APP下載
活動
爆料
圖輯
AI爆報
追蹤新聞
6
綠六都議員初選登記D3
新北市長選戰 黃國昌政見會
卓榮泰出席成果發表會開幕
台灣彩券開獎直播中
三立iNEWS新聞台線上直播
LIVE三立+24小時直播
即時
袁惟仁逝世
富豪淫魔揭密
新聞
熱門
政治
社會
娛樂
生活
新奇
健康
國際
兩岸
運動
財經
房產
旅遊
科技
汽車
遊戲
ESG
影音
總覽
政論
節目
熱搜
直播
iNEWS
專題
總覽
特企
專頁
大事件
彩券
專欄
民調
快訊
櫃買中心、台智雲、PwC 打造AI新創動能
10:00
正26年式抵台 馬自達購車優惠一次看
10:00
高鐵神速車「不停1縣市」南港到台南83分
09:59
23元發票中1000萬!「2大通路」狂開大獎
09:57
睡完少女又在臀部刻字 阿兵哥下場曝
09:57
過年採買注意!食安違規:蔬果、泡菜上榜
09:56
開20多槍掃射茶行!17歲少年送觀護所收容
09:53
他看李貞秀爭議:民眾黨根本就法律文革團
09:52
尾牙吃麥當勞 老闆突送超狂大禮驚呆員工
09:52
節目轟汪小菲家族 張蘭放話喊告
09:49
台中少年開槍掃射!當地人曝:茶行怪怪的
09:47
川普認外星人存在?導演爆演說稿已備妥
09:46
下週三送神日 廖大乙:做1事好運旺整年
09:40
公牛積極交易動作 力求擺脫中段班
09:40
台股封關前最後提示 3大關鍵日首曝光!
09:39
美逼伊朗核談判 川普前顧問批浪費氧氣
09:38
4大超商「奶昔買1送1、咖啡14杯688元」!
09:34
澳洲拒允諾協防台海!美報告擬拒賣核潛艦
09:31
館長嗆藍「把自己打死」:綠2026要贏了
09:19
心疼DJ SODA外貌被羞辱 台人1暖舉逼哭她
09:19
台灣彩券開獎直播中
20:31
新北市長選戰 黃國昌政見會
09:30
卓榮泰出席成果發表會開幕
09:30
綠六都議員初選登記D3
09:54
瑞士製造「三冠王」陪台灣隊征戰馬特洪峰
12:00
西湖渡假村恐龍特展!12歲以下免費入場
11:00
愛閃耀iShine千人尾牙!宣告前進中東市場
18:00
線上補貨依賴度高 酷澎強化清潔品牌合作
17:00
鎂光燈「嬌」點!SHUHUA分享日常保養秘訣
12:00
主動ETF最速傳說-專家點出00991A爆紅關鍵
12:00
首頁
關鍵字
頭頸分離
頭頸分離
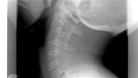
6旬翁「頭頸分離」命危!醫1招奇蹟保命
奇蹟!日前在中國廣州有一名阿伯因為發生意外,導致頭頸...
2025/12/22 08:28
最新圖輯
更多
羅志祥30周年演唱會
凱琳專訪
黃鐙輝、吳念軒、黃騰浩專訪
第62屆金馬獎得獎後台
第62屆金馬獎紅毯
劉書宏專訪
袁澧林、陳孝萱專訪
第36屆金曲獎星光大道
第36屆金曲獎得獎圖輯
NMIXX林口體育館粉絲演唱會
今日頭條
1
李貞秀未棄中國籍!藍白恐流失這關鍵選票
2
大葉高島屋傳墜樓 女子重摔路面當場死亡
3
教召今年起全改14天 下基地延長至10天9夜
4
魏哲家出神招!高市早苗瞬間驚掉下巴
5
命理師曝「大S沒離開具俊曄」成陰陽夫妻
6
獨/飯店限用備品 奧客報復性擠光沐浴乳
7
館長嗆藍「把自己打死」:綠2026要贏了
8
唐治平不認愛!女友曝「遭施暴壓5小時」
9
102歲人瑞突娶68歲看護遭疑!他逆風揭1事
10
獨/爆罹失智症 李亞萍入院健檢報告出爐
HOT焦點
更多
瑞士製造「三冠王」陪台灣隊征戰馬特洪峰
來桃園逛年貨大街!提供多元年節採買選擇
西湖渡假村恐龍特展!12歲以下免費入場
頻道推薦
直播✦活動
三立新聞網
為了提供更好的閱讀內容,我們使用相關網站技術來改善使用者體驗,也尊重用戶的隱私權,特別提出聲明。
了解最新隱私權聲明
知道了