APP下載
活動
爆料
圖輯
AI爆報
追蹤新聞
5
非洲豬瘟侵台!立院關注檢疫
立院報告廚餘去化、防疫清消
台灣彩券開獎直播中
三立iNEWS新聞台線上直播
LIVE三立+24小時直播
即時
非洲豬瘟侵台
藝人閃兵案擴大
新聞
熱門
政治
社會
娛樂
生活
新奇
健康
國際
兩岸
運動
財經
房產
旅遊
科技
汽車
遊戲
ESG
影音
總覽
政論
節目
熱搜
直播
iNEWS
專題
總覽
特企
專頁
大事件
彩券
專欄
民調
快訊
絕緣體9m88沒對象 章廣辰被劈3次在身邊
08:30
小哈利跟秦昊上節目 眼神洩父愛感動網友
08:22
獨/奧丁丁搶進納斯達克 股價震盪原因曝
08:20
阿緯稱團員免役「合情合理」3棒神色有異
08:14
《回魂計》太真實?政商洗錢竟這樣玩!
08:10
于朦朧爆慘死 「遺體被搬運」畫面疑曝光
08:08
9m88、章廣辰IG同款作品愛苗藏不住!
08:07
已婚男揪砲友享受多人運動!害元配染梅毒
08:06
柯克身亡1個月 女兒現身「一句話惹哭人」
08:05
下一波涼空氣這天到!雨區縮至「2地區」
08:04
豬瘟疑點狂被打臉 盧市府:9月未獲警示
08:01
黃金跌破4000美元還能買?專家曝操作關鍵
08:01
台中稽查養豬場僅5% 他轟:盧秀燕說謊
07:57
鴻海、NVIDIA與Uber AI自駕車隊準備起跑
07:51
10年好友擦火花 9m88章廣辰約會遍布台北
07:47
女總監愛上惡男「見1幕」潑油衝家燒死他
07:42
一手台積電、一手美債ETF 專家揭致富法
07:41
愛馬仕6百萬沒了 壯壯哭求工作下場反轉
07:40
邱偲琹為愛苦練韓文 歐巴紀錄戀情藏玄機
07:38
道奇4人2度打18局戰役 當年僅他落寞離場
07:36
台灣彩券開獎直播中
20:31
台彩中秋加碼總獎金達4.5億
12:00
大樂透加碼100組100萬元
12:00
長輩備餐變吃力 快煮稀飯恐增營養風險
12:00
為何選他?基隆房市異軍突起!
12:00
首頁
關鍵字
酒糟性皮膚炎
酒糟性皮膚炎
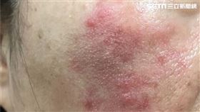
防疫口罩一戴六小時 婦人酒糟肌復發
67歲廖太太本身患有酒糟性皮膚炎,因武漢肺炎(COV...
2020/04/14 13:51
長戴口罩防肺炎 酒糟性皮膚炎復發增
一名35歲吳小姐在某醫學中心擔任護士,長期飽受酒糟性...
2020/02/26 09:00
酒糟性皮膚炎 恐「臉蟲太多」害的
一名30歲的蔡小姐罹患酒糟性皮膚炎,滿臉皮膚泛紅且雙...
2018/06/25 15:14
丘疹膿疱型酒糟 這樣治療照護超有效
酒糟性皮膚炎 蠕形蟎蟲比常人多10倍 容易臉紅超過...
2018/05/16 18:15
粉刺機輕鬆除粉刺?女爛痘惡化爆粉瘤
用時下最夯的粉刺機擠粉刺可得要小心,因為高雄一名18...
2017/11/13 13:40
生娃卻變醜? 產後美肌妙方大公開
是否曾聽過這樣的說法,如果懷男寶寶,媽媽因為男女荷爾...
2017/09/18 16:45
嘻小瓜急動刀 清創手術被當「整形」
前《大學生了沒》節目班底嘻小瓜(謝文傑),因擔任韓團...
2016/12/25 21:41
酒糟皮膚炎新選擇!給你乾淨好膚質
酒糟性皮膚炎是一種慢性反覆性的皮膚病變,主要為血管擴...
2016/11/03 13:41
酒糟性皮膚炎反覆發作 面子掛不住嗎
酒糟性皮膚炎是非常難治療的皮膚疾病,只要一熱或天氣變...
2016/08/18 09:30
敏感膚質擦低敏產品也沒效?
以為是敏感肌膚,但就算擦低敏產品也沒效嗎?當心您可能...
2016/08/03 13:08
酒糟膚反覆發作?醫籲禁用類固醇!
酒糟性皮膚炎是一種慢性反覆性的皮膚病變,此病症好發於...
2016/03/16 09:00
肌膚敏感 告別酒糟性皮膚炎有新法
酒糟性皮膚炎是非常難治療的皮膚疾病,只要一熱或天氣變...
2016/03/07 16:25
受夠了擦類固醇嗎?過敏性皮膚新選擇
你有酒糟性皮膚炎的困擾嗎?由於傳統治療方法往往會使得...
2016/02/27 10:15
最新圖輯
更多
劉書宏專訪
袁澧林、陳孝萱專訪
第36屆金曲獎星光大道
第36屆金曲獎得獎圖輯
NMIXX林口體育館粉絲演唱會
KISS OF LIFE台北演唱會
林芯儀專訪
GYUBIN大巨蛋開球
陳謙文專訪
孫麥傑專訪
今日頭條
1
台中稽查養豬場僅5% 他轟:盧秀燕說謊
2
「北教大王力宏」吃12女!校長學生皆後宮
3
黃仁勳:輝達攜手美國打造7座AI超級電腦
4
于朦朧爆慘死 「遺體被搬運」畫面疑曝光
5
Energy「閃兵」代價近億元 他跌落神壇
6
狠心陸配溺死小姊妹…獨活上法庭懊悔1事
7
踹傅崐萁桌遭告6罪!張峻:踹這一腳值得
8
10年好友擦火花 9m88章廣辰約會遍布台北
9
今僅18.5度!3波冷空氣接力 轉濕冷時間曝
10
女摘子宮「胃和膀胱掉下」?婦科醫揭真相
HOT焦點
更多
長輩備餐變吃力 快煮稀飯恐增營養風險
為何選他?基隆房市異軍突起!
李威妻涉精舍殺人案…開庭這樣說
頻道推薦
直播✦活動
三立新聞網
為了提供更好的閱讀內容,我們使用相關網站技術來改善使用者體驗,也尊重用戶的隱私權,特別提出聲明。
了解最新隱私權聲明
知道了