APP下載
活動
爆料
圖輯
AI爆報
追蹤新聞
3
台灣彩券開獎直播中
三立iNEWS新聞台線上直播
LIVE三立+24小時直播
即時
非洲豬瘟侵台
輝達進駐台北
新聞
熱門
政治
社會
娛樂
生活
新奇
健康
國際
兩岸
運動
財經
房產
旅遊
科技
汽車
遊戲
ESG
影音
總覽
政論
節目
熱搜
直播
iNEWS
專題
總覽
特企
專頁
大事件
彩券
專欄
民調
快訊
台中豬瘟場3度採陽 將採樣飼主家環境
01:21
輝達台灣總部落腳處 黃仁勳回應了
01:17
熱/結束光輝10月 資金轉向16檔題材曝
01:11
新/美股漲跌互見 Amazon、Twilio成亮點
01:07
AI還沒瘋才剛暖身 這檔將大啖投資商機!
00:58
個股/台達電法說會後 新目標價出爐
00:07
手殘按錯零股變1張 台積電一鍵爽賺65萬
23:58
萌娃萬聖節變裝王世堅!西裝、飄逸秀髮
23:57
救災便當吃掉「上億」?花蓮議會火藥味濃
23:50
獨/4位韓籍女神萬聖節變裝 她無人認出
23:50
粿粿范姜鬧婚變 超正前女友說話了
23:45
11月3星座迎財神 第一名加薪、中獎樣樣來
23:05
2700萬勞斯萊斯撞賓士 驚人維修費曝光
23:04
組發會涉死亡連署團滅 他籲鄭麗文做這事
23:03
黃仁勳炸雞外交 韓國雞肉概念股爆量漲停
23:00
亦敵亦友?南韓APEC小卡曝對台真心話
22:56
水逆衝擊!3星座恐「一路衰到年底」
22:46
「挺林岱樺」掀議論 王義川不出席造勢
22:42
韓國瑜、王世堅立院神對話 卓揆當場笑了
22:37
顧癱瘓爸「遺產只給錶」!她淚:做錯什麼
22:35
台灣彩券開獎直播中
20:31
維生素B群功效與補充全解析!
14:00
日本熱銷4億包!糖脂對策 隨餐1包纖維粉
12:00
酷澎雙11狂購祭 美國保健品限時五折
11:00
八里國際化成形!港灣特區陸海空黃金三角
11:00
13聖杯!桃園護國宮爐主淚:太子爺早暗示
19:40
首頁
關鍵字
腹膜炎
腹膜炎
男尿急找廁所被車撞破膀胱 醫揭憋尿下場
無論男女憋尿都可能對身體有不好後果!大陸浙江近日發生...
2025/04/26 23:28
媽、姊兩個月內癌逝!陸元琪心碎思念至親
藝人陸元琪近日在深夜社群發文,分享這一年來連續痛失至...
2025/04/25 12:01
安歆澐腹痛竟被錯割闌尾 得知誤診她傻眼
女星安歆澐(安欽雲)擁有亮麗的外型,最初是模特兒出身...
2025/02/22 14:03
她割過闌尾又要開刀?醫喊:很多人要小心
割盲腸(闌尾切除術)是常聽聞的手術,一般認為,切除後...
2025/02/09 12:58
女子連吃一個月止痛藥 竟胃穿孔、敗血症
長期吃止痛藥民眾要當心。台中市一名61歲女性持續腹痛...
2024/07/22 11:11
20歲女不明腹痛 竟是避孕藥造成靜脈血栓
20歲的張小姐一向身體健康,但日前因肚子痛而且合併噁...
2024/07/08 08:27
她腹痛吞藥忍4天慘了 胃酸膽汁漏到腹腔
若是身體出現異狀,最好就醫找出原因,但許多長輩都會有...
2024/06/14 11:53
肛門塞椰子!醫示警恐腹膜炎 4問題一次看
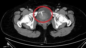
高雄一名50歲男子日因肚子劇痛、無法排尿至醫院急診,...
2024/04/18 07:00
嚇!五旬婦腹痛不止 竟是避孕器穿透子宮
55歲的張女士日前因腹痛1個多月,本以為是腸胃症狀,...
2024/01/13 06:34
主持天王爆罹癌1年 友人揭抗病真相
51歲日本主持界天王、SMAP前隊長中居正廣,去年(...
2023/11/10 08:18
險命喪埃及 台8女星出國爆急症動刀續命
許鈞鈞日前在8點檔《一家團圓》有精湛演出,近來趁休假...
2023/10/20 16:12
1歲男嬰半夜躁動不止 原來腸子打結了
一名1歲的小男嬰,日前曾感染腺病毒,雖然已經康復,沒...
2023/09/03 13:00
30萬喵星人喪命!賽普勒斯淪「死貓之島
歐洲島國賽普勒斯(Cyprus)是地中海知名的「貓島...
2023/08/11 11:32
誤吞4公分魚刺刺穿腸道 他腹痛4天險休克
多攝取魚肉有助身體健康,但若不小心誤吞魚刺,千萬不要...
2023/06/26 13:58
才做完排氣操 20天嬰兒「果凍血便」命危
中國大陸河南一名出生僅20多天嬰兒,疑似被護理師的「...
2023/04/30 23:58
一吃瀉藥「宿便撐破大腸」!她慘休克險死
許多民眾受便秘所苦,經常為了順暢排便,不擇手段的吃瀉...
2023/03/04 09:31
50歲男入境「4病齊發」歿!陸陽性率11.2%
中央流行疫情指揮中心今(14)日公布國內新增20,1...
2023/01/14 14:51
蔡小虎腸沾黏狂嘔!醫:嚴重恐「這下場」
有「豬肉王子」稱號的台語歌手蔡小虎,驚傳身體不適送醫...
2022/12/22 18:08
7旬翁小腸破裂送醫!竟是透抽惹的禍
吃東西要小心!南投一名七旬老先生上週末因為左下腹劇痛...
2022/09/07 14:06
男童嘔吐3天 腸子切開赫見熱門玩具
又有小朋友誤食熱門玩具「巴克球」,中部一名1歲多男童...
2022/07/29 11:28
只因摸完雞蛋沒洗手 2歲童肚子痛爆
大千綜合醫院外科部主任暨小兒外科專科醫師馮啟彥表示,...
2021/04/25 17:50
歌王腹痛送急診 切26公分小腸保命
金曲歌王羅時豐,先前透露身材明顯瘦了許多,全是因為過...
2021/02/21 17:13
摔車差1秒被卡車輾死 歌王躺一周
金曲歌王羅時豐以「斯斯」廣告深植人心,近來他強勢回歸...
2020/07/02 09:04
沒事摳「肚臍」醫憂:致死率恐達8成
你有狂摳肚臍的壞習慣嗎?千萬得當心,曾有一名40多歲...
2020/05/25 17:53
腹痛險歸西 金曲歌王急送醫斷腸保命
金曲歌王羅時豐近來強勢回歸華語歌壇,推出新專輯的同時...
2020/05/17 15:41
51歲羅時豐驚傳摔車 環島才剛出發
推出新專輯《體驗Experience》的金曲歌王羅時...
2020/05/13 12:26
母願折壽給你 驚曝羅時豐一度病危
藝人羅時豐舉辦新專輯「體驗」發片記者會,而整場活動除...
2020/04/23 18:08
醫生驚曝死亡警告 羅時豐忍痛送急診
藝人羅時豐近日推出新專輯「體驗」,但也曝光了自己過去...
2020/04/23 15:17
腸沾黏惡化成腹膜炎 金曲歌王險喪命
金曲歌王羅時豐睽違20個月回歸華語歌壇,去年10月初...
2020/04/19 17:04
進補小心?壯男喝「香菇雞湯」險奪命
真的是奪命香菇!高雄一名50歲男子,因為腹痛、想吐到...
2019/11/22 12:41
最新圖輯
更多
劉書宏專訪
袁澧林、陳孝萱專訪
第36屆金曲獎星光大道
第36屆金曲獎得獎圖輯
NMIXX林口體育館粉絲演唱會
KISS OF LIFE台北演唱會
林芯儀專訪
GYUBIN大巨蛋開球
陳謙文專訪
孫麥傑專訪
今日頭條
1
鄭麗文明就任藍黨魁 中共介選證據全曝光
2
和林信義見面 高市早苗喊:台灣總統府資政
3
送卓榮泰「望遠鏡+放大鏡」王世堅曝含意
4
總部卡關 黃仁勳親曝:大家都希望在台北
5
2700萬勞斯萊斯撞賓士 驚人維修費曝光
6
范姜3度發聲打臉王子說辭!4點律師聲明曝
7
全台最大黃牛夫妻又犯 夫聲押妻15萬交保
8
獨/清2次…豬瘟案場滿地糞便老鼠橫行
9
南市長民調!陳亭妃、林俊憲都領先謝龍介
10
GD登APEC晚宴獻唱!習近平竟甜笑狂點頭
HOT焦點
更多
全台首輛行動CT車 桃園啟程貼心服務市民
傳說對決《國際電競女神盃》報名至11/9
「苦盡甘來」助移工 印尼新住民日行一善
頻道推薦
直播✦活動
三立新聞網
為了提供更好的閱讀內容,我們使用相關網站技術來改善使用者體驗,也尊重用戶的隱私權,特別提出聲明。
了解最新隱私權聲明
知道了