APP下載
活動
爆料
圖輯
AI爆報
追蹤新聞
5
賴清德出席臺灣客家山歌比賽
蕭美琴出席兒少運動員保護營
台灣彩券開獎直播中
三立iNEWS新聞台線上直播
LIVE三立+24小時直播
即時
WBC經典賽
美以突襲伊朗
新聞
熱門
政治
社會
娛樂
生活
新奇
健康
國際
兩岸
運動
財經
房產
旅遊
科技
汽車
遊戲
ESG
影音
總覽
政論
節目
熱搜
直播
iNEWS
專題
總覽
特企
專頁
大事件
彩券
專欄
民調
快訊
2大電商38女神節「撒券38折、免費咖啡」
10:19
美福特號殺入戰場 伊機場遭轟恐怖畫面曝
10:17
人氣男團震撼合體 全員西裝出席婚禮
10:17
綠「扶君計畫」!傳鄭麗君選北市機率增
10:12
全台冷翻苗栗僅11.3度!比迎風面冷原因曝
10:09
Momo戀希澈1年半收場 分手原因曝光
10:09
狗狗竄車陣!雙載機車閃避不及輾過1死2傷
10:08
WBC台日大戰星光炸裂 大咖影帝突現身
10:07
裸腳飄酸味…老翁一聞心死!女車手長相曝
10:03
台中補助加碼 油電機車省很大
10:00
綠北市誰當母雞?段宜康:理想人選有任務
09:55
韓對日先發是他!棒球迷驚:要全力抓台灣
09:51
獨/搶當蜈蚣陣神童 條件12歲↓35公斤內
09:50
台灣隊0:13落敗!盧學叡:他們依然是英雄
09:48
工作10多年沒性生活!他一退休竟「停機」
09:45
高層嗆同性戀不能主持 嘻小瓜被取消工作
09:45
遭違法強銬16小時 楊智惠求償500萬國賠
09:40
WBC/搶首勝!運彩1.08倍力挺台灣隊
09:40
川普喊伊朗海陸空軍和領導已消失:破滿分
09:35
為看「經典賽」買遙控器 無照小黃撞騎士
09:34
台灣彩券開獎直播中
20:31
蕭美琴出席兒少運動員保護營
09:15
賴清德出席臺灣客家山歌比賽
10:00
百億富四代「電影級」求婚!
18:30
完全營養早晚打底!挺台灣隊攻克聖稜線
11:00
員工訓練再升級!愛妮雅:謙卑改革
11:00
「台八男神」龍語申「肌」情預告!
17:00
純喫茶X《傳說對決》限時虛寶登場!
10:00
賓果賓果鬧元宵 大樂透、今彩539續加碼
12:00
開工打造好運勢 小人退散能量水晶迎貴人
12:00
祥獅獻瑞迎開工!愛妮雅集團新年藍圖首曝
17:00
瘦身急救章 一秒塑身穿上小號緊身洋裝
11:00
初九天公生 松山奉天宮備平安麵共享
16:00
捷運七張站走路2分鐘 友座明明德機能到位
15:00
開學換機酷澎火箭速配隔日到貨
10:00
企業暖心故事 一份工作撐起整個家
13:00
Xtars人氣直播主大揭密 鏡頭下的甘苦
13:00
土城永福岩清水祖師廟擲筊大賽 頭獎百萬
12:00
初一金山財神廟湧人潮 聯名蛋捲禮盒喜氣
11:00
「星城Online x戲說台灣」單元劇引爆話題
12:00
首頁
關鍵字
曼氏裂頭絛蟲
曼氏裂頭絛蟲
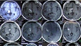
驚!女頭痛2年 開腦抓出27cm「活的」蟲
一位20歲女性,經常性頭疼、頭暈、嘔吐及肢體麻木,曾...
2023/08/25 12:46
男手腳癱13年 醫開腦活捉「牠」他能走了
大陸廣東廣州有名24歲男子小張(化名),在11歲時出...
2023/08/25 12:27
抓5隻青蛙生吞 浙江男發40度高燒
東西真的不能亂吃!中國浙江一名53歲的孫姓男子,誤信...
2021/06/15 17:03
20歲妹突半身麻痺!一看腦袋長蟲了
中國深圳一名20歲的葉姓女子,年紀輕輕近日卻突然出現...
2021/04/29 19:27
頭痛暈眩16年 男就醫發現恐怖真相
想補身卻傷身!位於大陸浙江省衢州,一位28歲的男子,...
2020/06/27 12:00
腦部遭「蟲入侵」!父後悔給兒亂補身
想補身卻傷身!位於大陸浙江省衢州,一位28歲的男子,...
2019/12/04 15:23
腦部遭「蟲入侵」!父後悔給兒亂補身
想補身卻傷身!位於大陸浙江省衢州,一位28歲的男子,...
2019/09/15 11:40
少女頭痛12年 就醫發現蟲爬腦內
頻頻頭痛要注意,很可能是腦內有寄生蟲入侵!大陸廣東廣...
2018/08/01 16:23
女常年喝「這水」!乳房取出3條活蟲
大陸湖北省咸寧市一名55歲的王姓婦人,發現右側乳房靠...
2018/06/19 18:30
男腦中揪出7公分「活蟲」!嚇壞醫師
大陸一名男子因平時飲用喝未煮沸的水、吃生肉,結果腦部...
2018/06/01 06:00
最新圖輯
更多
初孟軒、鍾岳軒專訪
龍千玉與翁立友領豪記唱片群星拜年
Rain鄭智薰小巨蛋演唱會
金在中演唱會
羅志祥30周年演唱會
凱琳專訪
黃鐙輝、吳念軒、黃騰浩專訪
第62屆金馬獎得獎後台
第62屆金馬獎紅毯
劉書宏專訪
今日頭條
1
台灣打線大風吹 費仔當DH、宋晟睿變先發
2
台灣晉級「4黃金劇本」 要宿敵韓國幫忙
3
川普喊伊朗海陸空軍和領導已消失:破滿分
4
台捷大戰11:00開打!運彩最新賠率一次看
5
資深高山協作墜谷亡…義勇特搜哀悼惹鼻酸
6
WBC對捷克沒有退路 曾總賽前盼棒棒開花
7
周杰倫新歌全家先聽 IG鬆口發布時間
8
台慘敗!球迷點名他全盛時期:能壓制日本
9
台中地震「震央在七期?」 在地人喊詭異
10
傳俄洩情資助伊朗攻擊美軍 白宮:不影響
HOT焦點
更多
企業暖心故事 一份工作撐起整個家
百億富四代「電影級」求婚!
與松山霞海城隍廟合作 推數位開運錢母
頻道推薦
直播✦活動
三立新聞網
為了提供更好的閱讀內容,我們使用相關網站技術來改善使用者體驗,也尊重用戶的隱私權,特別提出聲明。
了解最新隱私權聲明
知道了