APP下載
活動
爆料
圖輯
AI爆報
追蹤新聞
5
總統賴清德赴警政署聽取報告
北捷丟煙霧彈 傷者最新狀況
台灣彩券開獎直播中
三立iNEWS新聞台線上直播
LIVE三立+24小時直播
即時
北捷隨機攻擊
財劃法不副署
新聞
熱門
政治
社會
娛樂
生活
新奇
健康
國際
兩岸
運動
財經
房產
旅遊
科技
汽車
遊戲
ESG
影音
總覽
政論
節目
熱搜
直播
iNEWS
專題
總覽
特企
專頁
大事件
彩券
專欄
民調
快訊
滿足AI與HPC需求 愛普科技擴大技術應用
11:39
海盜交易後DFA鄭宗哲 7天內將會決定動向
11:38
北捷無差別砍殺震驚 Ella、青峰合十沉默
11:36
艾普斯坦新曝檔未提川普 共和黨人也不信
11:35
錄到一半出事了 安心亞現場意外受傷濺血
11:34
張文「正面照」曝!高中同學:他內向孤僻
11:34
早就選定北車跟中山站 張文犯罪計畫曝光
11:31
山寨周杰倫開演唱會還接代言!杰威爾回應
11:30
申敏兒今嫁金宇彬「婚前暖捐3億」藏洋蔥
11:27
發文呼應北捷隨機殺人!陳其邁曝辦案進度
11:26
畏罪跳樓?誠品員工曝張文其實想逃逸
11:24
北捷攻擊4死!蔣:北捷給亡者5百萬賠償
11:24
北捷殺人網喊別去跨年 賈永婕公開發聲了
11:23
騎士生前「讓路給張文」 下秒卻遭他奪命
11:17
張文犯案路線曝光!殺人前「1行徑」超詭
11:16
北捷攻擊!蔣萬安:全副武裝、升級戒備
11:09
五月天阿信變長腿美男!合體F3風格大改變
11:08
苗栗耶誕演唱會倒數 人氣樂團驚喜開唱
11:08
玉山下雪了!未來一週天氣曝:出門得帶傘
11:07
藍白合推高虹安選新竹市?學者:99.9%
11:01
台灣彩券開獎直播中
20:31
北捷丟煙霧彈 傷者最新狀況
07:30
總統賴清德赴警政署聽取報告
09:22
深耕在地!PP石墨烯以實際行動應援台灣
16:00
謝宜容霸凌案促《職安法》增「霸凌專章」
14:00
「睡眠能量艙」為何越來越多人開始這樣睡
14:00
亞太首創!早期腎病年報看見台護腎領導力
13:00
秋冬穿出曲線小心機!「波波凍」無痛UP
12:00
桃合特區首案「佳陞豐禾」擁新站計畫利多
13:00
首頁
關鍵字
巴克球
巴克球
童洗澡洗到蜂窩性組織炎!4種玩具超危險
小朋友在成長過程中都會玩玩具,但有些玩具可能讓孩子置...
2025/04/13 14:55
1歲嬰腹脹狂吐 肚見「10恐怖白點」穿破腸
一名媽媽某日抱著1歲多的男嬰衝進兒童急診室,表示孩子...
2024/11/02 15:00
孩子誤吞鈕扣、硬幣如何處理?
孩子誤食鈕扣、硬幣等小型物件,第一時間的處置方式為何...
2024/07/18 14:08
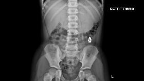
2歲童腹痛送醫!體內竟塞了「7顆巴克球」
一名2歲男童,因突然肚子劇痛送往輔大醫院急診室,沒想...
2023/06/07 10:50
驚!男童「吞61顆巴克球」腸道竟14處穿孔
孩童亂吞東西可能有生命危險,家長要多注意!近日中國一...
2023/01/26 16:45
女童肚子驚見「61顆白點」醫嘆一輩子毀了
俗稱「巴克球」的小型磁力珠在孩童之間流行,卻也發生多...
2023/01/25 10:27
男童嘔吐3天 腸子切開赫見熱門玩具
又有小朋友誤食熱門玩具「巴克球」,中部一名1歲多男童...
2022/07/29 11:28
2歲童狂吐!照X光嚇:10恐怖白點
父母要隨時注意小孩的玩具!一名2歲男童在3天內瘋狂嘔...
2022/04/11 19:08
3歲童腹部見9個小白點 醫:破裂了
國內外發生多起孩童誤吞巴克球,造成腸道壞死的案例;一...
2021/01/09 18:13
滑倒就醫 驚見5顆「白亮球形異物」
現任中山醫學大學附設醫院兒童急診科主任的謝宗學,今日...
2020/09/14 13:54
兒科醫發反業配文:買這玩具後悔一生
爸媽注意!買玩具給小朋友玩的時候,真的要多留意,專業...
2020/05/11 16:07
拿53顆磁珠塞尿道!男童爆血急求救
玩玩具要小心!中國湖北省武漢市一名男童日前覺得好奇,...
2019/11/17 08:20
男童誤吞61顆磁球 腸道中串成項鍊
大陸黑龍江哈爾濱日前發生兒童誤食事件!一名6歲男童誤...
2019/08/17 18:00
新北玩具大抽查 竟高達25%不合格
近年新興玩具出現不少安全疑慮,例如「巴克球」或「魔幻...
2019/05/21 13:43
童70顆磁珠塞下體 醫嚇傻幫拉出來
孩子們對這世界充滿好奇,總會做出不同探索,但亂塞東西...
2019/03/27 08:07
童腹痛難受 竟是誤吞18顆磁珠惹禍
1歲紀姓女童因肚子痛又出現疑似腸病毒的症狀,到醫院就...
2018/07/12 13:25
男童嘴含巴克球誤吞 醫師:恐敗血症
「巴克球」是由一粒粒磁珠組成,具有強力磁性,可以變換...
2018/05/06 20:51
9歲童吞7顆巴克球 卡腸穿孔險致命
高雄一名9歲男童因為誤吞了七顆有強力磁性的巴克球,結...
2017/11/23 14:29
最新圖輯
更多
第62屆金馬獎得獎後台
第62屆金馬獎紅毯
劉書宏專訪
袁澧林、陳孝萱專訪
第36屆金曲獎星光大道
第36屆金曲獎得獎圖輯
NMIXX林口體育館粉絲演唱會
KISS OF LIFE台北演唱會
林芯儀專訪
GYUBIN大巨蛋開球
今日頭條
1
發文呼應北捷隨機殺人!陳其邁曝辦案進度
2
北捷攻擊4死!蔣:北捷給亡者5百萬賠償
3
張文「正面照」曝!高中同學:他內向孤僻
4
他揭「彈劾總統網站」後台:可手動改人數
5
早就選定北車跟中山站 張文犯罪計畫曝光
6
北捷殺人網喊別去跨年 賈永婕公開發聲了
7
北捷恐攻!老闆霸氣喊:搭計程車錢算我的
8
申敏兒今嫁金宇彬「婚前暖捐3億」藏洋蔥
9
玉山下雪了!未來一週天氣曝:出門得帶傘
10
艾普斯坦新曝檔未提川普 共和黨人也不信
HOT焦點
更多
深耕在地!PP石墨烯以實際行動應援台灣
亞太首創!早期腎病年報看見台護腎領導力
秋冬穿出曲線小心機!「波波凍」無痛UP
頻道推薦
直播✦活動
三立新聞網
為了提供更好的閱讀內容,我們使用相關網站技術來改善使用者體驗,也尊重用戶的隱私權,特別提出聲明。
了解最新隱私權聲明
知道了