APP下載
活動
爆料
圖輯
AI爆報
追蹤新聞
3
台灣彩券開獎直播中
三立iNEWS新聞台線上直播
LIVE三立+24小時直播
即時
金鐘60
國民黨魁出爐
新聞
熱門
政治
社會
娛樂
生活
新奇
健康
國際
兩岸
運動
財經
房產
旅遊
科技
汽車
遊戲
ESG
影音
總覽
政論
節目
熱搜
直播
iNEWS
專題
總覽
特企
專頁
大事件
彩券
專欄
民調
快訊
北部恐濕3天!還有低壓波動攪和 雨變化曝
17:56
台積宅全面退燒 十二區買氣狂跌五成起跳
17:52
蹲式馬桶沖水不是用腳踩?衛浴大廠曝解答
17:49
最美消防員嫁了!婚宴請57桌 老公身分曝
17:49
堰塞湖滲流中!這一事讓人憂心將降挖
17:46
新/彰化市鷹架不敵強風吹 攔腰折半倒塌
17:45
長榮空服員失言風波 何淑萍澄清發言爭議
17:38
明是否停班課 謝國樑:北北基桃20時宣布
17:33
自民維新達共識組政府 高市早苗將成首相
17:33
李麗娟身份呼之欲出?王義川這麼說
17:29
李聖傑開唱黃牛炒破萬 苦練身材拚6塊肌
17:27
狂風暴雨!文大生「連滾帶爬」畫面曝光
17:27
北市5校宣布了!21日改遠距、停班課
17:26
家庭年收排行曝 天龍國跌剩第3它成黑馬
17:21
《大尾鱸鰻》男星猝逝 陳冠霖12字回應曝
17:19
少年假鈔誆店家!超狂言論讓人拳頭硬
17:19
敲碗成功!肯德基「花雕紙包雞」限量回歸
17:17
6大晨間習慣防失智 早餐吃這個效果翻倍
17:17
君悅線上旅展14款餐券必搶 限時買一送一
17:14
奇美埃及展10萬張門票秒殺 館方重大宣布
17:13
台灣彩券開獎直播中
20:31
台彩中秋加碼總獎金達4.5億
12:00
大樂透加碼100組100萬元
12:00
酷澎聯手INNISFREE限時優惠開搶
16:00
金鐘60紅毯星光熠熠 指定尊榮座駕成亮點
12:00
石崇良突檢超商加熱菸「這些狀況」被抓包
11:00
桃園護國宮太子爺圈粉 橫跨97歲到大學生
10:30
桃護國宮太子忠孝文化季 首創太子遊樂園
09:00
桃園護國宮硬派女子轎班 竟淚灑遶境現場
21:15
桃園護國宮太子起駕夜巡 彩煙如飛龍升空
18:40
共享金鐘60資生堂讓眾星年輕透亮又上鏡
21:00
女性保健品推薦 分齡營養懶人包
12:00
首頁
關鍵字
多生牙
多生牙
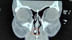
流鼻血十多年 婦鼻腔長18公厘牙齒
流了10多年的鼻血,竟是牙齒長錯位置!中國大陸湖南一...
2017/10/27 12:40
頻流鼻血誤當腫瘤 鼻子竟「長牙齒」
一名30多歲男性經常流鼻血,到耳鼻喉科就診,醫師觀察...
2016/12/29 20:00
最新圖輯
更多
劉書宏專訪
袁澧林、陳孝萱專訪
第36屆金曲獎星光大道
第36屆金曲獎得獎圖輯
NMIXX林口體育館粉絲演唱會
KISS OF LIFE台北演唱會
林芯儀專訪
GYUBIN大巨蛋開球
陳謙文專訪
孫麥傑專訪
今日頭條
1
北市5校宣布了!21日改遠距、停班課
2
台東男「持菜刀抱嬰」對峙媽媽!割傷濺血
3
狂風暴雨!文大生「連滾帶爬」畫面曝光
4
台南爆本土登革熱工廠群聚 2個案足跡曝
5
花蓮災區水溝蓋疑遭竊 季連成怒了
6
台灣大賽G3土洋對決 黃子鵬、韋禮加先發
7
因「走讀案」赴北檢開庭 黃國昌這樣說
8
習近平給鄭麗文賀電提統一 陸委會發聲了
9
風雨無阻嫁漢典 Lulu曬配偶欄吐新婚感言
10
三義瘋狗咬3女童!店家澄清:不是我養的
HOT焦點
更多
女性保健品推薦 分齡營養懶人包
烏克蘭來台唸大學 佳娜情定祖雄在台成家
金鐘60紅毯星光熠熠 指定尊榮座駕成亮點
頻道推薦
直播✦活動
三立新聞網
為了提供更好的閱讀內容,我們使用相關網站技術來改善使用者體驗,也尊重用戶的隱私權,特別提出聲明。
了解最新隱私權聲明
知道了