APP下載
活動
爆料
圖輯
AI爆報
追蹤新聞
8
劉揚偉親自主持鴻海Q3法說會
卓榮泰前往宜勘災
新壽T17、18解約報告審議
鄭麗文首次中常會談話
【⚡颱風特報不斷電直播⚡】
台灣彩券開獎直播中
三立iNEWS新聞台線上直播
LIVE三立+24小時直播
即時
鳳凰颱風動態
芬普尼毒雞蛋
新聞
熱門
政治
社會
娛樂
生活
新奇
健康
國際
兩岸
運動
財經
房產
旅遊
科技
汽車
遊戲
ESG
影音
總覽
政論
節目
熱搜
直播
iNEWS
專題
總覽
特企
專頁
大事件
彩券
專欄
民調
快訊
獨/蘇澳煙波30車泡水 消基會揭賠償關鍵
14:33
黃偉晉首認有新伴侶!公布對象超大咖藝人
14:31
新壽除草費也納分手費!李四川:還是要認
14:31
腳伸太長違規 柯瑞17年生涯首吞惡性犯規
14:29
內有影片/中國四川紅旗大橋坍塌!
14:26
黃明志罪名將揭!警完成調查報告曝下一步
14:23
首主持中常會!鄭麗文宣布:兼任革實院長
14:23
陸稱蕭美琴蔡英文竄訪刷存在 外交部回擊
14:22
學者:台灣應該要中國戰狼薛劍出來道歉
14:21
駁林佳龍、吳釗燮內鬥 國安會:杜撰不實
14:21
愛車拋錨又遭國軍巨獸輾爛!苦主吐這4字
14:17
逸祥上月才新婚 遭妻控飆罵丈母娘三字經
14:17
暴雨釀泡水車靠保險?「關鍵」曝:車主慘了
14:16
預測颱風假落空!老闆送200隻烤雞地點曝
14:16
新/土耳其軍機墜毀!機上20人全數罹難
14:16
ATEEZ亞洲巡迴首站獻台灣!售票資訊出爐
14:15
白營內部民調能贏蘇巧慧?黃國昌玩趙少康
14:12
太子集團30億洗錢!立委:金管會在睡覺?
14:01
慣老闆被打臉! 中高齡不求高薪只求家近
14:00
賴清德喊「維護國會尊嚴」!韓國瑜回應了
13:58
台灣彩券開獎直播中
20:31
【⚡颱風特報不斷電直播⚡】
06:10
鄭麗文首次中常會談話
12:30
新壽T17、18解約報告審議
13:30
卓榮泰前往宜勘災
13:49
劉揚偉親自主持鴻海Q3法說會
14:30
瑪菲司攜手APINK金南珠!打造派對神曲
12:00
AI+3D引爆戶外廣告新革命 專家這樣說
12:00
「桃園公民影像展覽」登場!集結市民作品
10:00
拚經濟復甦傳產!林岱樺高雄打造護國產業
11:00
走進旗山 林岱樺打造更貼心的照護網
10:00
市場波動不斷 多元商品保護獲利
20:00
薑黃素5大功效與吃法全解析
12:00
2025金融博覽會登場 主題聚焦反詐展決心
12:00
首頁
關鍵字
異食癖
異食癖
愛吃冰塊「恐是身體在求救」醫:不應忽視
醫師吳昌騰提醒,若出現「無法控制想吃冰塊」的情況,可...
2025/10/25 20:13
少女腹痛1個月 開刀取210公分毛球破紀錄
印度一名14歲女學生長期腹痛、噁心嘔吐,直到近日緊急...
2025/06/01 23:00
8歲女童常腹痛 竟是巨大「黑毛石」卡胃
一名8歲女童因連續3個月間歇性腹痛,近日症狀加劇,還...
2025/04/02 16:17
12歲女童腹痛半年 異食癖吃頭髮積成糞石
12歲林小妹(化名)因長達半年不明原因的上腹疼痛、噁...
2024/02/29 15:39
男腹痛照X光驚見60件異物 別針、螺絲吞肚
印度一名男子胃痛2年,日前因為腹部疼痛及高燒緊急就醫...
2023/09/29 18:43
上廁所驚見女友「喝光月亮杯經血」他崩潰
我到底看了什麼?一名男網友近日錯愕地表示,他與女友在...
2023/04/03 06:06
少女禿頭沒食欲!醫檢查胃見3公斤胃髮石
可怕!中國陝西省西安市一名14歲少女近期吃不下東西,...
2022/12/01 22:54
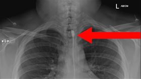
女喘不過氣送醫 照X光驚見充電線卡體內
波蘭一名女子因呼吸困難緊急送醫,沒想到,醫生照X光檢...
2022/11/16 21:32
男孩腹痛送醫!X光驚見牙刷大鐵釘
印度一名14歲的男孩因為有「吃土」的奇特喜好,為了要...
2021/10/27 15:51
國三少女腹痛難忍 醫生開刀當場嚇壞
大陸一名年僅14歲、就讀國三的少女,近期不斷感到腹痛...
2021/04/01 09:47
國三少女腹痛難忍 醫生開刀驚見毛怪
大陸一名年僅14歲、就讀國三的少女,近期不斷感到腹痛...
2020/12/04 13:05
超級美女爆怪癖 一日竟吃50袋茶包
被稱為「新疆四美」之一的女星古力娜扎,她有著精緻五官...
2020/03/09 10:34
女友愛嗑蛋蛋「連人都吃」他崩潰想分
異食癖是一種病,醫學界解釋患有這個病的人,會持續性地...
2020/02/26 23:07
5寶媽嗑爽身粉15年 每天要吃1桶
放眼國內外,有許多「異食癖」的例子,有的人愛吃螺絲釘...
2020/01/07 22:30
深夜狂嗑「生米」解壓!女子啃到牙裂
高雄一名女子突然生出怪異癖好,她某天在洗米過程吃了一...
2019/10/05 10:20
26歲女狂吃金飾!肚內藏了200萬
印度西孟加拉邦一名女子日前因為身體不適、常常噁心胃痛...
2019/07/26 15:26
小六女肚子痛 開刀驚見250克頭髮
小朋友日常生活的小習慣,竟成了差點致命的原因!浙江麗...
2019/03/01 13:14
別再吃毛線了!解析貓咪異食癖
「嚓~嚓~嚓~~~」什麼!又被我抓到喵皇再吃塑膠袋了...
2018/06/08 11:06
飯後94吃黏土…她靠怪異零嘴賺百萬
天下無奇不有!英國一名女子吃土成癮,甚至懷孕期間看到...
2018/05/16 14:09
少女猛拔頭髮吃 腹中取出1公斤毛球
印度一名女子,因為患有罕見疾病,無法控制自己對於「頭...
2017/09/11 16:11
吃泥巴可止痛?印男成癮每日吃1公斤
印度有位45歲男子吃「泥巴」成癮,一天會吃掉一公斤的...
2017/07/19 17:05
啃磚頭上癮!印度異食癖男日吃3公斤
印度一名男子Pakkirappa Hunagundi...
2014/04/08 11:23
最新圖輯
更多
劉書宏專訪
袁澧林、陳孝萱專訪
第36屆金曲獎星光大道
第36屆金曲獎得獎圖輯
NMIXX林口體育館粉絲演唱會
KISS OF LIFE台北演唱會
林芯儀專訪
GYUBIN大巨蛋開球
陳謙文專訪
孫麥傑專訪
今日頭條
1
賴清德喊「維護國會尊嚴」!韓國瑜回應了
2
新/刺傷名醫江漢聲 新北男裁定羈押禁見
3
鳳凰挾豪雨來襲重創宜蘭 卓榮泰急勘災
4
黃明志罪名將揭!警完成調查報告曝下一步
5
粿粿離婚范姜破局 吳宗憲爆淨身出戶內幕
6
駁「既生龍、何生燮」 林佳龍:挑撥離間
7
新/野熊跑進機場!日本機場飛機暫停起降
8
太子集團爆乳特助15萬交保 北院發聲澄清
9
國台辦:台灣只能用「中國台北」參加APEC
10
鳳凰剩最後一口氣 今深夜出海解除海陸警
HOT焦點
更多
「桃園公民影像展覽」登場!集結市民作品
同理心成百萬經紀人 銷售菁英助同鄉圓夢
拚經濟復甦傳產!林岱樺高雄打造護國產業
頻道推薦
直播✦活動
三立新聞網
為了提供更好的閱讀內容,我們使用相關網站技術來改善使用者體驗,也尊重用戶的隱私權,特別提出聲明。
了解最新隱私權聲明
知道了