APP下載
活動
爆料
圖輯
AI爆報
追蹤新聞
3
台灣彩券開獎直播中
三立iNEWS新聞台線上直播
LIVE三立+24小時直播
即時
赤手獨攀101
台美關稅15%
新聞
熱門
政治
社會
娛樂
生活
新奇
健康
國際
兩岸
運動
財經
房產
旅遊
科技
汽車
遊戲
ESG
影音
總覽
政論
節目
熱搜
直播
iNEWS
專題
總覽
特企
專頁
大事件
彩券
專欄
民調
快訊
張又俠落馬!紐時揭中共短期內攻台機率
21:02
婚宴搶到Lulu捧花 曾莞婷新歡對象曝光
21:02
霍諾德妻曝攻頂後第一件事:來杯珍奶壓驚
20:58
陳漢典二進熱唱 Lulu閨密當合音大開黃腔
20:54
霍諾德徒手攀台北101 工傷協會說重話了
20:54
新/台東金樽漁港翻船意外!船主落海溺斃
20:46
台北101攻頂!她:賈永婕不只是賭上董座
20:43
被盧峻翔絕殺 吳永仁嘆已派最強陣容堵他
20:37
1族群注意!勞動部發錢了 補助最高4.8萬
20:34
Lulu告白陳漢典 許允樂感動送12字祝福
20:34
3救護分隊成立!高市義消再添新成員
20:23
霍諾德征服台北 101!隱形贏家比北面搶鏡
20:19
唐禹哲現蹤陳漢典、Lulu婚宴 最新近況曝
20:11
陳漢典Lulu婚宴開70桌 16道超狂菜色曝光
20:04
小心雷包!下任Fed主席恐成市場大變數
20:00
習近平為何整肅張又俠?汪浩揭驚天內幕
19:59
霍諾德被罵瘋子!妻「滿眼是他」暖回1句
19:56
新/新竹豪宅建案移工「7F→B1」送醫不治
19:56
不輸獨攀101!他在國道高空秀神技 真相曝
19:56
張學友巡演落幕傳「破產才狂唱」歌神回擊
19:55
台灣彩券開獎直播中
20:31
吳琪銘宣布交棒兒吳昇翰 造勢場5千人挺
20:00
搭台北捷運吃年菜!好年味市集料理秀登場
17:00
娛樂城推實體收藏卡7-ELEVEN限量上市
16:00
上班什麼方式最快?靠它一路順暢不卡關
16:00
給臉喝的「冰美式」!敷出緊緻「邊界感」
12:00
數位轉型AI實戰 凱基金控躋身AI創新百強
10:30
首頁
關鍵字
金屬棒
金屬棒
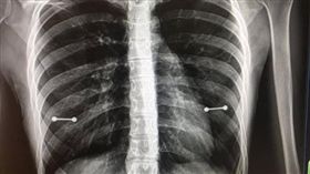
她照X光驚見胸前2條槓!媽媽秒變臉
美國佛州一名20歲女子藏有小秘密,日前她偷偷去穿乳環...
2021/04/05 08:02
少女照X光驚見「2條槓」!媽超火大
美國佛州一名妙齡女子藏有小秘密,在去年6月去穿乳環,...
2019/11/30 07:19
美驚傳連續殺人!街友遭爆頭4死1傷
美國紐約市5日凌晨發生針對「流浪漢」傷害致死事件,警...
2019/10/05 23:35
她X光驚見乳頭「2條槓」!媽媽怒了
美國佛州一名20歲女子藏有小秘密,在今年6月去穿乳環...
2018/11/02 16:28
神奇人體發電機 煮蛋、點燈難不倒他
這名塞爾維亞的男子擁有神奇的特異功能,不但可以忍受百...
2016/01/21 18:24
最新圖輯
更多
羅志祥30周年演唱會
凱琳專訪
黃鐙輝、吳念軒、黃騰浩專訪
第62屆金馬獎得獎後台
第62屆金馬獎紅毯
劉書宏專訪
袁澧林、陳孝萱專訪
第36屆金曲獎星光大道
第36屆金曲獎得獎圖輯
NMIXX林口體育館粉絲演唱會
今日頭條
1
憲哥致詞爆陳漢典拔不出!Lulu崩潰發聲了
2
柯脫口「用人工生殖法換軍購」綠委開罵了
3
霍諾德被罵瘋子!妻「滿眼是他」暖回1句
4
Lulu一見"國民老公" 突悔曝太早嫁陳漢典
5
二寶媽失蹤10年成白骨!老父悲揭最後擁抱
6
獨/陸軍少校墜樓酒吧前 送醫不治身亡
7
冷空氣「這天」襲台冷爆 北台灣一片濕涼
8
黃國昌批表現「讓人失望」 賴瑞隆反擊了
9
直擊/甜甜圈店禁童 他衝現場護航:危險
10
習鍘張又俠自毀長城!陳破空:中共要滅了
HOT焦點
更多
給臉喝的「冰美式」!敷出緊緻「邊界感」
數位轉型AI實戰 凱基金控躋身AI創新百強
「台灣棒球小英雄球員卡」第二彈正式亮相
頻道推薦
直播✦活動
三立新聞網
為了提供更好的閱讀內容,我們使用相關網站技術來改善使用者體驗,也尊重用戶的隱私權,特別提出聲明。
了解最新隱私權聲明
知道了