APP下載
活動
爆料
圖輯
AI爆報
追蹤新聞
6
田中千繪出面吐心聲
【94要客訴】
台澳大戰 各地直播派對現場
台灣彩券開獎直播中
三立iNEWS新聞台線上直播
LIVE三立+24小時直播
即時
美以突襲伊朗
對等關稅違憲
新聞
熱門
政治
社會
娛樂
生活
新奇
健康
國際
兩岸
運動
財經
房產
旅遊
科技
汽車
遊戲
ESG
影音
總覽
政論
節目
熱搜
直播
iNEWS
專題
總覽
特企
專頁
大事件
彩券
專欄
民調
快訊
見鄉長…誤吃「倒吊子」失去呼吸心跳!
12:43
陳傑憲遭觸身退場 台灣沒把握得點圈機會
12:41
藍軍購條例拍板:國防部每會期提執行報告
12:39
陳傑憲手指遭球吻 緊急退場由宋晟睿接替
12:38
藍恐丟這縣市!蔡正元示警:讓他少說話
12:38
被點名戰高虹安?政院美女發言人回應了
12:37
庫德族攻伊朗?官媒打臉:邊境無戰事
12:37
豬哥亮證件遭挖「超高顏值」謝金燕也認證
12:37
大岡山議員初選結果揭曉 2老將1新人勝出
12:36
13家速食「買1送1、比薩半價」挺台灣隊!
12:33
全東京台灣人密度最高的地方 震撼日媒
12:32
普洛法整季禁賽 勇士教頭:危機就是轉機
12:32
台灣球迷湧東京巨蛋 日媒:以為不在日本
12:28
春風出手了!督促開導王陽明車聚違規挨罰
12:26
新/蔡瑞雪爆不倫GQ編輯長 5聲明回應了
12:25
200人滯留中東!外交部啟動照護國人計畫
12:25
徐若熙首戰先發壓制澳洲 4局53球無失分
12:19
議會秘書…詭斷聯!一家3口拆兩批飛大陸
12:12
WBC開打 三大「觀賽神器」決戰時刻不錯過
12:12
陽帆健檢出問題!震驚公開這項指數過高
12:12
台灣彩券開獎直播中
20:31
台澳大戰 各地直播派對現場
11:22
【94要客訴】
12:05
田中千繪出面吐心聲
12:30
完全營養早晚打底!挺台灣隊攻克聖稜線
11:00
員工訓練再升級!愛妮雅:謙卑改革
11:00
「台八男神」龍語申「肌」情預告!
17:00
純喫茶X《傳說對決》限時虛寶登場!
10:00
賓果賓果鬧元宵 大樂透、今彩539續加碼
12:00
開工打造好運勢 小人退散能量水晶迎貴人
12:00
祥獅獻瑞迎開工!愛妮雅集團新年藍圖首曝
17:00
瘦身急救章 一秒塑身穿上小號緊身洋裝
11:00
初九天公生 松山奉天宮備平安麵共享
16:00
捷運七張站走路2分鐘 友座明明德機能到位
15:00
開學換機酷澎火箭速配隔日到貨
10:00
企業暖心故事 一份工作撐起整個家
13:00
Xtars人氣直播主大揭密 鏡頭下的甘苦
13:00
土城永福岩清水祖師廟擲筊大賽 頭獎百萬
12:00
初一金山財神廟湧人潮 聯名蛋捲禮盒喜氣
11:00
「星城Online x戲說台灣」單元劇引爆話題
12:00
首頁
關鍵字
心臟位移
心臟位移
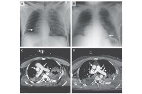
車禍男心臟轉了90度,居然奇蹟存活
在義大利發生的一起摩托車事故,使一個男人的心臟跑偏了...
2014/05/15 11:59
最新圖輯
更多
初孟軒、鍾岳軒專訪
龍千玉與翁立友領豪記唱片群星拜年
Rain鄭智薰小巨蛋演唱會
金在中演唱會
羅志祥30周年演唱會
凱琳專訪
黃鐙輝、吳念軒、黃騰浩專訪
第62屆金馬獎得獎後台
第62屆金馬獎紅毯
劉書宏專訪
今日頭條
1
孫易磊自堆滿壘退場 張奕用2球拆彈成功
2
藍軍購條例拍板:國防部每會期提執行報告
3
台人湧日觀戰WBC 賴清德曝幕僚請假理由
4
全東京台灣人密度最高的地方 震撼日媒
5
新/蔡瑞雪爆不倫GQ編輯長 5聲明回應了
6
今錯過就充公!1張千萬8張百萬發票沒人領
7
小五生手氣超旺!高雄3廟「擲筊霸主」曝
8
台灣戰澳洲!台南Josh點名1人 球迷嗨翻
9
路上突出現4個S方格!內行警告:荷包殺手
10
瞬間解體!美潛艦魚雷轟碎伊朗軍艦87死
HOT焦點
更多
企業暖心故事 一份工作撐起整個家
初一金山財神廟湧人潮 聯名蛋捲禮盒喜氣
「星城Online x戲說台灣」單元劇引爆話題
頻道推薦
直播✦活動
三立新聞網
為了提供更好的閱讀內容,我們使用相關網站技術來改善使用者體驗,也尊重用戶的隱私權,特別提出聲明。
了解最新隱私權聲明
知道了