APP下載
活動
爆料
圖輯
AI爆報
追蹤新聞
4
賴清德拒出席彈劾審查會
台灣彩券開獎直播中
三立iNEWS新聞台線上直播
LIVE三立+24小時直播
即時
赤手獨攀101
台美關稅15%
新聞
熱門
政治
社會
娛樂
生活
新奇
健康
國際
兩岸
運動
財經
房產
旅遊
科技
汽車
遊戲
ESG
影音
總覽
政論
節目
熱搜
直播
iNEWS
專題
總覽
特企
專頁
大事件
彩券
專欄
民調
快訊
脫衣毆打餵屎尿虐死12歲繼女!繼母遭處決
08:37
今年12生肖感情!生肖桃花運旺爆:快結婚
08:36
詹能傑將面罩給她用…童子瑋:願逝者安息
08:32
獨/出道6年職災 啦啦隊斐棋1部位出狀況
08:31
黃仁勳罕吐9歲遭霸凌 母親展驚人意志力
08:28
新/基隆惡火2死!小隊長殉職…她也罹難
08:20
獨/過夜大9歲男星 啦啦隊女神突認分手
08:19
獨/全裸尺度照外流 啦啦隊斐棋公開認了
08:10
才說讓他留台灣集訓 大都會DFA鄭宗哲!
08:07
三上悠亞應援走光!遭邪惡視角偷拍被外流
08:07
看似清爽竟是糖王!3早餐地雷害血糖狂飆
08:00
川普:普丁接受邀請 同意加入和平理事會
07:58
啃老子37刀狠殺雙親!廢死聯盟發文遭灌爆
07:53
退圈2年轉戰中國 男星揭潛規則三觀全毀
07:53
獨/《戲說》女歌手遭性騷!崩潰求助精神科
07:50
冷氣團強勢進攻 粉專示警:一路向南橫掃
07:46
正面照曝!消防小隊長三進火場…救人殉職
07:40
律師揪陳佩琪2罪證驚:要把老公送牢裡?
07:26
徐亨找到工作「邊做邊抵債」還款計劃曝光
07:20
狼師拍少女更衣 數十段私密片打包賣2萬
07:08
台灣彩券開獎直播中
20:31
賴清德拒出席彈劾審查會
08:30
近50年經典不敗!愛妮雅絲瓜露榮獲玉山獎
16:00
寒冬送暖!郭子乾伴獨居長者圍爐、大掃除
14:00
工作忙到炸!《請世界吃桌》靠它被療癒
18:30
「腕」救健康!別輕忽手腕痠痛
12:30
科技大學城高大特區 成台積電首選生活圈
11:00
JINS創辦人登BRUTUS特輯!首度跨界對談
18:30
松山奉天宮攜手故宮 辦三官數位藝術特展
21:00
首頁
關鍵字
畸形
畸形
27歲健身教練精子畸形率破九成!醫:常態
「精子畸形率超過九成、前向運動精子比例不足三成。」大...
2026/01/06 16:22
印度婦產下「2臉、8手腳」嬰!5小時夭折
印度北方邦(Uttar Pradesh)一名38歲婦...
2024/07/25 09:41
女星腳趾被笑像ET 網反讚:足控最頂!
女星葉羿君長相甜美還有一雙纖細的大長腿,且常透過社群...
2023/08/13 17:19
團購割包皮詐保 家暴男生殖器變形還早洩
「歹鑼累鼓,歹尪累某」有名女網友抱怨,她男友明明很正...
2023/05/03 16:03
天生的「4耳小貓」 照片曝光融化網
土耳其一隻俄羅斯藍貓近日在網路上爆紅,這是因為牠天生...
2021/11/16 13:14
罕病嬰頭部畸形 狠父棄母子喊:殺掉
盧安達發生一起親情悲劇,當地婦女芭耶內莎‧麗柏拉塔(...
2021/08/28 11:47
詭異「人面羊」降生!村民驚呼是祖先
超詭異!印度西部城市古吉拉特邦(Gujarat)一座...
2021/04/10 17:57
器官擠3歲身體 罕病兒:痛讓我活著
高雄市登發國小6年級的學童孫翊倫,從小罹患不知名罕見...
2021/03/30 16:51
公公逼生畸形胎 她見「雙頭嬰」哭了
中亞國家烏茲別克一名婦女,在懷胎21周時,就被醫師告...
2020/12/19 20:17
畸形羊眼睛長嘴巴 印度人:上帝奇蹟
印度最近有頭山羊,一出生就沒有鼻子,更奇怪的是,它的...
2020/08/08 18:05
婆家逼生畸形胎…她見「雙頭嬰」崩潰
中亞國家烏茲別克一名婦女近日產出了「雙頭嬰」!女子表...
2020/07/03 10:32
外星來的生物?驚見7條腿8隻蹄小羊
通常一隻正常的羊只會有4條腿,腿上分別各有一隻蹄,但...
2020/06/21 06:00
有圖有真相!7條腿8隻蹄小羊出生了
通常一隻正常的羊只會有4條腿,腿上分別各有一隻蹄,但...
2020/06/17 00:00
1歲女嬰乳房竟發育 醫:這奶粉別喝
大陸「毒奶粉」事件頻傳,5月才爆出有幼童飲用配方奶粉...
2020/06/04 23:07
19世紀詭異真人秀 靠身體缺陷發財
在19世紀的年代,人們娛樂消遣跟現代非常不同,當時最...
2020/05/14 23:30
他驚「吃到脊椎側彎的魚」 網揭原因
在餐桌上經常能看到魚類料理,但有看過骨頭歪曲的魚嗎?...
2020/05/10 15:08
買到畸形種香蕉 網:芒果投錯胎?
香蕉,不但有效防止高血壓,還能幫助消化,是許多民眾愛...
2020/02/28 17:39
畸形羊長詭異人臉 在地村民把牠當神
由人類飼養的牲畜,最後幾乎不脫成為食物的命運,日前,...
2020/01/23 16:53
女嬰天生「龍蝦爪」 夢想穿鞋那一天
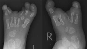
廣東深圳一名11個月大的女嬰,因為出生就患有先天性裂...
2020/01/18 14:16
日本天皇近親結婚為何後代都很健康?
日本人稱他們的皇室「萬世一系」,從他們傳說中的神武天...
2019/12/29 00:10
醫預告生雙胞胎!嬰出生竟長2頭3臂
每個孩子出生後都是父母的心肝寶貝,總是希望能給孩子們...
2019/11/28 08:04
男嬰眼凸、無耳鼻 外星模樣嚇壞眾人
印度一名媽媽日前歡喜產下一名新生兒,沒想到卻驚見男嬰...
2019/10/27 20:35
超音波看不清楚…婦驚產「無臉嬰」
葡萄牙里斯本日前發生一起嚴重的醫療疏失,一名婦女辛苦...
2019/10/24 15:45
8手腳2軀幹…連體嬰出生1天慘夭折
來不及長大…印度東北部比哈爾邦(Bihar)日前驚傳...
2019/10/20 15:55
嬰長「3腿2陰莖」醫嚇:他還沒肛門
每個小嬰兒都是媽媽懷胎10月辛苦生下來的,即便寶寶生...
2019/10/14 22:46
媽媽辛苦生產…女嬰竟長出「蛙眼」
日前印度出現一個半頭寶寶,在母親辛苦產下後便成為話題...
2019/10/10 10:05
6年做25次手術 罕病姊苦等妹出生
親子、手足的關係,是家庭裡最溫暖的連結,英國有一名患...
2019/10/09 08:28
主人不離不棄 後腿畸形貓生命不受限
兩歲小貓Noodles和主人Sarah一同居住在美國...
2019/09/30 08:16
她天生擁漏斗頭 幼稚園拒收父母心碎
俄羅斯一名女孩出生後,因天生頭骨畸形且手指與腳趾黏在...
2019/09/26 14:29
母一眼告別遺體…畸形兒突復活大哭
已經確認要放棄胎兒,但父母又被突如其來的哭聲給嚇壞了...
2019/09/16 22:25
最新圖輯
更多
羅志祥30周年演唱會
凱琳專訪
黃鐙輝、吳念軒、黃騰浩專訪
第62屆金馬獎得獎後台
第62屆金馬獎紅毯
劉書宏專訪
袁澧林、陳孝萱專訪
第36屆金曲獎星光大道
第36屆金曲獎得獎圖輯
NMIXX林口體育館粉絲演唱會
今日頭條
1
新/基隆惡火2死!小隊長殉職…她也罹難
2
新/談妥了?格陵蘭協議框架成立暫撤關稅
3
邀戰卓榮泰電視辯論 他曝黃國昌如意算盤
4
冷氣團強勢進攻 粉專示警:一路向南橫掃
5
黃仁勳罕吐9歲遭霸凌 母親展驚人意志力
6
徐亨找到工作「邊做邊抵債」還款計劃曝光
7
三上悠亞應援走光!遭邪惡視角偷拍被外流
8
律師揪陳佩琪2罪證驚:要把老公送牢裡?
9
揭秘!中共如何阻止龐培歐訪台灣企業
10
川普達格陵蘭協議框架!道瓊大漲近600點
HOT焦點
更多
WE ARE我們的除夕豪華陣容 陪觀眾迎新年
工作忙到炸!《請世界吃桌》靠它被療癒
科技大學城高大特區 成台積電首選生活圈
頻道推薦
直播✦活動
三立新聞網
為了提供更好的閱讀內容,我們使用相關網站技術來改善使用者體驗,也尊重用戶的隱私權,特別提出聲明。
了解最新隱私權聲明
知道了