APP下載
活動
爆料
圖輯
AI爆報
追蹤新聞
3
台灣彩券開獎直播中
三立iNEWS新聞台線上直播
LIVE三立+24小時直播
即時
北捷隨機攻擊
財劃法不副署
新聞
熱門
政治
社會
娛樂
生活
新奇
健康
國際
兩岸
運動
財經
房產
旅遊
科技
汽車
遊戲
ESG
影音
總覽
政論
節目
熱搜
直播
iNEWS
專題
總覽
特企
專頁
大事件
彩券
專欄
民調
快訊
柯侵占千萬?陳佩琪:這麼多錢我怎沒管到
18:16
隨機殺人引恐慌! 中職研擬加強球場安檢
18:11
春節頂級溫泉美食之旅!北投麗禧約你開吃
18:07
領隊會議更改2規範 球員釘鞋由裁判認定
17:56
北捷隨機攻擊4死 葛仲珊揭台美最大差異
17:50
飯店"最髒地方"曝!旅遊達人:完全不敢碰
17:46
「1夜市」逛到鐵腿!朋友初訪嚇呆:太大
17:43
預告39捷運站成下個目標 警方秒逮發文者
17:38
爆米花聯盟合庫奪第7冠 19歲投手榮鷹MVP
17:38
屈宏義吸收退役軍人 監院報告曝光嚴重性
17:35
403震出超速都更!土城清水都更1年半簽約
17:34
被影射收紅錢 Cheap強硬發聲:會一個個告
17:32
張文國中母校曝光!校方:勿放大在校行為
17:30
大雪山「楓」景曝 這棵天然聖誕樹真欠拍
17:27
柬控泰放毒氣!東協急商討終戰
17:26
男人肚子大、性慾降!潘俊亨醫師發出警告
17:24
新/男揚言炸小港機場:鄭捷、張文我的人
17:23
超兇猛涉谷由里加入SWAG!首戰日期曝光
17:22
張文為何選手扶梯縱火?前警官揭駭人內幕
17:22
跨年戒備!北捷董座:主要車站保全增一倍
17:21
台灣彩券開獎直播中
20:31
華南銀行SnY數位帳戶出任務!
14:00
蔡淑臻出席『海芙時光機菁英高峰會』
12:00
國際大獅子?八點檔自己玩笑都敢開
12:00
外送專法「單單等值」限制「疊單」爭議多
09:00
深耕在地!PP石墨烯以實際行動應援台灣
16:00
謝宜容霸凌案促《職安法》增「霸凌專章」
14:00
「睡眠能量艙」為何越來越多人開始這樣睡
14:00
亞太首創!早期腎病年報看見台護腎領導力
13:00
秋冬穿出曲線小心機!「波波凍」無痛UP
12:00
桃合特區首案「佳陞豐禾」擁新站計畫利多
13:00
首頁
關鍵字
硬塊
硬塊
男友下體全是垢!她崩潰:上次吃的是啥
私密處真的要認真清潔,若有發生性行為,可能還會影像到...
2025/12/09 10:54
人夫包莖封死30年!醫驚:整圈都是硬塊
有私密處困擾應盡早解決。亞洲大學附屬醫院男性性功能中...
2025/12/08 12:28
乳房有硬塊不是乳癌 竟是罕見肉癌來纏身
苗栗一位56歲的黃女士,幾個月來一直覺得左邊乳房觸摸...
2025/10/29 12:05
前主播昔胸部長硬塊 淚喊:孩子還這麼小
前主播張齡予宣導乳癌篩檢,回憶起2022年底生下兒子...
2025/08/27 22:40
頂級奶粉驚見「深綠塊狀物」1月大嬰喝下
高價嬰兒奶粉竟驚見不明異物?有家長投訴花了1780元...
2025/06/22 16:27
乳癌「5前兆」!醫:別以為沒硬塊就沒事
乳癌是女性最常見的癌症之一,但除了硬塊,乳癌的前兆還...
2025/05/05 08:16
自摸蛋蛋觸感如「茶葉蛋」醫:恐睪丸癌
男性同胞,你「自摸」了嗎?泌尿科醫師顧芳瑜提醒男性,...
2025/05/03 15:40
YTR陳彥婷左胸摸到2腫塊 急做切片檢查
YTR陳彥婷和老公巨人交往8年結婚,婚後育有2子「黃...
2025/05/01 09:05
台8男星乳房有硬塊 靠她一句話逆轉心情
52歲男星涂晨洋過去演出多部台劇,逐漸打開知名度,雖...
2024/06/12 14:41
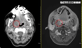
男脖子痛以為喉嚨痛 檢查竟是扁桃腺癌
台中市42歲男子不菸不酒不吃檳榔,2個月前脖子右側出...
2023/12/04 15:25
沒摸到硬塊也要當心 36歲女師健檢揪乳癌
胸部沒摸到硬塊也可能得乳癌。36歲女老師BMI在標準...
2023/11/07 19:29
自測乳癌1常見姿勢錯了!正確方式曝光
乳癌是一種常見的女性癌症,因此對女性來說,關心自己的...
2023/10/05 10:23
30歲女胸部長大驚罹乳癌 高風險因子曝光
身體出現變化身體最知道,要是有異狀最好盡快就醫。一名...
2022/12/22 06:48
胸部痛痛!7歲女童右胸摸到「滑動硬塊」
小朋友「胸部痛痛的」,小心可能是性早熟。小學二年級的...
2022/09/30 15:07
怕罹癌!吳淡如嘴巴內有硬塊 診斷結果曝
知名主持人、作家吳淡如日前在PODCAST節目平台透...
2022/09/25 12:53
28歲罹乳癌「無遺傳基因」壞習慣曝
乳癌是台灣婦女發生率最高的癌症,居女性癌症第一,死亡...
2022/09/15 11:49
她驚見胸部硬塊滑動嚇傻!醫曝這腫瘤
年輕型乳癌發生率逐年提高,乳房外科醫師王亭雅在臉書上...
2022/07/23 17:42
主播張齡予乳房有硬塊 檢查結果出爐
三立新聞當家主播張齡予深夜在臉書發文,透露自己近日發...
2022/07/15 06:00
驗孕浮2線!他驚「我男生耶」醫曝因
男生用驗孕棒如果「浮出2條線」恐怕要小心了!一名男網...
2022/06/28 19:20
乳癌前兆「不只硬塊」!5徵兆要當心
藝人朱芯儀因演出《犀利人妻》走紅,去年底發現自己罹患...
2022/03/10 16:02
什麼是腱鞘巨細胞瘤? 醫籲盡早治療
許多民眾日常會發現手部、膝蓋、腳踝等處,莫名出現硬塊...
2022/03/03 19:34
身體出現硬塊 醫指常見3可能快就醫
許多民眾日常生活中,偶爾會發現自己身上突然出現腫塊、...
2022/01/30 12:00
手、膝蓋、腳踝出現硬塊? 要注意!
許多民眾日常會發現手部、膝蓋、腳踝等處,莫名出現硬塊...
2022/01/30 06:00
男摸睪丸硬塊!醫剖開見「蝦球」驚呆
身體若是出現狀況,一定要趕緊就醫檢查,千萬不能輕忽。...
2021/03/10 08:31
朱俐靜罹乳癌!醫籲「2類人」應篩檢
超偶冠軍歌手朱俐靜,傳出健檢發現罹患乳癌,目前正在藥...
2021/01/05 19:26
25歲新手媽罹乳癌 為愛女拒投降
花蓮一名25歲的王小姐在迎來新生命的喜悅時,發現左邊...
2020/11/02 12:51
私密處硬硬不給看 醫掰開掉這顆嚇慘
對於婦科疾病,很多女性朋友是害羞又尷尬,但如果真的生...
2020/09/08 15:47
爆乳硬塊滲血才肯面對…正妹乳癌3期
只要身上有硬塊都輕忽不得,不會痛的腫塊也可能是乳癌!...
2020/07/05 17:21
不吃早餐恐得心臟病!專家揭驚人原因
許多上班族往往因為忙碌,忽略吃早餐的習慣,或者是為了...
2019/03/11 14:05
蜜桃奶「走山」→釋迦乳 她淚切雙峰
「小針美容」曾在20年前於台灣流行一時,不過因為成分...
2019/01/02 10:21
最新圖輯
更多
第62屆金馬獎得獎後台
第62屆金馬獎紅毯
劉書宏專訪
袁澧林、陳孝萱專訪
第36屆金曲獎星光大道
第36屆金曲獎得獎圖輯
NMIXX林口體育館粉絲演唱會
KISS OF LIFE台北演唱會
林芯儀專訪
GYUBIN大巨蛋開球
今日頭條
1
張文最後一餐!「千元買豆漿」虎視10分鐘
2
中選會提名名單曝光 游盈隆擬任主委
3
新/男揚言炸小港機場:鄭捷、張文我的人
4
憲法法庭復活 近千位學者專家連署力挺
5
煙霧彈、信號彈是否納管?警政署最新回應
6
吳宗憲問你爸器官健在嗎?沈伯洋回擊嗆爆
7
不和謝龍介爭!陳以信:退出台南市長初選
8
福原愛再婚「罕提江宏傑」2020年就想離婚
9
瘋傳趙露思典禮服裝遭潑墨 本人鬆口認了
10
北市16噸蔬果竟農藥超標!3大熱銷品上榜
HOT焦點
更多
蔡淑臻出席『海芙時光機菁英高峰會』
推動「少子女化」好孕3案 育兒友善社會
外送專法「單單等值」限制「疊單」爭議多
頻道推薦
直播✦活動
三立新聞網
為了提供更好的閱讀內容,我們使用相關網站技術來改善使用者體驗,也尊重用戶的隱私權,特別提出聲明。
了解最新隱私權聲明
知道了