APP下載
活動
爆料
圖輯
阿立導讀
追蹤新聞
4
顧立雄赴立院業務報告
台灣彩券開獎直播中
三立iNEWS新聞台線上直播
LIVE三立+24小時直播
即時
賴突破中國打壓
台北爆鼠患
新聞
熱門
政治
社會
娛樂
生活
新奇
健康
國際
兩岸
運動
財經
房產
旅遊
科技
汽車
遊戲
ESG永續
影音
總覽
政論
節目
熱搜
直播
iNEWS
專題
總覽
特企
專頁
大事件
彩券
專欄
民調
快訊
國民黨軍購金額喬不攏!侯友宜不忍了撂話
10:56
本土男星弟心臟驟停 裝葉克膜搶救病況曝
10:56
屋子差點燒了!「喵星人」誤觸1按鍵釀災
10:53
鹽酥雞10家砍到變4家 張文綺揭2關鍵主因
10:53
閃婚閃離又爆婚內出軌 25歲小昆凌回應了
10:53
聯發科遭列注意股 杜金龍神算曝關鍵點位
10:51
陳雪生為軍購嗆「退黨」 綠委酸:我不信
10:49
樂天女孩DoReMi主題日!禹菡變身小魔女
10:49
岡本和真第10轟來了 5月手感燙5場敲5轟
10:49
梅雨季來襲 醫:體內除濕失靈成慢病幫兇
10:48
果醋養生?這1款=喝含糖飲料 害血糖亂飆
10:47
媒體人曝藍黨中央軍購版本決策內幕:重傷
10:46
老鼠可鑽10元孔!防鼠3不、這5處快封堵
10:43
疑樹根病釀禍!台中二中3樓高老榕樹倒塌
10:38
藍缺席譴責中共協商!范雲:在害怕什麼?
10:37
南港聯結車迴轉撞機車 男騎士當場身亡
10:36
喊話黨團「別把我們賣了」 柯志恩這樣說
10:35
高鐵新會員優惠 首搭加碼送600點
10:32
陳天仁日尪告白:謝謝妳嫁我 絕美婚紗照曝
10:31
房仲子杰猝逝!過勞「12徵兆」你中幾項?
10:31
台灣彩券開獎直播中
20:31
顧立雄赴立院業務報告
08:30
逸硯空間設計年營收破3億 拚上市再掀話題
13:00
益生菌吃心酸?醫師點破「盲買迷思」
12:00
寵妻魔人用這台 幫老婆被動運動紓壓
14:00
裝潢資訊不透明引爭議 AI試算工具成趨勢
13:00
輝葉AI追夢椅精準按摩 小三都甘敗下風
20:00
遶境挑戰行動力!天地合補提供靈活補給
19:00
友華生技「愛斯康」成信眾最強健康後盾
12:00
高壓焦慮引發掉髮 醫師:及早介入可改善
16:00
落枕救星「PP石墨烯智能調節記憶枕」
15:00
年度電競盛事熱血回歸!即日起開放報名
19:00
花蓮復康免費搭乘 身障就醫行動無礙
12:00
台灣大哥大出優惠方案 實現Apple生態圈
12:00
首頁
關鍵字
打掃
打掃
旅館拒接這類人遭控歧視 房務揭噁心真相
隨著時代變遷,社會觀念逐漸開放,對於多元性別的接受度...
2026/04/08 13:20
浴室玻璃門水垢別硬刷!內行用2平價神物
浴室玻璃門的水垢令不少人感到頭痛,近日有網友分享,家...
2026/02/06 17:00
1清潔神物超好用!全聯認證:去汙還除臭
新的一年即將到來,不少家庭開始進行大掃除,全聯福利中...
2025/12/24 16:32
飯店11點退房挨轟不人道 房務曝辛酸內幕
出去玩最希望的就是可以在累了一天後,在飯店好好休息,...
2025/12/03 14:49
上班2小時月領33K 她1原因想離職網傻眼
現今經濟壓力龐大,加上美國總統川普揮出關稅大刀,導致...
2025/11/19 12:26
幾點後不能吸地?晚上8:30打掃竟遭報警
對許多朝九晚五的上班族來說,若不想把家事堆到週末,只...
2025/10/10 15:26
住飯店別亂掛「請打掃」吊牌!恐藏1危機
如果長時間住在同一間飯店,難免會有需要房務人員清理的...
2025/07/29 09:57
好市多神物限時折價 婆媽瘋搶:居家必備
美式賣場好市多(Costco)一向以高CP值的商品深...
2025/04/12 19:49
女星換保母檢查行李箱 網怒轟:不尊重人
中國模特兒張馨月擁有亮麗的外型,在2019年和富二代...
2025/03/20 14:03
家中3衛生死角!專家:每天摸卻很少清潔
即使每天勤勞打掃家中環境,仍可能存在一些髒汙死角,日...
2025/02/11 16:26
初六送窮!神出巡「必做1事」催旺整年
今年過年連假有9天,由於數字「6」代表吉利,也有不少...
2025/02/03 05:00
幫打掃「1人清5樓」煮20人餐 人妻1招反制
一名人妻抱怨,婆家每次過年大掃除,第一個想到的永遠是...
2025/01/30 16:31
初二15禁忌別犯 做1事恐讓娘家窮困整年
一年一度的過年假期到來,許多民眾都相當期待能和親朋好...
2025/01/30 05:47
年節打掃「過敏性鼻炎」搗亂 7招迎健康
新春快樂!隨著農曆新年到來,許多人正忙於大掃除、籌備...
2025/01/25 08:00
「居家8處」細菌重災區 蓮蓬頭比馬桶髒
新春將至,許多人開始進行一年一度的大掃除,但你知道家...
2025/01/24 20:03
小寒4禁忌2習俗曝 命理師:不宜掃落葉
明(5)日將迎來24節氣中的「小寒」,小寒的到來象徵...
2025/01/04 06:05
科技海綿別進廚房! 譚敦慈:用錯恐致癌
「科技海綿」是一種高效的清潔工具,不需額外添加洗劑,...
2024/11/08 19:07
掃地不專心!班導狂吼掀2派網友論戰
嘉義市大同國小某班級10日進行晨間打掃時,導師疑似因...
2024/09/11 09:17
女打掃週賺27萬 遺體躺床墊3個月也要清
英國一名女子靠著打掃維生,一週能賺進9千美元(換算約...
2024/08/22 22:00
廚餘桶翻落!警見駕駛1舉讚:少見老實人
一輛載運廚餘小貨車今(18)日行經名間鄉與竹山鎮交界...
2024/08/18 14:50
激勵獎金揪員工打掃 老闆娘祭12個月薪水
公司發獎金、給分紅犒賞員工是業界常見的鼓勵方式,日前...
2024/07/04 10:14
公司要求員工掃廁所!老鳥搶著做真相曝光
一名網友近日在網路上發文分享,自己的公司是家族企業,...
2024/07/01 05:13
漂白水洗浴室別用1物!譚敦慈揭可怕後果
每個人每天都會使用廁所,因此都會相當注重浴室的清潔衛...
2024/06/11 11:49
房東提「1打掃要求」 情侶嚇到退租慘了
許多人都有在外租屋的經驗,不過,不同的房東要求的事情...
2024/06/11 07:17
面試官要求上班提早10分鐘 見原因超錯愕
打掃時間不應該算在加班時間嗎?一名妹子分享她的面試經...
2024/06/01 06:25
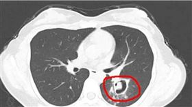
她肺部長「小樹芽」!醫化驗傻眼:發霉了
中國杭州1名王姓女子在1個月前,發現家具上發霉,便開...
2024/05/14 16:20
房間地板突現千顆黑珍珠 專家驚:快清掉
當奇怪的污漬或物體出現在家中時,常常讓人猜測它們到底...
2024/05/10 17:10
他要求幫女兒打掃房間!媳婦1句話絕了
不少女生結婚後,會與公婆同住。今(27)日,就有網友...
2024/02/27 18:25
大掃除「斷捨離」 心理諮商師傳授2秘訣
除舊佈新迎新年,丟棄個人物品可說是大掃除過程中的「大...
2024/02/08 12:16
春節大掃除小心!身體「3大傷害」一次看
今(8)日是小年夜,再過一天就要除夕並迎接農曆新年了...
2024/02/08 07:00
最新圖輯
更多
茉ひるMahiru專訪
簡莉紋專訪
大霈專訪
劉冠廷專訪
林予晞、王真琳專訪
李雪、陳昱廷專訪
初孟軒、鍾岳軒專訪
龍千玉與翁立友領豪記唱片群星拜年
Rain鄭智薰小巨蛋演唱會
金在中演唱會
今日頭條
1
媒體人曝藍黨中央軍購版本決策內幕:重傷
2
全台連4天毒駕奪多命!民眾連署法部發聲
3
若沈伯洋對決蔣萬安?網路投票結果超驚人
4
大安區也有肥鼠 彭啟明:鼠患非認知作戰
5
聯發科市值衝破5兆 謝金河讚:快超越高通
6
「泰市場」buffet害多人吐瀉!稽查畫面曝
7
川普又提台灣!嘆「突然冒出企業霸主」
8
梅雨鋒面救不到!南部2水庫告急僅剩12%
9
癌母淚崩:那不是詠心!譚艾珍曝修復狀態
10
富商舊愛成性侵犯 林依晨鬆口分手內幕
HOT焦點
更多
115全障運5月登場 亮哲號召網路傳聖火
首座雙側捷運開發 三峽站打造共構生活圈
益生菌吃心酸?醫師點破「盲買迷思」
頻道推薦
直播✦活動
三立新聞網
為了提供更好的閱讀內容,我們使用相關網站技術來改善使用者體驗,也尊重用戶的隱私權,特別提出聲明。
了解最新隱私權聲明
知道了