APP下載
活動
爆料
圖輯
AI爆報
追蹤新聞
5
蔣萬安出席台北燈節點燈
【立院榮譽顧問EP.177】
台灣彩券開獎直播中
三立iNEWS新聞台線上直播
LIVE三立+24小時直播
即時
對等關稅違憲
賈永婕嗆蔣
新聞
熱門
政治
社會
娛樂
生活
新奇
健康
國際
兩岸
運動
財經
房產
旅遊
科技
汽車
遊戲
ESG
影音
總覽
政論
節目
熱搜
直播
iNEWS
專題
總覽
特企
專頁
大事件
彩券
專欄
民調
快訊
庫洛魔法使春日粉櫻快閃店 限定綻放華山
18:31
台灣隊先發5人名單出爐 陳盈駿、林庭謙
18:27
向華強千億家產交給郭碧婷 2兒子爭議曝
18:19
18歲啦啦隊Mega遭開黃腔 粉絲怒轟:噁爛
18:15
龍仔退賽 有望變台灣新四番林安可這樣說
18:09
支持度43.7%首度逆轉李四川 蘇巧慧回應
18:03
雙月將落腳天母曝光 網笑:又要排隊人潮了
18:03
S26發表/亮底牌?新機售價曝 星粉崩潰
18:01
多數人都錯!洗衣服1錯誤習慣 恐越洗越臭
18:00
新/58歲沈玉琳抗癌成功 3/4復工首現身
17:56
台南元宵活動登場!衝蜂炮「保命裝備」曝
17:55
LPGA匯豐女子賽 徐薇淩首輪繳73桿並列36
17:53
最貪黃金署長黃季敏被判刑55年8月定讞
17:52
中國制裁20間日企!高市早苗:不可接受
17:47
台灣雲豹360度隨你看!珍稀標本零距離
17:46
英達人秀滾火桌!楊立微台5巡演重現絕技
17:43
新/台74線5大小車連環撞!5人受傷送醫
17:40
劉曉慶75歲吻戲上熱搜 網諷:男主工傷?
17:39
藍嗆封殺「育嬰5億預算」!范雲打臉了
17:36
美國對伊朗動武?傳要以色列先上
17:36
台灣彩券開獎直播中
20:31
台彩春節加碼12億元創新高
12:00
大樂透加碼480組100萬元
12:00
大樂透加碼800組10萬元
12:00
【立院榮譽顧問EP.177】
17:39
蔣萬安出席台北燈節點燈
18:30
祥獅獻瑞迎開工!愛妮雅集團新年藍圖首曝
17:00
瘦身急救章 一秒塑身穿上小號緊身洋裝
11:00
初九天公生 松山奉天宮備平安麵共享
16:00
捷運七張站走路2分鐘 友座明明德機能到位
15:00
開學換機酷澎火箭速配隔日到貨
10:00
企業暖心故事 一份工作撐起整個家
13:00
Xtars人氣直播主大揭密 鏡頭下的甘苦
13:00
土城永福岩清水祖師廟擲筊大賽 頭獎百萬
12:00
初一金山財神廟湧人潮 聯名蛋捲禮盒喜氣
11:00
首頁
關鍵字
流膿鼻涕鼻石
流膿鼻涕鼻石
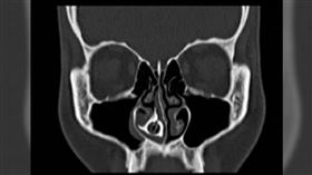
她「鼻水流10年」治不好!醫一挖:化石?
這真的太扯了!鼻涕流了10年竟然不是感冒?大陸杭州一...
2026/01/11 20:22
最新圖輯
更多
初孟軒、鍾岳軒專訪
龍千玉與翁立友領豪記唱片群星拜年
Rain鄭智薰小巨蛋演唱會
金在中演唱會
羅志祥30周年演唱會
凱琳專訪
黃鐙輝、吳念軒、黃騰浩專訪
第62屆金馬獎得獎後台
第62屆金馬獎紅毯
劉書宏專訪
今日頭條
1
支持度43.7%首度逆轉李四川 蘇巧慧回應
2
育兒減工時挨轟!前市府員工揭蔣政績焦慮
3
新/58歲沈玉琳抗癌成功 3/4復工首現身
4
台灣對軟銀打線出爐 旅日重砲林安可四棒
5
吳中純住院一個月逝世 吳母緊抱愛女痛哭
6
新/科技廠女員工…遭砍頭!男友:殺你媽
7
檢察官前妻20萬交保!雙手上銬提款畫面曝
8
新/拿掉一部分頭蓋骨…陳光復腦壓仍高!
9
3波春雨接力!連假3天泡湯「雨下到發紅」
10
台北101預告228點燈「自由 民主 台灣」
HOT焦點
更多
初一金山財神廟湧人潮 聯名蛋捲禮盒喜氣
2026桃園燈會「飛馬耀桃園」盛大開幕!
瘦身急救章 一秒塑身穿上小號緊身洋裝
頻道推薦
直播✦活動
三立新聞網
為了提供更好的閱讀內容,我們使用相關網站技術來改善使用者體驗,也尊重用戶的隱私權,特別提出聲明。
了解最新隱私權聲明
知道了