APP下載
活動
爆料
圖輯
AI爆報
追蹤新聞
4
立院三讀馬太鞍堰塞湖災後條例
台灣彩券開獎直播中
三立iNEWS新聞台線上直播
LIVE三立+24小時直播
即時
非洲豬瘟侵台
輝達進駐台北
新聞
熱門
政治
社會
娛樂
生活
新奇
健康
國際
兩岸
運動
財經
房產
旅遊
科技
汽車
遊戲
ESG
影音
總覽
政論
節目
熱搜
直播
iNEWS
專題
總覽
特企
專頁
大事件
彩券
專欄
民調
快訊
老菸槍咳不停!醫推1類食物潤肺 抗癌防老
08:30
黃仁勳一席話!陸行之大讚:不愧是AI教主
08:25
淡水鐵皮工廠火警!濃煙火光竄天畫面曝光
08:24
爆拍到粿粿住王子家鐵證 徵信社62字證實
08:19
一堆高薪族淪月光族!專家點3大致命習慣
08:09
親中言論不斷!鄭麗文「黨外危機」曝光
08:00
新/重大進展!美中貿易協議最快下週簽署
08:00
令不出黨中央?鄭麗文「黨內3難題」待解
08:00
護理女神離世 AV女優:下輩子還要當姊妹
07:59
鄭麗文點他接總召 藍委憂「哪條中國路」
07:40
葛仲珊淡出7年強勢回歸 公開重磅喜訊
07:38
護理女神最後身影曝!雪碧泣:來生當好友
07:30
美中貿易協議利多有限 美股四指數齊挫
07:30
王子生日文埋伏筆!第13張照藏粿粿定情日
07:29
台美關稅談判再推進!鄭麗君曝最新進度
07:25
疑布丁遭偷吃遷怒司機還擲筊…結局超展開
07:07
〈靠岸〉林宇中自爆1隱疾 世界天翻地覆
07:04
黃仁勳兒吐幫爸工作心聲!籲年輕人要學AI
06:57
紐時看川習會:面子給川普、裡子習近平拿
06:56
入秋以來最大降溫!影響到這天北台剩18度
06:48
台灣彩券開獎直播中
20:31
台彩中秋加碼總獎金達4.5億
12:00
大樂透加碼100組100萬元
12:00
立院三讀馬太鞍堰塞湖災後條例
08:20
7-ELEVENX晶華酒店 新品上市!
17:00
首頁
關鍵字
放射線
放射線
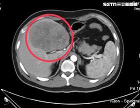
33歲男解黑便吐血 醫一看11cm嘆晚期了
33歲吳先生去年因解黑便及吐血就醫,確診胃癌並肝轉移...
2025/04/24 11:21
排便困難竟已是癌末 8旬嬤靠毅力拚了
便祕對健康來說已經是個警訊,加上很多長輩很能忍痛,就...
2024/10/28 15:11
8旬翁得4病又罹肺癌 接受1治療腫瘤全消失
藝人汪建民幾個月前才證實罹患肺腺癌4期,且癌細胞擴散...
2024/10/10 09:32
臺中榮總AI醫療上路 精準勾畫減少副作用
智慧醫療再+1!為了讓病患有更好的治療效果、更小的副...
2024/09/10 14:00
38歲女罹鼻咽癌顱底骨壞死 微創救他重生
彰化38歲李姓小姐為鼻咽癌患者,復發後歷經兩次放射線...
2024/07/18 12:05
30年老菸槍肺癌晚期奇蹟治癒 醫曝關鍵
李先生是位工程師,抽菸30年,去年9月開始感到呼吸急...
2024/03/05 10:10
放射師照X光就好?真實工作根本無名英雄
「醫事放射師」在醫院是不可或缺的,但對一般人很容易忽...
2023/11/20 20:08
存活率僅5%!六旬婦罹胰臟癌「這招」續命
根據台灣癌症登記報告顯示,胰臟癌已連續2年為十大癌症...
2023/02/03 17:38
家長注意!小孩臉腫竟是橫紋肌肉瘤惹禍
家有小孩的家長要注意!小凱因右臉頰腫脹,原以為是牙齦...
2023/01/12 12:30
聽信偏方治乳癌 少婦胸部慘變花椰菜
一名年約35歲少婦一年半前經檢查確診罹患乳癌,但這名...
2018/11/13 10:18
女傳裸照空中看診…醫師到府「打針」
醫師幫病患「打針」打到家中!一名在公立醫院擔任放射線...
2018/01/05 07:49
醫院也產核廢料!若放家裡沒問題?
「核廢料放你家」這個概念其實是建立在另一個叫做「核廢...
2017/09/27 23:00
健康鹽遭爆含超高輻射 台鹽這樣回應
食安問題又再出現,而且這次出包的還是台鹽公司!有立委...
2017/09/21 12:34
降低化療副作用 治療癌症不打退堂鼓
化療會出現噁心、嘔吐以及掉髮等副作用,以致許多癌症病...
2017/09/15 18:18
未化療徹底 急性白血病少年不敵病魔
「我還想打籃球到五十歲!」罹患急性淋巴性白血病的王小...
2017/05/02 09:15
攝取茄紅素防癌 醫:番茄加熱更有效
吃番茄要加熱!彰化醫院醫師賴易成指出,根據他的實驗,...
2017/03/19 13:24
311五周年 福島民眾每日必做這事
東日本311大地震至今已經五周年,當時強烈地震不只引...
2016/03/11 11:48
口腔癌放療後口乾?這個可以維持濕潤
口腔癌患者往往需要接受2、3次放射線治療,因而會造成...
2015/01/12 09:08
最新圖輯
更多
劉書宏專訪
袁澧林、陳孝萱專訪
第36屆金曲獎星光大道
第36屆金曲獎得獎圖輯
NMIXX林口體育館粉絲演唱會
KISS OF LIFE台北演唱會
林芯儀專訪
GYUBIN大巨蛋開球
陳謙文專訪
孫麥傑專訪
今日頭條
1
爆拍到粿粿住王子家鐵證 徵信社62字證實
2
花蓮遭爆花近億買便當嗆告!議員霸氣發聲
3
新/重大進展!美中貿易協議最快下週簽署
4
王子生日文埋伏筆!第13張照藏粿粿定情日
5
護理女神最後身影曝!雪碧泣:來生當好友
6
黃仁勳一席話!陸行之大讚:不愧是AI教主
7
川習未談台灣 美前官員列2原因對台有利
8
爆王子美國團「另一對沒爆」!闆妹再發聲
9
入秋以來最大降溫!影響到這天北台剩18度
10
月底發錢了!6筆補助連發「近10萬」入帳
HOT焦點
更多
馬光中醫蟬聯「幸福企業」衛武營度家庭日
破百場媒合會助臺灣文化科技內容國際合作
7-ELEVENX晶華酒店 新品上市!
頻道推薦
直播✦活動
三立新聞網
為了提供更好的閱讀內容,我們使用相關網站技術來改善使用者體驗,也尊重用戶的隱私權,特別提出聲明。
了解最新隱私權聲明
知道了