APP下載
活動
爆料
圖輯
AI爆報
追蹤新聞
3
台灣彩券開獎直播中
三立iNEWS新聞台線上直播
LIVE三立+24小時直播
即時
赤手獨攀101
台美關稅15%
新聞
熱門
政治
社會
娛樂
生活
新奇
健康
國際
兩岸
運動
財經
房產
旅遊
科技
汽車
遊戲
ESG
影音
總覽
政論
節目
熱搜
直播
iNEWS
專題
總覽
特企
專頁
大事件
彩券
專欄
民調
快訊
車銀優逃稅道歉無效 韓軍方1動作切割
07:26
名作家捲性騷!記恨教授拒洩密抹黑被判刑
07:24
她開賓士酒駕撞死人…靈堂下跪得不到原諒
07:15
鐵窗之戀!Toyz每步都算計早有端倪曝光
07:15
「末日鐘」倒數85秒!曝3原因 台灣列上榜
07:12
美修理韓做給台灣看!他揭藍白2戰略錯誤
07:09
每月七天蜜月!Toyz獄中福利太狂全面曝
07:08
霍諾德徒手爬101 母親首發聲洩真實反應
07:05
把錢錢變成喜歡的樣子!新鈔公投萬人擠爆
07:01
Toyz鐵窗內完婚!篠崎泫點頭全網傻眼
07:01
美醫療股成黑天鵝 韓不甩加徵關稅創高!
06:59
對話曝光!剴剴被綁留五掌印 她卻回好爽
06:56
星二代留學美國 揚言開槍掀校園恐慌
06:54
張又俠落馬沒差?他揭共軍早無法登陸台
06:54
拒檢逃逸又撞警!嫌挨15槍觸3罪、吞6罰單
06:46
鼎泰豐中國風暴!前董座被告背信侵占回應
06:45
男星獄中祕婚曝光!連丈母娘都不知情
06:44
鼎泰豐驚爆4.8億黑帳 前董座遭控涉掏空
06:40
阿斯夫拉就任宏都拉斯總統 再添川普盟友
06:40
義大利麵撐起極凍奇蹟!美女主播實測爆紅
06:37
台灣彩券開獎直播中
20:31
迎金馬年!台彩春節加碼總獎金12億
16:00
凱基金控2026 MA招募開跑!
16:00
昇恆昌董座實踐利他精神全員志工化做公益
16:00
便當傳愛對抗孤單 為視障黑暗中點燈
14:00
吳琪銘宣布交棒兒吳昇翰 造勢場5千人挺
20:00
搶攻年前購車潮 賓士「超星動專案」吸睛
12:00
數位轉型AI實戰 凱基金控躋身AI創新百強
10:30
首頁
關鍵字
腸胃炎
腸胃炎
「5隔夜菜」傷身!這款甚至暗藏奪命毒素
冰箱不是「萬靈丹」,小心吃出大問題!許多民眾習慣將晚...
2026/01/24 11:43
腸胃炎增!醫曝10個中8個 腎出事也會腹痛
腹痛不一定是腸胃炎!胃腸肝膽科醫師張靖發文分享,近期...
2026/01/13 20:03
以為腸胃炎!他喊「3字」醫大驚:送進ICU
近期氣溫變化大,身體狀況更要注意!急診科醫師白永嘉分...
2026/01/09 17:14
拉肚子或與性傳染有關 超過這天數快就醫
成大醫院今天表示,近年台灣臨床與公共衛生監測發現,一...
2026/01/08 00:28
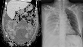
猛吐原認腸胃炎「雙眼上吊」掃腦竟超致命
一名11歲女童因反覆嘔吐且服用止吐藥無效,最初被診斷...
2025/12/13 07:03
林逸欣心疼醫生爸爸住院!首露面談病況
「音樂甜心」林逸欣今(6)日與老公現身「500趴」演...
2025/12/06 18:04
大腸癌年輕化!醫曝45%患者首症狀:別拖
大腸癌有年輕化趨勢!胸腔暨重症科醫師黃軒近日說,醫學...
2025/11/18 09:01
獨/林隆璇兒當兵少賺3百萬 真實收入曝
林隆璇愛兒林亭翰這次參加軍旅實境秀節目,如今他接受《...
2025/10/23 08:00
蛋黃酥名店又爆食安!客吃捲曲黑毛掛急診
台中老字號糕餅名店「香格禮坊」接連爆出食安問題,日前...
2025/10/05 12:57
百萬YTR新婚妻病倒送醫 憔悴面容曝光了
馬來西亞YouTuber常勇(蔡常勇)幽默風趣的風格...
2025/10/01 11:16
超多鏟子超人生病!得橫紋肌溶解ICU急救
花蓮縣馬太鞍溪堰塞湖溢流,導致光復鄉災情慘重,全台眾...
2025/10/01 10:14
離開災區「快丟1物」!頭痛、腹瀉要就醫
花蓮光復鄉因馬太鞍溪堰塞湖溢流,出現嚴重災情,許多熱...
2025/09/29 12:04
「米粉拜完6小時」全家吃完上吐下瀉送醫
本週六就是一年一度的中元普渡,家家戶戶備妥豐盛供品祭...
2025/09/20 09:30
女星突右下腹疼痛!曝經期前身體怪異狀況
27歲的邱偲琹在社群限時動態上透露自己右下腹痛,且高...
2025/09/19 06:05
不吃隔夜餐、生食 祖孫每周腸胃炎 元凶曝
冰箱溫度若不夠,食物可能腐敗,吃下肚會造成腸胃炎。胃...
2025/09/18 21:33
焦凡凡懷孕 婁峻碩「孕吐」變人體噴泉
婁峻碩昨(14)日在台中演唱會上驚喜宣布老婆焦凡凡懷...
2025/09/15 15:23
最正人妻出事了 救護車急送醫病因曝光
知名YouTuber兼實況主咪妃,婚後育有一女,人氣...
2025/09/06 07:22
豐原烤鴨爆恐怖食安 逾30人上吐下瀉發燒
台中市豐原區中山路一家烤鴨店爆發食安事件,多位民眾這...
2025/07/24 11:52
50歲女腹痛就醫!醫一看驚呆:癌症末期了
每年都要定期健檢,追蹤自己的身體狀況。一位50歲女子...
2025/07/01 07:08
吃粽別配2水果!醫警告:恐釀急性腸胃炎
今(31)日就是一年一度的端午節,許多人會在這一天吃...
2025/05/31 08:13
吃高級法餐上吐下瀉 店家卸責:可送花籃
有民眾日前到台北貴婦百貨的高級法餐店用餐,因為主廚是...
2025/04/15 16:39
諾羅一人中全家遭殃 醫:別再吃稀飯吐司
諾羅病毒疫情肆虐,且傳染力極強,常常「1人得病全家遭...
2025/03/17 15:37
腸胃炎喝運動飲料會更慘 醫指它才是首選
最近腸胃炎病毒大流行,嘔吐、腹瀉症狀讓大人小孩都吃不...
2025/03/10 18:07
腹瀉喝運動飲料拉更慘!補充「這款」才對
根據疾管署4日統計,國內上週腹瀉就診27.5萬人次,...
2025/03/06 11:04
台商回國慘腹瀉多日 就醫才知已經腎衰竭
台灣洗腎人口占比全球第一,但還是有許多民眾對於腎臟功...
2025/03/02 19:10
諾羅殺進海軍…虐151人腹瀉!校方說話了
一堆人衝急診,事件才曝光!一名海軍官校學生吃了伙房煮...
2025/02/24 09:01
腸胃感染一瀉千里 中醫曝這3穴位助康復
腸胃感染「一瀉千里」的惡夢,除了及時就醫治療,中醫建...
2025/02/16 16:45
諾羅病毒肆虐 醫:十隻病毒就可造成感染
台灣流感、諾羅疫情嚴峻!疾管署11日表示,上週腹瀉門...
2025/02/13 09:00
憂出國得流感?醫曝:台灣感染率比日韓高
台灣流感、諾羅疫情嚴峻!疾管署昨(11)日表示,上週...
2025/02/12 16:08
諾羅「1人中鏢全家團滅」 醫:開學再1波
疾管署統計,春節後全國腹瀉門急診就診人次暴增,光是上...
2025/02/12 13:39
最新圖輯
更多
羅志祥30周年演唱會
凱琳專訪
黃鐙輝、吳念軒、黃騰浩專訪
第62屆金馬獎得獎後台
第62屆金馬獎紅毯
劉書宏專訪
袁澧林、陳孝萱專訪
第36屆金曲獎星光大道
第36屆金曲獎得獎圖輯
NMIXX林口體育館粉絲演唱會
今日頭條
1
阿斯夫拉就任宏國總統盼與台灣恢復邦交
2
韓關稅飆!前台積工程師:台灣恐遇2衝擊
3
12分鐘詭異噤聲!頂大男被丟包亡同袍發聲
4
總統:台灣實力是談判關鍵 代價較日韓小
5
高大成看霍諾德攀101 舉2例不挺轟:亂搞
6
今晨12℃!下波冷空氣更強「這3天最冷」
7
鼎泰豐中國風暴!14分店全關 1.8億被溢領
8
高雄警連轟15槍仍逃逸!男落網:被攔怕了
9
YouTube出新招!1功能恐收費 免費仔哭了
10
藍白要求赴立院報告軍購 賴清德嗆這句
HOT焦點
更多
昇恆昌董座實踐利他精神全員志工化做公益
便當傳愛對抗孤單 為視障黑暗中點燈
搭台北捷運吃年菜!好年味市集料理秀登場
頻道推薦
直播✦活動
三立新聞網
為了提供更好的閱讀內容,我們使用相關網站技術來改善使用者體驗,也尊重用戶的隱私權,特別提出聲明。
了解最新隱私權聲明
知道了