APP下載
活動
爆料
圖輯
AI爆報
追蹤新聞
3
台灣彩券開獎直播中
三立iNEWS新聞台線上直播
LIVE三立+24小時直播
即時
台美關稅15%
九合一點將
新聞
熱門
政治
社會
娛樂
生活
新奇
健康
國際
兩岸
運動
財經
房產
旅遊
科技
汽車
遊戲
ESG
影音
總覽
政論
節目
熱搜
直播
iNEWS
專題
總覽
特企
專頁
大事件
彩券
專欄
民調
快訊
三峽死亡車禍!媽載女兒碰撞貨車 1死1傷
22:17
川普2度暗示「取消期中選舉」 白宮回應
22:16
中風警怒告分局長求償!敗訴原因曝光
22:15
「平安符」效期僅一年!專家揭4處理妙招
22:15
李多慧搭計程車被認出!下車一舉動超暖
22:04
19歲男台24自撞墜9米谷 奇蹟生還僅輕傷
21:58
梅克熱身險睡著沒出賽 戰神剩雙洋將慘敗
21:45
葛拉漢絕殺獵鷹 領航猿平聯盟紀錄10連勝
21:43
RAIN中文連發太狂 嗨喊:牛肉麵超好吃
21:36
洪詩顧失智公公把屎把尿!網喊根本鬼故事
21:20
搭機穿夾腳拖?空服員提1理由勸:易受傷
21:19
7旬夫妻靠3.2萬苦撐!他呆坐像走到盡頭
21:13
獨/小龍女跨界應援籃球 被舉起竟一直抖
21:10
RAIN突cue粉絲上台 吃豆腐貼胸肌又牽手
20:59
春風車禍撞賓士找到人了!愧疚喊:很抱歉
20:51
動力火車神曲秀饒舌 拿莫自創靈感超暖心
20:47
這天起「北東濕冷5天」!低溫恐探10度
20:46
洪榮宏高雄開唱!總統賴清德突然驚喜現身
20:33
台美世紀交易!林濁水:台灣從籌碼變主體
20:29
藍白完蛋了!他斷言:年底會被台灣人教訓
20:20
台灣彩券開獎直播中
20:31
松山奉天宮攜手故宮 辦三官數位藝術特展
21:00
高雄湯包名店揮軍北上擴版圖 擄獲老饕胃
12:00
醒吾三立影視學院成果展 學員表現亮眼
20:00
這個品牌有夠猛!選「愛莉莎莎」當代言
18:30
星城Online玩創意!拍《戲說台灣》單元劇
12:00
2026開局君綺醫美強攻信義區!
11:00
凱基金控迎春公益市集 讓年味多一份善意
17:00
防身專家陳勇正多起公共事件受關注
16:00
別再死背英文!右腦圖像法15分鐘無痛學會
11:00
首頁
關鍵字
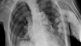
多一隻手
多一隻手
醫揭X光片多1隻手 看護1句全場毛真相曝
北市聯醫陽明院區胸腔內科主治醫師蘇一峰活躍於社交平台...
2023/03/24 18:55
最新圖輯
更多
羅志祥30周年演唱會
凱琳專訪
黃鐙輝、吳念軒、黃騰浩專訪
第62屆金馬獎得獎後台
第62屆金馬獎紅毯
劉書宏專訪
袁澧林、陳孝萱專訪
第36屆金曲獎星光大道
第36屆金曲獎得獎圖輯
NMIXX林口體育館粉絲演唱會
今日頭條
1
三峽死亡車禍!媽載女兒碰撞貨車 1死1傷
2
傳開設駐鳳凰城辦事處 外交部回應了
3
同登「谷關七雄」夫突猝死!妻伴屍等救援
4
新/台積電變美積電?經濟部「緊急聲明」
5
新北大橋下驚見白骨 警採DNA懷疑通緝犯
6
建設公司小開無視保護令!打死前妻再棄屍
7
藍2026提名亂成一鍋粥 黨內憂心滅頂災難
8
中榮疑廠商代刀畫面流出!石崇良下令嚴查
9
蛋撻之亂網氣炸!肯德基小編1句遭轟災難
10
烏干達選後情勢緊張 反對派領袖傳遭帶走
HOT焦點
更多
關廟砲校搬遷啟用 總統見證「多贏計畫」
醒吾三立影視學院成果展 學員表現亮眼
女神級光感保養「仙氣紫光瓶」自帶柔焦感
頻道推薦
直播✦活動
三立新聞網
為了提供更好的閱讀內容,我們使用相關網站技術來改善使用者體驗,也尊重用戶的隱私權,特別提出聲明。
了解最新隱私權聲明
知道了