APP下載
活動
爆料
圖輯
AI爆報
追蹤新聞
5
台中豬瘟 卓榮泰主持應變會議
坤達涉閃兵案返台遭警拘提
台灣彩券開獎直播中
三立iNEWS新聞台線上直播
LIVE三立+24小時直播
即時
非洲豬瘟侵台
藝人閃兵案擴大
新聞
熱門
政治
社會
娛樂
生活
新奇
健康
國際
兩岸
運動
財經
房產
旅遊
科技
汽車
遊戲
ESG
影音
總覽
政論
節目
熱搜
直播
iNEWS
專題
總覽
特企
專頁
大事件
彩券
專欄
民調
快訊
非洲豬瘟讓家長陷恐慌 國教署出面說明
14:23
獨/非洲豬瘟死灰復燃 他2018年就預言
14:23
體操世錦賽台灣竟全軍覆沒!教練爆沒主帥
14:21
「非洲豬瘟」破功吃肉會出事?醫師這麼說
14:20
鄭麗文首波人事!李乾龍任秘書長兼副主席
14:20
費玉清18歲提前當兵 恆述法師曝關鍵主因
14:18
藝人閃兵遭上銬!律師喊有必要嗎?網狂酸
14:14
權力板塊重組!三大金融巨頭換將登場
14:14
旅遊地雷出爐 這國成不二訪冠軍驚呆眾人
14:13
苗栗中年男離奇倒臥路旁!緊急送醫不治
14:10
坤達閃兵被逮 「最帥檢察官」入鏡網暈了
14:09
修杰楷才問唐綺陽運勢 分析:危機變轉機
14:08
斷供!彰化阿璋肉圓阿泉爌肉飯:售完即休
14:06
爆非洲豬瘟「全台改吃冷凍肉」庫存量揭曉
14:04
非洲豬瘟疑入侵台灣 林岱樺提三點建議
14:04
豬肉能安心買?全聯、家樂福、愛買急回應
14:03
一起守護台灣豬!賴清德公布5防疫措施
13:57
台積壓盤大盤跌103點 被動元件、BBU撐盤
13:52
遭川普當面嗆不喜歡 澳總理力挺駐美大使
13:52
美國運通推好康 日常支付也能賺優惠
13:50
台灣彩券開獎直播中
20:31
台彩中秋加碼總獎金達4.5億
12:00
大樂透加碼100組100萬元
12:00
坤達涉閃兵案返台遭警拘提
09:24
台中豬瘟 卓榮泰主持應變會議
14:00
關節修復陷入停滯?可能是它「被關掉」了
14:00
獨/加熱菸傳貼標再上架 民團批菸商犯3錯
12:03
威力先進履創佳績 勇奪國家品牌玉山獎
12:00
2025TTXC INNOVATIONS 現文策院扶植成果
12:00
百味人生都用 台灣第一家合法人類外泌體
11:00
《Kiss & Cry》打造如夢似幻的記憶旅程
10:30
2025 TTXC INNOVATIONS 登場!
21:00
音樂祭+Showcase 浪人祭加大海外行銷力道
21:00
BLACKPINK穿台灣女鞋品牌「D+AF」登台
16:00
不藏了!電購一姐斯容公開「貼身愛人」
14:00
熱情不減!信眾冒雨桃園護國宮太子夜巡
12:00
首頁
關鍵字
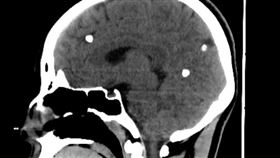
腦囊蟲
腦囊蟲
愛吃生魚片「寄生蟲入腦」驚人照片曝
福建一名貨車司機蘆先生,3年前因為癲癇反覆發作就醫,...
2021/07/05 08:26
男吃半生豬肉 腦袋與肌肉竟長滿蟲子
提醒民眾,飲食要注意衛生,以免傷心又傷身!在大陸廣東...
2018/04/18 13:05
男頭痛嘔吐 驚見寄生蟲覆蓋大腦神經
中國大陸貴州醫科大學附區醫院日前有一名46歲男病人,...
2018/03/07 11:12
最新圖輯
更多
劉書宏專訪
袁澧林、陳孝萱專訪
第36屆金曲獎星光大道
第36屆金曲獎得獎圖輯
NMIXX林口體育館粉絲演唱會
KISS OF LIFE台北演唱會
林芯儀專訪
GYUBIN大巨蛋開球
陳謙文專訪
孫麥傑專訪
今日頭條
1
斷供!彰化阿璋肉圓阿泉爌肉飯:售完即休
2
新/50萬交保 坤達:讓很多人對我失望
3
豬肉能安心買?全聯、家樂福、愛買急回應
4
獨/坤達恐停工 吳宗憲曝玩很大接棒人選
5
北市堤頂大道二段車禍!乘客噴出車外重傷
6
新壽急召臨董會 輝達總部落腳處今拍板?
7
體操世錦賽台灣竟全軍覆沒!教練爆沒主帥
8
獨/「閃兵案」防洩密 5檢隨案進行拘提
9
排球王子雙劈女優網紅過夜 網全傻眼開轟
10
非洲豬瘟現蹤 養豬大戶台糖祭10大措施
HOT焦點
更多
2025TTXC INNOVATIONS 現文策院扶植成果
百味人生都用 台灣第一家合法人類外泌體
關節修復陷入停滯?可能是它「被關掉」了
頻道推薦
直播✦活動
三立新聞網
為了提供更好的閱讀內容,我們使用相關網站技術來改善使用者體驗,也尊重用戶的隱私權,特別提出聲明。
了解最新隱私權聲明
知道了