APP下載
活動
爆料
圖輯
AI爆報
追蹤新聞
3
台灣彩券開獎直播中
三立iNEWS新聞台線上直播
LIVE三立+24小時直播
即時
台美關稅15%
九合一點將
新聞
熱門
政治
社會
娛樂
生活
新奇
健康
國際
兩岸
運動
財經
房產
旅遊
科技
汽車
遊戲
ESG
影音
總覽
政論
節目
熱搜
直播
iNEWS
專題
總覽
特企
專頁
大事件
彩券
專欄
民調
快訊
王鴻薇批關稅賣台!律師嗆:舔中內鬼崩潰
11:32
罔顧人命?鋼板懸空「頭皮發麻」市府說話
11:30
高市會見梅洛尼 日義升級特殊戰略夥伴
11:28
陳玉珍親中言論嚇壞美智庫 她轟:涉叛國罪
11:26
台有錢人多!「2產業撐富豪榜」專家憂1事
11:23
破解藍白掏空論 張惇涵:美光也沒變台光
11:23
A-Lin唱尾牙見員工寫成「A-Line」不忍了
11:22
大都會攔胡畢謝特 費城人錯愕留明星捕手
11:22
肯德基蛋撻有對手了!拿坡里賣到缺貨
11:21
台美關稅15%不疊加 網路投票結果驚人
11:18
認了後悔來節目 胡宇威曝主因反遭她開嗆
11:17
房子被盜賣?員林4千人收980萬交易簡訊
11:16
台中爆縱火!惡男「欠錢不還」又燒車洩憤
11:15
星國查電子煙不分學生或外籍 恐鞭刑入獄
11:12
不捨男友酒駕被法辦 她頂罪酒測值卻更高
11:09
Rosé爆同性戀與秀智放閃 她親吐1字回應
11:04
柬泰邊境現「KK園區2.0」戒備森嚴如監獄
11:03
失意女喝斷片遭已婚男侵犯…醒來下身全空
10:55
央視讚蔡依林巡演「融入中國文化」登熱搜
10:53
7旬嬤骨鬆肌少症纏身險癱!醫示警2大危機
10:50
台灣彩券開獎直播中
20:31
醒吾三立影視學院成果展 學員表現亮眼
20:00
這個品牌有夠猛!選「愛莉莎莎」當代言
18:30
星城Online玩創意!拍《戲說台灣》單元劇
12:00
2026開局君綺醫美強攻信義區!
11:00
凱基金控迎春公益市集 讓年味多一份善意
17:00
防身專家陳勇正多起公共事件受關注
16:00
別再死背英文!右腦圖像法15分鐘無痛學會
11:00
首頁
關鍵字
鏡面人
鏡面人
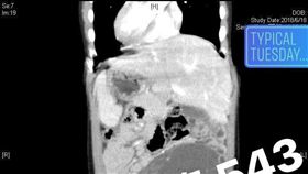
3歲女童內臟左右異位 醫驚見罕見鏡面人
彰化縣田中鎮一名3歲的吳姓女童,日前因罹患肺炎,發燒...
2024/09/26 17:49
獨/「鏡面人」心臟在右邊 醫:10年一遇
您聽過「鏡面人」嗎?他們外觀與一般人無異,內臟位置卻...
2023/01/17 13:20
8旬嬤腹痛就醫 發現竟是「鏡面人」
新竹一名80多歲阿嬤日前左上腹痛就醫,照臨床經驗判斷...
2022/01/03 09:53
女嬰肺炎送急診 驚見內臟如鏡面相反
中國大陸江蘇省揚州市有一名出生僅1個月的女嬰,因為肺...
2019/05/02 14:26
3歲童狂吐 竟是內臟顛倒「鏡面人」
你知道世界上有「鏡面人」嗎?一般人的內臟都有固定的位...
2018/07/04 20:05
百萬分之一機率 她五臟六腑全長反!
大陸一名女子到廣東東莞厚街醫院就醫,檢查結果卻讓醫師...
2018/06/11 22:50
最新圖輯
更多
羅志祥30周年演唱會
凱琳專訪
黃鐙輝、吳念軒、黃騰浩專訪
第62屆金馬獎得獎後台
第62屆金馬獎紅毯
劉書宏專訪
袁澧林、陳孝萱專訪
第36屆金曲獎星光大道
第36屆金曲獎得獎圖輯
NMIXX林口體育館粉絲演唱會
今日頭條
1
王鴻薇批關稅賣台!律師嗆:舔中內鬼崩潰
2
坦承黃國昌曾問選公職意願!陳佩琪全說了
3
參選人看板「挖洞嵌紅綠燈」 本尊道歉了
4
他拋1數學題高中生秒答!網:去美是天才
5
台74線爆車禍撞賓士 春風急PO車牌照尋人
6
這家農會營收「狂吸180億」 年終發6個月
7
連遭5劇組換角 82歲國民阿嬤出面控訴
8
生前畫面曝!進涵洞…遭輾破頭亡 尪伴屍
9
柬泰邊境現「KK園區2.0」戒備森嚴如監獄
10
騙到日本去!26歲台男持觀光簽當車手被逮
HOT焦點
更多
2026開局君綺醫美強攻信義區!
凱基金控迎春公益市集 讓年味多一份善意
防身專家陳勇正多起公共事件受關注
頻道推薦
直播✦活動
三立新聞網
為了提供更好的閱讀內容,我們使用相關網站技術來改善使用者體驗,也尊重用戶的隱私權,特別提出聲明。
了解最新隱私權聲明
知道了