APP下載
活動
爆料
圖輯
AI爆報
追蹤新聞
3
台灣彩券開獎直播中
三立iNEWS新聞台線上直播
LIVE三立+24小時直播
即時
助理費爭議
小紅書遭封鎖
新聞
熱門
政治
社會
娛樂
生活
新奇
健康
國際
兩岸
運動
財經
房產
旅遊
科技
汽車
遊戲
ESG
影音
總覽
政論
節目
熱搜
直播
iNEWS
專題
總覽
特企
專頁
大事件
彩券
專欄
民調
快訊
救護車執勤被逼讓道!小黃按喇叭辱罵網怒
07:21
粉絲遭肉搜霸凌 賓賓哥爆假公益真控斂
07:14
診所內精油推拿遭性侵…尪門外苦等不知情
07:12
澳洲恐攻案增至16死 槍手身分曝為父子檔
07:05
他吃咖哩雞驚見「有其他肉」爆吐昏迷送醫
07:03
家暴後重返籃壇 戴維斯欠撫養費房遭查封
06:52
遊民酒醉持美工刀追砍2生...檢方聲押獲准
06:47
今晨低溫7.1度 冷氣團發威4縣市低溫特報
06:41
「公益網紅」賓賓哥遭爆斂財破億霸凌粉絲
06:40
雪梨海灘猶太節慶槍擊案 增至16人死亡
06:30
習近平國師稱:統一後10年台北變二線城市
06:17
黃國昌問「倒閣卓榮泰會下台嗎」律師嗆87
06:11
左岸公園驚見女屍仰躺馬桶旁…死者身分曝
06:09
獨/女星隨便賣海賊王漫畫!一聽差價傻眼
06:00
獨/男星悲慟阿嬤猝逝!來不及見最後一面
06:00
獨/超大咖嘻哈歌手變建中老師!曾是學霸
06:00
費半重挫5%博通暴跌 台股開盤恐不妙!
05:58
蕭敬騰岳父逝!昔中風手萎縮1舉動感動網
05:52
認1歲子卡到邪靈拋入海…法庭驚悚狂言曝
05:50
北市仁愛路電梯女工21樓「開口墜地」慘死
05:48
台灣彩券開獎直播中
20:31
高雄大氣球遊行登場 21顆空飄氣球超壯觀
12:00
嘉義市城市博覽會開幕「嘉義大舞台」嗨翻
20:00
健康AI領導品牌 威力先進得獎不斷
20:30
《上山吧》團員用「優蛋白EX」補充能量
13:00
《上山吧!台灣隊》創舉!征服非洲之巔!
10:00
他靠科學化心法兩年滾出千萬財富!
08:30
首頁
關鍵字
骨轉移
骨轉移
臉麻牙痛3個月!婦竟被耳鼻喉醫驗出乳癌
根據統計,女性癌症發生率中,乳癌蟬聯冠軍,但經過「耳...
2025/10/28 16:38
暗藏在中年熟男間、不可告人的攝護腺危機
57歲陳先生是一位朝九晚五、作息正常的上班族,最近時...
2023/10/25 07:18
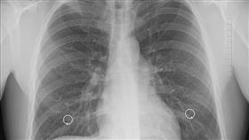
50歲男下背痛!X光一照「腫瘤超大顆」
肺癌是所有癌症死亡率占第一位的癌症,由於早期肺癌並沒...
2023/08/16 15:48
他喉嚨沙啞、背痛 一查「腰椎骨被吃掉」
55歲業務員「阿明」菸齡超過30年,近來因喉嚨沙啞及...
2023/05/03 13:27
骨痠以為老化 兩年後骨折始知血癌骨轉移
長輩若有無緣由的骨骼痠痛、背痛、下肢無力情況時,可別...
2022/12/20 10:06
血便誤以為是痔瘡 竟是晚期攝護腺癌上身
一名今年80歲的男性老翁,日前發現排便困難及血便,一...
2022/12/20 10:00
老翁骨痛難耐險癱 竟是晚期攝護腺癌惹禍
一名72歲男性老翁王先生(化名),二年前上廁所時發現...
2022/11/23 11:00
背痛掛號竟查出癌症!醫揭夜晚注意1警訊
許多人遇到背痛難止的情況都會以為是腎臟發炎去看醫生,...
2022/11/07 19:28
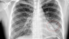
骨頭疼痛竟癌末!肺癌翁藉雙線治療改善病況
新竹臺大分院胸腔內科主治醫師暨教學部主任柯政昌分享,...
2022/09/28 14:00
七旬翁攝護腺靠荷爾蒙療法 與癌共存
今年71歲的陳先生因解尿困難,被家人送往林口長庚醫院...
2022/08/08 11:00
新式治療 骨轉移攝護腺癌患者福音
一名60歲老翁,日前到醫院健康檢查時,發現罹患攝護腺...
2022/05/16 09:30
晚期別放棄 標靶藥物助攻管腔型乳癌
雖然乳癌個案數有逐年上升的趨勢,但因乳癌治療持續不斷...
2022/02/14 16:57
癌症發生骨轉移 盡早就醫降低風險
現代人常常腰痠背痛,起初以為只是單純姿勢不良、少運動...
2021/10/28 01:15
癌症發生骨轉移 放棄治療當心併發症
現代人常常腰痠背痛,起初以為只是單純姿勢不良、少運動...
2021/10/26 01:00
荔枝農左大腿疼痛 檢查竟發現這件事
莫名疼痛,小心是攝護腺癌骨轉移!南部一名荔枝老農的左...
2021/10/16 09:40
前空姐胸部有硬塊 骨頭竟「滿天星」
癌症轉移到骨頭後,除了造成疼痛之外,還會衍生多種併發...
2021/10/14 16:27
藍領爸無預警癱瘓在地 元兇竟是它
53歲的勇哥(化名)平時從事藍領工作,育有一雙子女的...
2021/07/15 21:10
晚期攝護腺癌 老翁骨轉移疼痛難耐
一名60歲的王姓老翁(化名),前陣子因為骨頭疼痛,因...
2021/04/18 10:00
下背痠痛、下肢無力 竟是癌症骨轉移
根據WHO最新統計,女性乳癌已經成為全球最常被診斷出...
2021/03/04 01:10
頭皮腫塊驗出「攝護腺組織」醫:不妙
摸一摸自己的身體,有時候會不小心發現一些警訊!有人頭...
2021/02/06 12:14
攝護腺癌易骨轉移 全面性治療不可少
攝護腺癌是全世界第二大男性癌症,根據衛福部統計,在台...
2021/02/03 10:40
攝護腺癌痛翻天!鐳223治療助老翁
今年70歲的楊老先生(化名),近期因為攝護腺癌細胞轉...
2020/12/17 10:00
老人跌倒骨脆容易折 骨科醫師教預防
「老人經不起摔,年紀到了,就容易骨質疏鬆性骨折,骨折...
2020/12/15 10:00
癌細胞「骨轉移」 他一起床腿骨斷掉
由於癌症容易發生骨轉移,會造成原本強而有力的骨骼變得...
2020/11/24 14:45
輕微碰撞就骨折 竟是癌症「骨轉移」
惡性腫瘤生長過程中,癌細胞容易藉由血液、淋巴,轉移到...
2020/11/16 11:00
他腳痛到走不動 就醫發現「骨轉移」
「唉呀!」61歲的趙先生要從沙發起身時腳拐了一下,冷...
2020/09/28 11:19
攝護腺癌骨轉移疼痛難忍!
骨頭疼痛莫輕忽 恐為攝護腺癌轉移症狀提到攝護腺癌,常...
2020/07/21 02:30
攝護腺癌骨轉移寸步難行 鐳223治
68歲劉先生,在一次泌尿科檢查後確診罹患攝護腺癌,隨...
2020/06/12 10:00
提升抵抗力也要提高癌友「骨力」
攝護腺癌因初期症狀不明顯,許多患者確診時已為晚期,且...
2020/04/14 08:40
老翁腰痠背痛 檢查驚見晚期攝護腺癌
62歲的老高(化名)因持續腰酸一個月、背部異常疼痛而...
2020/03/12 09:30
最新圖輯
更多
第62屆金馬獎得獎後台
第62屆金馬獎紅毯
劉書宏專訪
袁澧林、陳孝萱專訪
第36屆金曲獎星光大道
第36屆金曲獎得獎圖輯
NMIXX林口體育館粉絲演唱會
KISS OF LIFE台北演唱會
林芯儀專訪
GYUBIN大巨蛋開球
今日頭條
1
黃國昌問:倒閣卓榮泰會下台?他狠酸法盲
2
與美歐會談 澤倫斯基願放棄入北約條件曝
3
蕭敬騰岳父逝!昔中風手萎縮1舉動感動網
4
習近平國師稱:統一後10年台北變二線城市
5
今晨低溫7.1度 冷氣團發威4縣市低溫特報
6
澳洲恐攻案增至16死 槍手身分曝為父子檔
7
立院對台灣斷手斷腳 他:補救手段幾用完
8
發錢了!「一次給5個月」近10萬現金入帳
9
「公益網紅」賓賓哥遭爆斂財破億霸凌粉絲
10
10縣市今早起停水!最久「9小時沒水用」
HOT焦點
更多
海爾廚衛專攻小家庭 2026新品曝光搶市
浴室翻修需求增 一太e衛浴帶動市場發展
《上山吧!台灣隊》創舉!征服非洲之巔!
頻道推薦
直播✦活動
三立新聞網
為了提供更好的閱讀內容,我們使用相關網站技術來改善使用者體驗,也尊重用戶的隱私權,特別提出聲明。
了解最新隱私權聲明
知道了