APP下載
活動
爆料
圖輯
AI爆報
追蹤新聞
3
台灣彩券開獎直播中
三立iNEWS新聞台線上直播
LIVE三立+24小時直播
即時
F-16夜航失事
川普空襲委國
新聞
熱門
政治
社會
娛樂
生活
新奇
健康
國際
兩岸
運動
財經
房產
旅遊
科技
汽車
遊戲
ESG
影音
總覽
政論
節目
熱搜
直播
iNEWS
專題
總覽
特企
專頁
大事件
彩券
專欄
民調
快訊
cortis登場 「下秒出意外」跑錯路反應曝
16:22
台中淫警愛慕女同事!闖香閨偷生理褲被抓
16:21
尾牙怎麼拜?點名2大供品 象徵錢包滿滿
16:20
BMW重機先擦撞機車 再撞鳴笛救護車倒地
16:19
F-16飛官失聯逾72小時 陸海空搜救不間斷
16:15
55歲台女日本被捕 涉嫌外洩前公司機密
16:12
他接家業月領36K嫌少!帳戶突炸200萬年終
16:10
來台8年!外國人見「台北3變化」很失望
16:04
陳昭姿稱子宮就是工具!施景中不忍發聲了
15:58
台八女星談代孕不是租房間:子宮不是器皿
15:54
習近平對台灣幹嘛隨便他?粉專曝川普原話
15:47
歐陽娣娣唱功挨批災難 劉宇寧出手護航了
15:46
南韓禁食狗肉滿2年 動保組織曝悲傷真相
15:43
陸「鼻病毒」大爆發!疾管署:國內有上升
15:39
蔡依林金唱片重返大巨蛋 親揭演出驚喜
15:33
應曉薇控違停喊聲援黃呂 鍾小平酸找北檢
15:33
新/抗美保格!格陵蘭5政黨:不當美國人
15:33
林萱瑜拍《百味》受傷!鮮血直流驚傳暈倒
15:33
館長喊司法政治迫害!網嗆:你什麼咖洨!
15:31
衛生紙外包裝先別丟!「1神用途」被讚爆
15:25
台灣彩券開獎直播中
20:31
冬天也能有名模腿!石墨烯火山岩一穿即暖
12:00
15縣市皮蛇疫苗補助一次看!
11:00
跨越38區串連!千街萬巷挺岱樺最後衝刺
20:00
航空城新都心紅利多 購屋族最佳宜居環境
16:00
首頁
關鍵字
大白肺
大白肺
急凍!一天78人猝死 「1類人」無聲缺氧亡
寒流來襲,根據消防署統計,全國8日獲報內科心肺功能停...
2025/02/09 16:08
大S疑大白肺身亡!醫曝1情況直接心跳停止
藝人大S(徐熙媛)與家人在春節期間赴日旅遊,因流感併...
2025/02/05 10:40
過年確診人數飆升!醫師:很多重症大白肺
過年走春注意保暖!昨(10)日醫師蘇一峰表示,新冠肺...
2024/02/11 11:15
台大急診塞爆 翁嬤咳喘當流感到院大白肺
冬季呼吸道病毒大爆發,有醫師指出目前包括流感、新冠、...
2024/01/11 12:49
最坎坷受贈者 老菸槍剛移植馬上變大白肺
肺臟移植已經十分稀少,三總20日公布一例換肺過程極為...
2023/12/20 16:23
大白肺救命藥缺貨!胸腔醫:小心別重症
國內近期爆「缺藥危機」,衛福部也於上月27日公布15...
2023/03/01 10:43
為救女兒過勞!60多歲男染疫「大白肺」亡
過勞若染疫,恐釀嚴重肺炎!一名60多歲男性患者無特殊...
2023/02/04 14:15
降溫!本土23349歿79 30歲女發病11天亡
疫情降溫!中央流行疫情指揮中心今(4)日公布國內新增...
2023/02/04 14:07
本土確診白肺插管 胸腔醫嘆:沒床位可去
北市聯合醫院胸腔內科主治醫師蘇一峰近日在臉書上貼出一...
2023/01/11 06:54
大白肺台商最新病況 醫:台灣醫護就是強
胸腔科醫師蘇一峰6日透露有位台商從中國返台後確診,拖...
2023/01/10 20:59
大白肺台商定序出爐!莊人祥揭高風險因子
北市聯醫胸腔科醫師蘇一峰,日前於1月7日於臉書上貼了...
2023/01/10 15:18
病危送回台灣 救活後台商怒喊:要回中國
中國1月8日起邊境大解封,許多台商近日也陸續回到台灣...
2023/01/09 16:36
驚台商大白肺!入境中重症數無統計原因曝
今(8)日是中國對外大解封的第一天,北市聯醫胸腔科醫...
2023/01/08 16:30
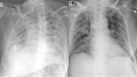
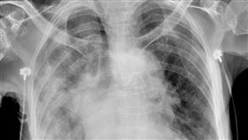
氧氣用到100%!台商「大白肺」死亡率4成
蘇一峰醫師在個人臉書發文並貼出一張「大白肺」X光片,...
2023/01/07 12:02
台商確診大白肺 醫嘆:留在中國死路一條
中國近日疫情爆發,各地確診人數激增,隨著中國邊境準備...
2023/01/07 05:43
最新圖輯
更多
羅志祥30周年演唱會
凱琳專訪
黃鐙輝、吳念軒、黃騰浩專訪
第62屆金馬獎得獎後台
第62屆金馬獎紅毯
劉書宏專訪
袁澧林、陳孝萱專訪
第36屆金曲獎星光大道
第36屆金曲獎得獎圖輯
NMIXX林口體育館粉絲演唱會
今日頭條
1
明晚0°C線壓境 冷氣團襲恐探個位數低溫
2
金唱片男神壓線來台 安孝燮邊佑錫引轟動
3
蔣萬安送金鏟子賀李玉璽新婚 親題8字曝
4
他PO陳昭姿辭職書!柯寫:需完成代孕法案
5
《飛魚》管麟認愛求婚懷孕了?經紀人回應
6
不玩了!陳菁徽宣布退出代理孕母修法審查
7
愛愛完卻不認交往 郭書瑤爆哭吐崩潰關鍵
8
陸「鼻病毒」大爆發!疾管署:國內有上升
9
中共囂張搞對台軍演 印度罕見發聲反對
10
竹科男分享「9大省錢神技」 網酸:可悲
HOT焦點
更多
「桃園大客家」AI客語平台 易上手操作
永飽安康寒冬送暖 讓長者吃得營養又幸福
搶攻草莓季商機!在地品牌跨界合作推新品
頻道推薦
直播✦活動
三立新聞網
為了提供更好的閱讀內容,我們使用相關網站技術來改善使用者體驗,也尊重用戶的隱私權,特別提出聲明。
了解最新隱私權聲明
知道了