直播
LIVE三立+24小時直播
即時
北捷隨機攻擊
財劃法不副署
新聞
熱門
政治
社會
娛樂
生活
新奇
健康
國際
兩岸
運動
財經
房產
旅遊
科技
汽車
遊戲
ESG
影音
總覽
政論
節目
熱搜
直播
iNEWS
專題
總覽
特企
專頁
大事件
彩券
專欄
民調
快訊
藏壽司三麗鷗扭蛋太夯!網代吃30盤500元
17:20
九旬大師傳承技藝 12位陣頭藝師受表揚
17:19
以骯髒齷齪成名 凱莉被羞辱也要繼續講
17:14
CPB GIRLS成員名驚見「陸肆」台網全震驚
17:14
獨/安佐挺過毀滅爆料 狄鶯證實穩交女友
17:13
被台灣慣壞!去日韓要求「1服務」狂被拒
17:11
小弟弟天冷不給力!醫揭6症狀 恐不舉警訊
17:10
柯文哲出庭流淚!看到陳佩琪跪著擦地板
17:08
《角頭》被轟割韭菜 高捷暴怒:胡扯八道
17:08
袁艾菲遭他伸狼爪襲胸 帥尪爆粗口開譙了
17:06
學生問誰更獨裁 嗆鄭麗文:沒回答問題
17:05
夫妻同帶「聽損基因」 孕前做1事避風險
17:04
40歲三寶媽手臂越來越壯!竟是巨大脂肪瘤
17:02
全台最大二結王公過火 信徒赤腳衝炭火堆
17:00
夢時代跨年1200人維安…實地演練畫面曝!
17:00
北市隨機攻擊4死 賴清德要求做這些事
16:54
試鏡角色被王品澔搶走 男星幽默回應了
16:51
校長變信義媽祖婆 89歲嬤率長輩登小巨蛋
16:51
PTT電影版禁止討論《大濛》 原因曝光
16:48
王ADEN校唱學生衝上台 辛曉琪吐驚悚經歷
16:47
台灣彩券開獎直播中
20:31
張文父母出面向社會大眾道歉
13:30
愛妮雅歲末送暖 以行動關懷植物人
17:00
因應匯率波動!兆豐銀行設專區助企業避險
13:00
OL情傷想不開 憂鬱症治療新選擇即刻救援
12:00
華南銀行SnY數位帳戶出任務!
14:00
蔡淑臻出席『海芙時光機菁英高峰會』
12:00
國際大獅子?八點檔自己玩笑都敢開
12:00
外送專法「單單等值」限制「疊單」爭議多
09:00
深耕在地!PP石墨烯以實際行動應援台灣
16:00
謝宜容霸凌案促《職安法》增「霸凌專章」
14:00
「睡眠能量艙」為何越來越多人開始這樣睡
14:00
亞太首創!早期腎病年報看見台護腎領導力
13:00
秋冬穿出曲線小心機!「波波凍」無痛UP
12:00
桃合特區首案「佳陞豐禾」擁新站計畫利多
13:00
首頁
關鍵字
新竹臺大分院骨科部
新竹臺大分院骨科部
手腕鼓起一顆小山丘 竟是腱鞘囊腫作祟
手腕突然鼓起一顆小腫塊,是腫瘤還是關節發炎?30歲的...
2025/08/04 13:59
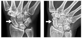
女騎車擦撞手腕撐地挫傷 竟釀舟狀骨骨折
35歲的彭小姐,因騎車上班途中不慎擦撞,造成手部撐地...
2024/05/30 09:49
最新圖輯
更多
第62屆金馬獎得獎後台
第62屆金馬獎紅毯
劉書宏專訪
袁澧林、陳孝萱專訪
第36屆金曲獎星光大道
第36屆金曲獎得獎圖輯
NMIXX林口體育館粉絲演唱會
KISS OF LIFE台北演唱會
林芯儀專訪
GYUBIN大巨蛋開球
今日頭條
1
新/張文隨機殺人DAY5 父母下跪道歉了
2
彈劾總統議程確定!26日院會上演表決大戰
3
余家昶確定入祀桃園忠烈祠 張善政曝時間
4
帝王行人?74歲婦「漫遊車道」遭轎車撞飛
5
鄭麗文演講戰學生 陳揮文說重話轟:難看
6
兒阻行凶遇害 余媽媽:不要苛責張文父母
7
現省1500元!「流腦疫苗免費打」限3千劑
8
王ADEN挨轟痛失跨年演出 本人回應了
9
阿信跌落仍致謝他 朱孝天竟冷回:場面話
10
投資大師示警「史詩級崩盤」美、日都難逃
HOT焦點
更多
「睡眠能量艙」為何越來越多人開始這樣睡
愛妮雅歲末送暖 以行動關懷植物人
華南銀行SnY數位帳戶出任務!
頻道推薦
直播✦活動
三立新聞網
為了提供更好的閱讀內容,我們使用相關網站技術來改善使用者體驗,也尊重用戶的隱私權,特別提出聲明。
了解最新隱私權聲明
知道了