APP下載
活動
爆料
圖輯
AI爆報
追蹤新聞
3
台灣彩券開獎直播中
三立iNEWS新聞台線上直播
LIVE三立+24小時直播
即時
非洲豬瘟侵台
輝達進駐台北
新聞
熱門
政治
社會
娛樂
生活
新奇
健康
國際
兩岸
運動
財經
房產
旅遊
科技
汽車
遊戲
ESG
影音
總覽
政論
節目
熱搜
直播
iNEWS
專題
總覽
特企
專頁
大事件
彩券
專欄
民調
快訊
私大生被同事戰學歷 她反問1句全場閉嘴
22:12
林昶佐會芬蘭前球星議員 邀分享能源經驗
22:12
鄭麗文明就任藍黨魁 中共介選證據全曝光
22:00
人機共生階段曝! 機器人新進度一次看
22:00
中共搞AI挺鄭麗文任藍黨魁 幕後黑手現形
22:00
2025代表字「6-7」 字典編輯也不懂意思
21:56
北韓賣血換米!400cc鮮血僅能換3公斤米
21:55
竹縣家樂福熄燈 成全台唯一無量販店縣市
21:51
安以軒神隱3年半 夏于喬曝她真實現況
21:48
新/突破收黑陰霾?美股開盤這檔漲逾10%
21:44
陳玉珍刪預算槓上張惇涵 求償150萬敗訴
21:35
全台最大黃牛夫妻又犯 夫聲押妻15萬交保
21:33
GD登APEC晚宴獻唱!習近平竟甜笑狂點頭
21:32
流感壓境!家醫科醫師呼籲「快點打」
21:25
只推低公設成屋 加茂董座:房子要能住人
21:24
AI時代重點產業!天宇啟動國產儲能
21:21
竹市建案挖地下室民宅歪一邊 2原因曝光
21:21
雄鷹頒獎第2現場 限量60位與選手同歡
21:20
離婚協議藏陷阱 律師揭范姜佈局測謊內幕
21:12
日媒曝林家正赴火腿秋訓目標「留在日職」
21:07
台灣彩券開獎直播中
20:31
維生素B群功效與補充全解析!
14:00
日本熱銷4億包!糖脂對策 隨餐1包纖維粉
12:00
酷澎雙11狂購祭 美國保健品限時五折
11:00
八里國際化成形!港灣特區陸海空黃金三角
11:00
首頁
關鍵字
血痰
血痰
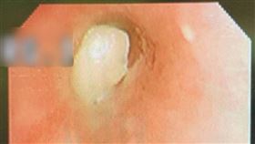
獨/痰色痰味揭得什麼病 最慘恐是癌症
究竟什麼是「痰」呢?胸腔外科權威李佳穎醫師解釋道:「...
2025/02/23 13:06
周天成咳血痰就醫 左肺泡及軟組織受損!
台灣羽球一哥周天成27日因為咳出血痰而赴院檢查,經過...
2024/08/27 14:17
他「喉嚨有痰」慘罹癌 醫示警1情況當心
近日天氣變化多端,讓許多民眾身體紛紛出現異狀,一名醫...
2024/02/26 05:37
梁云菲「咳血急送醫」憔悴病床照曝光
「國光女神」梁云菲擁有亮麗外型及火辣身材,加上個性豪...
2022/06/08 11:22
痰4種色曝病因 醫:「這種」最危險
現代人工作忙碌,常常因此忽略身體警訊,總是拖到最後一...
2022/04/04 00:01
拔牙後找不到牙齒 竟出現在這個器官
拔牙是每個人的成長經驗,除了循正規途徑請牙醫執行,有...
2021/10/01 09:49
她感冒吐檳榔汁色血痰 竟流感併肺炎
一名39歲女性因感冒先至診所看診,服用克流感卻不見效...
2020/01/14 11:06
你住這嗎?6成流感重症病例全在這
天氣越低溫,流感越活躍,根據疾管署統計指出,上週類流...
2019/01/22 17:11
單週再添3名流感死亡 通通沒做這事
疾管署今日公布上週(1月13日至1月19日)類流感門...
2019/01/22 15:22
流感疫情還在燒 預計八月中脫離高峰
疾病管制署今(1)天表示,國內流感輕症疫情、併發重症...
2017/08/01 17:01
疫情仍處高峰!公費克流感藥劑再延長
衛生福利部疾病管制署今(27)天指出,國內流感疫情重...
2017/07/27 14:10
流感未歇!高市4安養機構爆群聚感染
天氣逐漸轉熱,但國內近2週流感輕症及重症疫情卻上升,...
2017/06/07 10:03
流感疫情未句點 再添3例死亡個案
國內流感疫情持續,衛生福利部疾病管制署今(6)天指出...
2017/06/06 17:57
流感再升溫!單周門急診破七萬人次
近期天氣變化大,疾管署今(31)天指出,根據監測資料...
2017/05/31 13:15
共14家醫院!北市設類流感特別門診
台北市政府衛生局為因應農曆春節期間市民流感就醫,可能...
2017/01/26 11:12
別讓流感陪你過年!初二就診恐現高峰
疾管署今(24)日估計,今年農曆春節除夕至初六急診類...
2017/01/24 16:35
春假不打烊!流感病毒這一天最嗨~
流感病毒春假嗨翻天!疾管署今(13)日公布,依往年監...
2017/01/13 15:46
只剩約2萬劑!這8縣市流感疫苗打完
疾管署今(20)日公布,截至昨日,600萬劑公費流感...
2016/12/20 15:20
最新圖輯
更多
劉書宏專訪
袁澧林、陳孝萱專訪
第36屆金曲獎星光大道
第36屆金曲獎得獎圖輯
NMIXX林口體育館粉絲演唱會
KISS OF LIFE台北演唱會
林芯儀專訪
GYUBIN大巨蛋開球
陳謙文專訪
孫麥傑專訪
今日頭條
1
鄭麗文明就任藍黨魁 中共介選證據全曝光
2
和林信義見面 高市早苗喊:台灣總統府資政
3
送卓榮泰「望遠鏡+放大鏡」王世堅曝含意
4
總部卡關 黃仁勳親曝:大家都希望在台北
5
2700萬勞斯萊斯國道撞賓士 現場畫面曝光
6
范姜3度發聲打臉王子說辭!4點律師聲明曝
7
全台最大黃牛夫妻又犯 夫聲押妻15萬交保
8
獨/清2次…豬瘟案場滿地糞便老鼠橫行
9
南市長民調!陳亭妃、林俊憲都領先謝龍介
10
GD登APEC晚宴獻唱!習近平竟甜笑狂點頭
HOT焦點
更多
全台首輛行動CT車 桃園啟程貼心服務市民
傳說對決《國際電競女神盃》報名至11/9
「苦盡甘來」助移工 印尼新住民日行一善
頻道推薦
直播✦活動
三立新聞網
為了提供更好的閱讀內容,我們使用相關網站技術來改善使用者體驗,也尊重用戶的隱私權,特別提出聲明。
了解最新隱私權聲明
知道了