APP下載
活動
爆料
圖輯
AI爆報
追蹤新聞
3
台灣彩券開獎直播中
三立iNEWS新聞台線上直播
LIVE三立+24小時直播
即時
非洲豬瘟侵台
輝達進駐台北
新聞
熱門
政治
社會
娛樂
生活
新奇
健康
國際
兩岸
運動
財經
房產
旅遊
科技
汽車
遊戲
ESG
影音
總覽
政論
節目
熱搜
直播
iNEWS
專題
總覽
特企
專頁
大事件
彩券
專欄
民調
快訊
粿粿美國行機票誰買單?「家人」曝真相
23:46
10月台股飆漲2412點 這2檔助攻指數寫高
23:38
出戰打耳光賽!中國功夫大師3掌昏迷濺血
23:21
擁2100萬、月領5萬退休俸!他半年卻崩潰
23:15
外帶「牛肉堡」到影城遭拒 消保官說話了
23:05
卡尼為雷根廣告致歉 川普仍拒重啟談判
23:00
理想混蛋攻蛋「狂燒4250萬」雞丁可沛噴淚
22:52
AI耗電商機大!格斯科技切入儲能百億市場
22:47
高院重審割國旗案 法官斥:呷碗內洗碗外
22:43
「乖乖」限定新口味!2千人排隊搶翻
22:43
新/台師大撤銷周台英博士學位
22:31
上海迪士尼直飲台淪「洗屁區」:不敢喝了
22:28
現金入袋!野村00980A配息最後上車廣播
22:26
被川普逗樂!習近平「眼睛笑成一條線」
22:14
才奪金4個月!金曲歌王自爆「弄斷獎座」
22:13
10億投資不手軟!大聯大瞄準半導體後勤
22:06
深夜學點量子力學!鴻海解鎖化學密碼
22:00
校園變侏儸紀公園?巨大綠鬣蜥爬樹學生驚
21:43
「萬華鄧紫棋」鹹濕對話曝!元配怒索百萬
21:42
海鷗颱風生成 影響台灣?氣象局給答案了
21:38
台灣彩券開獎直播中
20:31
台灣大日月潭花火音樂會吸3.5萬人齊聚
22:00
外送專法受矚 三大平台籲政府加強溝通
14:00
有酷澎WOW會員 毛孩照顧更輕鬆
11:00
維生素B群功效與補充全解析!
14:00
日本熱銷4億包!糖脂對策 隨餐1包纖維粉
12:00
酷澎雙11狂購祭 美國保健品限時五折
11:00
八里國際化成形!港灣特區陸海空黃金三角
11:00
13聖杯!桃園護國宮爐主淚:太子爺早暗示
19:40
首頁
關鍵字
筷子插耳朵
筷子插耳朵
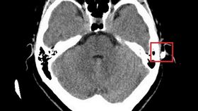
女跌倒護狗 頭撞餐桌筷子插耳、刺入頭皮
56歲的黃女士日前在家中走入客廳時不慎踩空,導致她重...
2024/08/19 09:48
最新圖輯
更多
劉書宏專訪
袁澧林、陳孝萱專訪
第36屆金曲獎星光大道
第36屆金曲獎得獎圖輯
NMIXX林口體育館粉絲演唱會
KISS OF LIFE台北演唱會
林芯儀專訪
GYUBIN大巨蛋開球
陳謙文專訪
孫麥傑專訪
今日頭條
1
海鷗颱風生成 影響台灣?氣象局給答案了
2
國民黨全代會留大禮 成功高中驚見整桶菸
3
岡山晚會湧3萬人!林岱樺淚求鄉親討公道
4
全國養豬場全陰性!11/7有望解禁宰令
5
林信義與貝森特會晤 聚焦高科技聚落發展
6
新/台師大撤銷周台英博士學位
7
范姜再開戰控粿粿說謊 怒嗆:留點口德吧
8
50多刀砍死86歲母親 彰化逆子收押
9
GD自爆感情狀態 親揭BIGBANG回歸計畫
10
新制上路!想在台定居「須放棄中國護照」
HOT焦點
更多
電商界年度盛事 蝦皮金選獎頒發46個獎項
外送專法受矚 三大平台籲政府加強溝通
有酷澎WOW會員 毛孩照顧更輕鬆
頻道推薦
直播✦活動
三立新聞網
為了提供更好的閱讀內容,我們使用相關網站技術來改善使用者體驗,也尊重用戶的隱私權,特別提出聲明。
了解最新隱私權聲明
知道了