APP下載
活動
爆料
圖輯
阿立導讀
追蹤新聞
6
女星首擔任製片揭職場反擊人生
文哲逢甲遭噴辣椒中市警局道歉
大甲媽祖遶境進香 現場最新情
台灣彩券開獎直播中
三立iNEWS新聞台線上直播
LIVE三立+24小時直播
即時
白沙屯進香
美伊停火
新聞
熱門
政治
社會
娛樂
生活
新奇
健康
國際
兩岸
運動
財經
房產
旅遊
科技
汽車
遊戲
ESG
影音
總覽
政論
節目
熱搜
直播
iNEWS
專題
總覽
特企
專頁
大事件
彩券
專欄
民調
快訊
一份飛機餐代價20萬!婦股票險被扣才繳清
15:44
前男友拜陰廟詛咒他 還瞞愛滋發生性行為
15:43
70歲婦肩痛是肌腱斷裂 醫:破裂時間已久
15:42
溫班亞馬季後賽首秀轟35分 打破鄧肯紀錄
15:38
穀雨後天福星加持4生肖 感情開花結果
15:37
夢見劉在錫救他一命!男買彩券中千萬頭獎
15:34
設計來整人的 Cheap:淡江大橋腦殘機車道
15:34
辣椒水噴柯文哲重懲分局長:因24h後才坦承
15:34
周品均分享離婚經驗被前夫求償100萬
15:33
他守密孫藝真、玄彬戀情 慘被妻轟:叛徒
15:30
合約證實到期!36歲兒童台哥哥露面爆近況
15:28
40歲肌肉流失快 吃蛋沒用!少1動作變贅肉
15:22
Ella不知包餡魚丸挨轟反轉 演唱會突哽咽
15:16
柯辣椒水案逆轉!陳清龍怪:台中警速度慢
15:15
容量爆滿!她清理LINE「1舉」毀老闆心血
15:09
柯文哲辣椒水竟分局長噴的 他轟:唬爛啊
15:02
費仔首曝浪漫求婚!讚陳傑憲散發隊長氣場
15:01
愛妻癌症復發停工 杜汶澤洩心聲許1承諾
15:01
新/台南汽修廠大火「黑煙竄天」闆娘哭癱
15:01
奧迪中國專屬品牌 正在研發新車型
15:00
台灣彩券開獎直播中
20:31
大甲媽祖遶境進香 現場最新情
08:33
文哲逢甲遭噴辣椒中市警局道歉
14:56
女星首擔任製片揭職場反擊人生
15:45
星城Online祈福相伴 好運紅包錦囊超吸睛
13:00
臺東女路走讀山海 私房菜說生命故事
12:00
嬰幼兒呼吸道殺手!醫曝RSV預防新里程
10:30
面試找到歸屬感 李唐成為中信傑出經紀人
12:00
五月雪美不勝收 桃園桐花祭13處賞桐秘境
21:00
進香免煩漏!來復易讓長輩不怕找廁所
18:30
台灣狼現身白沙屯進香!送出限量結緣商品
18:00
護理師變房仲菁英 中信房屋黃盺妮勇跨界
12:00
酷澎跨境入手BP聯名 還有PS5星空
11:00
首頁
關鍵字
楊泮池
楊泮池
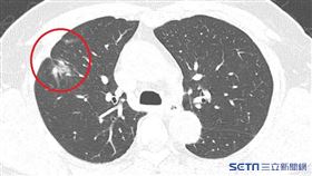
肺癌篩檢「過度診斷」白挨刀?石崇良回應
近日有學者投書指出,台灣大力推廣一般民眾接受肺癌篩檢...
2026/03/18 10:07
揪肺癌「這檢查」免費!2年找出1401個案
據統計肺癌為我國癌症死亡人數第1位,10348人也佔...
2024/07/26 11:00
肺癌成為新癌王!楊泮池疾呼:快抓原因
肺癌已擠下大腸癌,成為國內新癌王,為強化肺癌防治,國...
2023/11/21 17:00
LDCT篩檢擬擴大 3肺病「優先納公費」
肺癌已擠下大腸癌,成為國內發生率最高的新癌王,為強化...
2023/11/12 21:30
ChatGPT能助攻醫療?「PTT之父」曝1隱憂
台灣醫學會、台灣人工智慧實驗室與台灣臨床試驗聯盟11...
2023/11/12 12:23
肺癌成國病楊泮池曝關鍵!籲1篩檢普及化
肺癌已對亞洲各國造成重大的醫藥負擔,據統計,全亞洲已...
2023/09/18 16:38
現身台大癌醫!郭台銘吐與BNT合作「1事」
郭台銘今日上午行程滿檔,馬不停蹄再來到台大癌醫中心醫...
2023/05/12 12:01
肺癌18年死亡率第1「2族群」為高風險
肺癌連續18年位居台灣癌症死亡第一名,患者存活率較低...
2023/01/05 13:56
「重新創想醫藥未來」諾華榮獲國家新創獎
第19屆國家新創獎於12月3日舉辦頒獎典禮,該獎項作...
2022/12/13 11:00
生技業加緊腳步!楊泮池:政府企業皆有責
台灣生技醫藥發展基金會(TBF)董事長楊泮池指出,全...
2022/09/30 06:33
治療肺癌別太早動刀 楊泮池說原因
台大醫院今(30)日舉行創院130週年「精準醫療現況...
2022/07/30 15:49
癌症精準醫療 資通訊結合強化競爭力
全球已進入「精準醫療」時代,為患者量身打造適合的治療...
2022/03/30 19:00
「強制工作」違憲!騙扁小子黃琪賺到
曾經騙倒前總統陳水扁的「騙扁小子」黃琪,因假冒香港首...
2021/12/11 10:11
楊泮池籲健保數據打造AI平台
前台灣大學校長、中央研究院院士楊泮池今天表示,台灣資...
2020/11/10 11:33
不吸煙還是得肺癌 中研院揭三大關鍵
肺癌傳統被認為與吸菸畫上等號,不過台灣的不吸菸肺癌患...
2020/07/17 12:33
管爺上任卡關 台大老校長批玩法弄權
台灣大學校長一職空窗近八個多月,上個月遴選出財金系教...
2018/02/22 12:35
楊泮池明卸任 掛心台大「經費不足」
台大校長楊泮池明(21)日是任期最後一天,對於即將卸...
2017/06/20 19:23
台大新校長 最快107年1月底選出
台灣大學校長楊泮池不續任,校務會議今(23)日討論遴...
2017/04/23 14:16
楊泮池重申不續任 盼校務會議別表決
台灣大學今天針對校長楊泮池不續任案召開臨時校務會議,...
2017/04/23 10:23
論文案監督不周 楊泮池首發書面說明
教育部日前表示,台大校長楊泮池在論文案中有「有應注意...
2017/04/04 14:54
楊泮池未涉論文造假 掛名仍須被檢討
台大論文案處分結果出爐,科技部和教育部今(30)日公...
2017/03/30 12:47
台大論文案 郭明良遭重懲停權10年
台大論文案爭議,科技部和教育部審議結果,共計有 8人...
2017/03/30 10:50
台大論文造假風波 校長楊泮池挨告
由台大校長楊泮池掛名第二作者的論文「Cancer C...
2017/03/27 15:48
學者籲即日請假 楊泮池強調做完任期
台大校長楊泮池身陷論文爭議,今天向校務會議正式請求「...
2017/03/18 15:11
宣布不續任台大校長 楊泮池聲明全文
捲入論文造假風波的台大校長楊泮池,今(18)日在校務...
2017/03/18 14:42
楊泮池不續任案 校務會議票決再議
台大校長楊泮池身陷論文案,今天在校務會議上正式請求在...
2017/03/18 14:20
楊泮池宣布不續任 學界要求即日請假
台大校長楊泮池身陷論文案,今天在校務會議上正式請求,...
2017/03/18 14:14
捲論文案 楊泮池宣布不續任台大校長
台大教授郭明良等人違反學術倫理,波及有論文掛共同作者...
2017/03/18 11:19
假論文案!台大做出歷年最大規模懲處
台灣大學生化科學研究所教授郭明良團隊涉學術論文造假,...
2017/02/25 00:19
論文造假案 台大:郭明良違學術倫理
震撼學界的台灣大學教授郭明良論文案,校方今(13)日...
2017/01/13 22:51
最新圖輯
更多
劉冠廷專訪
林予晞、王真琳專訪
李雪、陳昱廷專訪
初孟軒、鍾岳軒專訪
龍千玉與翁立友領豪記唱片群星拜年
Rain鄭智薰小巨蛋演唱會
金在中演唱會
羅志祥30周年演唱會
凱琳專訪
黃鐙輝、吳念軒、黃騰浩專訪
今日頭條
1
辣椒水噴柯文哲重懲分局長:因24h後才坦承
2
不等國民黨徵召?魏平政宣布參選彰化縣長
3
Jisoo哥再爆性侵 受害者喊:曾跪下求饒
4
台中2歲童墜樓命危 試管媽奔白沙屯祈福
5
鄭習會後10「惠台政策」 農漁民紛紛表態
6
在地買嘸!宜蘭新人林口訂80杯50嵐送賓客
7
馬英九不忍了:蕭旭岑、王光慈別再貶損我
8
點無糖「果汁早加糖」龜記回應引爆網怒火
9
週四起炸雨低溫探1字頭!好天氣要等這天
10
「超級聖嬰」恐再現?專家揭預測機率
HOT焦點
更多
星城Online祈福相伴 好運紅包錦囊超吸睛
臺東女路走讀山海 私房菜說生命故事
JINS毛孩音樂市集吸萬人!開心野餐超療癒
頻道推薦
直播✦活動
三立新聞網
為了提供更好的閱讀內容,我們使用相關網站技術來改善使用者體驗,也尊重用戶的隱私權,特別提出聲明。
了解最新隱私權聲明
知道了