快訊
聽新聞
0:00 0:00

苗栗男長期便秘下狠招!拿「長管灌腸」捅破直腸…宿便全灌進腹腔險喪命

記者吳泊萱/苗栗報導

男子因長期便秘,自行拿管子灌腸,不慎捅破直腸引發腹膜炎,差點小命不保。(示意圖/大千醫院提供)
男子因長期便秘,自行拿管子灌腸,不慎捅破直腸引發腹膜炎,差點小命不保。(示意圖/大千醫院提供)

苗栗一名65歲黃姓男子,長期飽受便秘所苦,因飲食控制無法改善,只能仰賴強力軟便劑幫忙,有時候還必須自行灌腸疏通。近日,黃男因解便困難,竟異想天開,拿長管子打算自行深入灌腸,結果不小心捅破直腸,被送到醫院時,因糞水流入腹腔,引發嚴重腹膜炎,經及時開刀才保住性命。

大千醫院外科部主任馮啟彥表示,黃男因嚴重便秘,每天都服用強力軟便劑,但還是無法順暢排便,因此黃男每隔兩三天,就會自行灌腸。近期,黃男因3天沒解便,自行灌腸又沒有效果,竟異想天開,拿長管子打算把瀉藥送進直腸深處灌腸,結果不慎捅破直腸,因腹部劇痛,被家屬送往大千醫院救治。

男子因便秘自行灌腸捅破直腸,大量宿便流進腹腔,引發嚴重腹膜炎。(圖/大千醫院提供)
男子因便秘自行灌腸捅破直腸,大量宿便流進腹腔,引發嚴重腹膜炎。(圖/大千醫院提供)

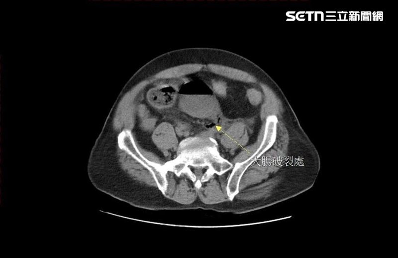
院方緊急安排電腦斷層掃描發現,黃男的直腸上端處出現巨大破洞,已有糞水從破洞流入腹腔,院方立即進行腹腔鏡手術,在直腸上端靠近乙狀結腸的轉彎處,找到一個直徑2公分的破洞,研判是黃男太用力灌腸,造成腸道破損,大量宿便流進腹腔,引發嚴重腹膜炎,幸好及時手術治療,保住性命。

馮啟彥指出,灌腸是在便秘時一種刺激排便的急救方式,但應該在醫師指示下謹慎使用且不宜長期依賴,因為過度使用可能導致肛門撕裂傷、痔瘡破裂出血、大腸黏膜受損等,甚至引發腸道破裂,導致腹膜炎。

男子因長期便秘,自行拿管子灌腸,不慎捅破直腸引發腹膜炎,差點小命不保。(圖/大千醫院提供)
男子因長期便秘,自行拿管子灌腸,不慎捅破直腸引發腹膜炎,差點小命不保。(圖/大千醫院提供)

馮啟彥建議,改善便秘應先從調整飲食、培養生活習慣及規律運動著手,像是增加膳食纖維,多吃蔬果、全穀類,每日飲水1500至2000毫升,補充益生菌。另外,也可以培養定時排便習慣,如廁使用板凳墊高雙腿,幫助放鬆骨盆底肌肉,不要強忍便意。

馮啟彥提醒,便秘容易引發痔瘡出血及肛門裂傷等問題,患者務必就醫,與醫師討論適合的治療方式,切勿自己強行灌腸,以免因直腸破裂、細菌感染,引發腹膜炎、敗血症,甚至休克死亡。

CH54三立新聞台直播
大數據推薦
【#直播中LIVE】林義雄現身?林家血案2026年追思紀念
熱銷商品
頻道推薦
直播✦活動
三立新聞網三立新聞網為了提供更好的閱讀內容,我們使用相關網站技術來改善使用者體驗,也尊重用戶的隱私權,特別提出聲明。
了解最新隱私權聲明