APP下載
活動
爆料
圖輯
AI爆報
追蹤新聞
3
台灣彩券開獎直播中
三立iNEWS新聞台線上直播
LIVE三立+24小時直播
即時
非洲豬瘟侵台
輝達進駐台北
新聞
熱門
政治
社會
娛樂
生活
新奇
健康
國際
兩岸
運動
財經
房產
旅遊
科技
汽車
遊戲
ESG
影音
總覽
政論
節目
熱搜
直播
iNEWS
專題
總覽
特企
專頁
大事件
彩券
專欄
民調
快訊
算力啟動多頭主升段來了 它3年報酬1.5倍
02:08
台中豬瘟場3度採陽 將採樣飼主家環境
01:21
輝達台灣總部落腳處 黃仁勳回應了
01:17
熱/結束光輝10月 資金轉向16檔題材曝
01:11
新/美股漲跌互見 Amazon、Twilio成亮點
01:07
AI還沒瘋才剛暖身 這檔將大啖投資商機!
00:58
個股/台達電法說會後 新目標價出爐
00:07
手殘按錯零股變1張 台積電一鍵爽賺65萬
23:58
萌娃萬聖節變裝王世堅!西裝、飄逸秀髮
23:57
救災便當吃掉「上億」?花蓮議會火藥味濃
23:50
獨/4位韓籍女神萬聖節變裝 她無人認出
23:50
粿粿范姜鬧婚變 超正前女友說話了
23:45
11月3星座迎財神 第一名加薪、中獎樣樣來
23:05
2700萬勞斯萊斯撞賓士 驚人維修費曝光
23:04
組發會涉死亡連署團滅 他籲鄭麗文做這事
23:03
黃仁勳炸雞外交 韓國雞肉概念股爆量漲停
23:00
亦敵亦友?南韓APEC小卡曝對台真心話
22:56
水逆衝擊!3星座恐「一路衰到年底」
22:46
「挺林岱樺」掀議論 王義川不出席造勢
22:42
韓國瑜、王世堅立院神對話 卓揆當場笑了
22:37
台灣彩券開獎直播中
20:31
維生素B群功效與補充全解析!
14:00
日本熱銷4億包!糖脂對策 隨餐1包纖維粉
12:00
酷澎雙11狂購祭 美國保健品限時五折
11:00
八里國際化成形!港灣特區陸海空黃金三角
11:00
13聖杯!桃園護國宮爐主淚:太子爺早暗示
19:40
首頁
關鍵字
彰基移植中心
彰基移植中心
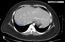
免驚!孝女捐70%肝救父 術後1個月全長回
彰化一名60歲的父親,因長期受C型肝炎與酒精性肝硬化...
2025/03/11 12:08
最新圖輯
更多
劉書宏專訪
袁澧林、陳孝萱專訪
第36屆金曲獎星光大道
第36屆金曲獎得獎圖輯
NMIXX林口體育館粉絲演唱會
KISS OF LIFE台北演唱會
林芯儀專訪
GYUBIN大巨蛋開球
陳謙文專訪
孫麥傑專訪
今日頭條
1
鄭麗文明就任藍黨魁 中共介選證據全曝光
2
和林信義見面 高市早苗喊:台灣總統府資政
3
送卓榮泰「望遠鏡+放大鏡」王世堅曝含意
4
總部卡關 黃仁勳親曝:大家都希望在台北
5
2700萬勞斯萊斯撞賓士 驚人維修費曝光
6
范姜3度發聲打臉王子說辭!4點律師聲明曝
7
全台最大黃牛夫妻又犯 夫聲押妻15萬交保
8
獨/清2次…豬瘟案場滿地糞便老鼠橫行
9
南市長民調!陳亭妃、林俊憲都領先謝龍介
10
GD登APEC晚宴獻唱!習近平竟甜笑狂點頭
HOT焦點
更多
酷澎雙11狂購祭 美國保健品限時五折
八里國際化成形!港灣特區陸海空黃金三角
13聖杯!桃園護國宮爐主淚:太子爺早暗示
頻道推薦
直播✦活動
三立新聞網
為了提供更好的閱讀內容,我們使用相關網站技術來改善使用者體驗,也尊重用戶的隱私權,特別提出聲明。
了解最新隱私權聲明
知道了