APP下載
活動
爆料
圖輯
AI爆報
追蹤新聞
3
台灣彩券開獎直播中
三立iNEWS新聞台線上直播
LIVE三立+24小時直播
即時
非洲豬瘟侵台
輝達進駐台北
新聞
熱門
政治
社會
娛樂
生活
新奇
健康
國際
兩岸
運動
財經
房產
旅遊
科技
汽車
遊戲
ESG
影音
總覽
政論
節目
熱搜
直播
iNEWS
專題
總覽
特企
專頁
大事件
彩券
專欄
民調
快訊
Kuga限時優惠 83.9萬開回家
00:30
粿粿家人洗白狂PO文 網抓包千元買網軍
00:14
獨/桃子應援籃球不矜持 她說自己壞掉了
23:58
APEC代表林信義 產業外交讓世界看見台灣
23:58
粿粿美國行機票誰買單?「家人」曝真相
23:46
10月台股飆漲2412點 這2檔助攻指數寫高
23:38
出戰打耳光賽!中國功夫大師3掌昏迷濺血
23:21
擁2100萬、月領5萬退休俸!他半年卻崩潰
23:15
外帶「牛肉堡」到影城遭拒 消保官說話了
23:05
卡尼為雷根廣告致歉 川普仍拒重啟談判
23:00
理想混蛋攻蛋「狂燒4250萬」雞丁可沛噴淚
22:52
AI耗電商機大!格斯科技切入儲能百億市場
22:47
「乖乖」限定新口味!2千人排隊搶翻
22:43
高院重審割國旗案 法官斥:呷碗內洗碗外
22:43
台師大撤銷周台英博士學位
22:31
上海迪士尼直飲台淪「洗屁區」:不敢喝了
22:28
現金入袋!野村00980A配息最後上車廣播
22:26
被川普逗樂!習近平「眼睛笑成一條線」
22:14
才奪金4個月!金曲歌王自爆「弄斷獎座」
22:13
10億投資不手軟!大聯大瞄準半導體後勤
22:06
台灣彩券開獎直播中
20:31
台灣大日月潭花火音樂會吸3.5萬人齊聚
22:00
外送專法受矚 三大平台籲政府加強溝通
14:00
有酷澎WOW會員 毛孩照顧更輕鬆
11:00
維生素B群功效與補充全解析!
14:00
日本熱銷4億包!糖脂對策 隨餐1包纖維粉
12:00
酷澎雙11狂購祭 美國保健品限時五折
11:00
八里國際化成形!港灣特區陸海空黃金三角
11:00
13聖杯!桃園護國宮爐主淚:太子爺早暗示
19:40
首頁
關鍵字
國泰綜合醫院
國泰綜合醫院
北市成功國宅火警!女無生命跡象送醫不治
台北市大安區成功國宅今(1)日凌晨發生火警。警消人員...
2024/12/01 07:47
汐止自小客違規左轉撞機車!騎士送醫不治
新北市汐止今(30)日凌晨發生一起死亡車禍。據了解,...
2024/06/30 05:46
男結紮當晚「做這事」…蛋蛋發黑腫6倍!
隨著社會風氣的轉變,不少新好男人願意為愛妻結紮,覺得...
2024/03/03 22:45
連假恐加深憂鬱 醫:可設人際界線等策略
今年中秋、雙十連假僅相差一週,無論是與家人相處時間增...
2023/09/30 16:02
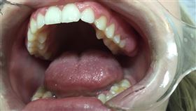
牙痛有時候不是牙在痛 竟是「索命急症」
心血管疾病高居國人10大死因第二名,其中惡名昭彰的「...
2023/08/28 09:21
小小年紀「菸酒嗓」 醫:1種可能是菜花
小孩子難免好動,叫、喊、跑、跳是家常便飯,偶爾玩到聲...
2023/06/02 17:37
肺癌用藥!醫:提高存活「這」檢測是關鍵
今年4月中旬衛福部「藥品供應通報處理中心」公布西藥短...
2023/05/31 14:18
心臟病不敢開刀 體外震波治療為藥物助攻
氣溫驟降造成眾多心血管病患緊張,擔心血管過度收縮造成...
2023/02/23 08:34
國泰醫院獲醫策會標章認證 賴清德親頒獎
國泰綜合醫院近年積極推動數位轉型,囊括病人、醫護及行...
2023/01/13 16:25
醫療展今登場!各醫院AI走向加速領域整合
2022台灣醫療科技展今(1)日起一連四天盛大開幕,...
2022/12/01 21:04
助友邦巴拉圭提升醫療 國泰醫院獲獎
ESG永續發展議題近年來備受關注,國泰綜合醫院今年參...
2022/08/22 13:27
快篩陽=確診上路 新光醫改下午預約
指揮中心昨宣布「居家隔離、自主防疫及居家檢疫期間快篩...
2022/05/12 10:11
心臟衰竭可抽血檢查 認識「BNP」
當心臟衰竭發展或惡化時,BNP和NT-pro-BNP...
2021/11/05 15:05
怕痛拒手術 多模式止痛控制術後疼痛
27歲小凱(化名)目前在百大企業擔任資安工程師,由於...
2021/09/10 09:40
乾癬性關節炎病友及早施打新冠疫苗
關節疼痛並非肌肉傷害?紅腫痛恐罹患乾癬性關節炎而不自...
2021/07/20 10:00
疫情期間乾癬如何控制?
疫情期間乾癬如何控制?義大醫院皮膚科主任劉懿珊表示,...
2021/07/12 09:40
神經也發炎?CIDP久病不治恐失能
傷口發炎很常見,但你聽過神經發炎嗎?慢性炎症性脫髓鞘...
2021/02/26 09:40
新/國泰醫院:21日起調整探病時段
鑒於國內醫護人員確診,爆發院內感染,多家醫院接連實施...
2021/01/19 17:59
真高齡產婦!六旬婦求子多年終順產
自體免疫疾病女性比例高? 女性荷爾蒙有影響自體免疫疾...
2020/12/31 10:40
乾眼症竟與外食有關!她因此角膜破皮
眾所周知,長時間使用3C產品容易導致乾眼症,但您知道...
2020/10/19 11:36
藥效8小時 不要聽成「要笑8小時」
一名阿伯在看完醫師門診準備領藥時,藥師對阿伯說:「藥...
2020/09/30 17:11
防疫聞咳色變 男子氣喘復發錯認武肺
國內新冠肺炎疫情雖進入後防疫時代,但多數人仍「聞咳色...
2020/09/24 09:40
戴香包開始抓不停?醫:恐這症頭發作
端午節到了,大街小巷開始出現兜售各種造型香包的小販,...
2020/06/25 18:00
腸胃不適月達12次 勿輕忽卵巢癌
最近常腹脹、消化不良且食慾不佳,卻又突然「變胖」,小...
2020/02/14 08:00
新型製劑 助異位性皮膚炎患者好眠
十九歲的李姓大學生,從小深受異位性皮膚炎困擾,全身乾...
2020/01/16 09:45
頭暈、吃2年藥沒用 結果竟是狹心症
一位70歲老太太,2年前起有頭暈症狀,至他院耳鼻喉科...
2019/11/10 09:14
躁鬱者情緒如雲霄飛車 醫:盡早治療
雙相情緒障礙症就是俗稱的「躁鬱症」,根據統計,躁鬱症...
2019/08/26 08:00
必學筋鬆選三祕技 狠甩春節掃除陰影
年節除舊歲,家家戶戶準備進行年末大掃除,國泰綜合醫院...
2019/01/15 17:54
以為只是更年期 她卵巢腫瘤竟大如柚
一名63歲的盧媽媽,在17年前隱約感到身體不對勁,腹...
2018/09/25 13:00
尿尿熱熱刺刺的?這篇妳一定要看!
在腎臟科的診間,常常遇到女性個案問:「護理師啊~醫師...
2018/04/24 08:53
最新圖輯
更多
劉書宏專訪
袁澧林、陳孝萱專訪
第36屆金曲獎星光大道
第36屆金曲獎得獎圖輯
NMIXX林口體育館粉絲演唱會
KISS OF LIFE台北演唱會
林芯儀專訪
GYUBIN大巨蛋開球
陳謙文專訪
孫麥傑專訪
今日頭條
1
APEC代表林信義 產業外交讓世界看見台灣
2
海鷗颱風生成 影響台灣?氣象局給答案了
3
岡山晚會湧3萬人!林岱樺淚求鄉親討公道
4
國民黨全代會留大禮 成功高中驚見整桶菸
5
范姜再開戰控粿粿說謊 怒嗆:留點口德吧
6
台師大撤銷周台英博士學位
7
全國養豬場全陰性!11/7有望解禁宰令
8
50多刀砍死86歲母親 彰化逆子收押
9
新制上路!想在台定居「須放棄中國護照」
10
GD自爆感情狀態 親揭BIGBANG回歸計畫
HOT焦點
更多
台灣大日月潭花火音樂會吸3.5萬人齊聚
維生素B群功效與補充全解析!
轉大人文化節 提倡全齡健康管理從小做起
頻道推薦
直播✦活動
三立新聞網
為了提供更好的閱讀內容,我們使用相關網站技術來改善使用者體驗,也尊重用戶的隱私權,特別提出聲明。
了解最新隱私權聲明
知道了