APP下載
活動
爆料
圖輯
AI爆報
追蹤新聞
4
劉世芳赴立院專題報告
台灣彩券開獎直播中
三立iNEWS新聞台線上直播
LIVE三立+24小時直播
即時
台美關稅15%
九合一點將
新聞
熱門
政治
社會
娛樂
生活
新奇
健康
國際
兩岸
運動
財經
房產
旅遊
科技
汽車
遊戲
ESG
影音
總覽
政論
節目
熱搜
直播
iNEWS
專題
總覽
特企
專頁
大事件
彩券
專欄
民調
快訊
「300萬買位」?劉品妡怒告加重誹謗
10:57
土耳其怎了?櫻桃產量雪崩7成慘烈原因曝
10:56
飯店萬能鑰匙外流 房間險遭闖入女嚇壞
10:55
劉和然:盼與李四川見面,2/17前決定人選
10:55
他逛全聯驚見2色王子麵 官方揭驚人真相
10:51
台灣232條款豁免 韓網轟:美國太不公平
10:49
張嘴「乳白顆粒」臭爆!台人1壞習慣害的
10:48
打到40歲就好 貝茲證實2032年在道奇退休
10:40
拿開山刀劈死雙親 逆子行兇後逃離畫面曝
10:38
中配關關遭廢止居留許可?劉世芳回應了
10:32
中配恩綺被趕回中國 當街直播遭公安帶走
10:31
鄭麗君談成關稅選北市?蔣萬安反應曝
10:30
抗癌連打8針!陳文茜靠冰淇淋撐過
10:29
新/高雄嚴重車禍!2人遭輾爆頭慘死
10:28
本週大寒!氣象署一圖曝溫度變化
10:26
川普為格陵蘭引爆貿易戰 黃金飆4670美元
10:25
傳統電鍋比電子鍋貴?網曝「1關鍵原因」
10:24
自稱福建省金門人挨轟!陳玉珍:心裡沈重
10:24
川普和平委員會永久席賣315億 加國:不買
10:22
峮峮請辭4年節目 實現隱藏心願哭到妝全花
10:22
台灣彩券開獎直播中
20:31
劉世芳赴立院專題報告
08:30
不只老年人!肌少症正年輕化
10:00
台新新光金控旺年會 逾1.8萬員工歷年新高
09:15
松山奉天宮攜手故宮 辦三官數位藝術特展
21:00
高雄漢來上海湯包 擄獲老饕胃
12:00
醒吾三立影視學院成果展 學員表現亮眼
20:00
這個品牌有夠猛!選「愛莉莎莎」當代言
18:30
星城Online玩創意!拍《戲說台灣》單元劇
12:00
2026開局君綺醫美強攻信義區!
11:00
凱基金控迎春公益市集 讓年味多一份善意
17:00
防身專家陳勇正多起公共事件受關注
16:00
別再死背英文!右腦圖像法15分鐘無痛學會
11:00
首頁
關鍵字
齒顎矯正
齒顎矯正
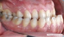
家長注意!孩有這「壞習慣」恐戽斗
牙齒排列不正,可能跟小時候的一些壞習慣有關!醫師表示...
2019/12/06 12:16
畢業生注意!別讓牙門面阻擋求職路
研究證明:擁有整齊牙列的人較容易獲得工作 隨著鳳凰...
2019/07/24 09:50
家長注意!小孩牙齒矯正黃金時期在這
您家的孩子需要矯正牙齒嗎?齒顎矯正專科醫師指出,牙齒...
2019/07/06 14:00
鼻塞影響齒顎發育 女童長期用嘴呼吸
一名8歲女童因上顎相對下顎大,在接受牙醫矯正過程中,...
2017/08/09 20:18
最新圖輯
更多
羅志祥30周年演唱會
凱琳專訪
黃鐙輝、吳念軒、黃騰浩專訪
第62屆金馬獎得獎後台
第62屆金馬獎紅毯
劉書宏專訪
袁澧林、陳孝萱專訪
第36屆金曲獎星光大道
第36屆金曲獎得獎圖輯
NMIXX林口體育館粉絲演唱會
今日頭條
1
拿開山刀劈死雙親 逆子行兇後逃離畫面曝
2
鄭麗君談成關稅選北市?蔣萬安反應曝
3
中配恩綺被趕回中國 當街直播遭公安帶走
4
賴清德:會繼續努力打拚,讓台灣持續前進
5
獨/狂人獵島1:川普搶!格陵蘭人:羞辱
6
中配怨「寫繁體字好煩」 劉世芳霸氣回應
7
連嗆蔣萬安國民黨 熟悉的柯文哲回來了?
8
路口閃逆向車!20歲男大生摔車腦部重創亡
9
強烈冷氣團又來了!最冷時刻曝光
10
台企對美投資2500億 已包含台積電1千億
HOT焦點
更多
台新新光金控旺年會 逾1.8萬員工歷年新高
松山奉天宮攜手故宮 辦三官數位藝術特展
高雄漢來上海湯包 擄獲老饕胃
頻道推薦
直播✦活動
三立新聞網
為了提供更好的閱讀內容,我們使用相關網站技術來改善使用者體驗,也尊重用戶的隱私權,特別提出聲明。
了解最新隱私權聲明
知道了