APP下載
活動
爆料
圖輯
AI爆報
追蹤新聞
3
台灣彩券開獎直播中
三立iNEWS新聞台線上直播
LIVE三立+24小時直播
即時
九合一點將
台美關稅15%
新聞
熱門
政治
社會
娛樂
生活
新奇
健康
國際
兩岸
運動
財經
房產
旅遊
科技
汽車
遊戲
ESG
影音
總覽
政論
節目
熱搜
直播
iNEWS
專題
總覽
特企
專頁
大事件
彩券
專欄
民調
快訊
AI記憶體需求激增 Sandisk股價狂飆15倍
01:16
半導體它一次全包 定額定期人數暴增4成
01:02
蚩尤後代在哪?專家:這4姓氏是戰神傳人
01:00
「蚩尤」到底是誰?黃帝為何將他剁肉剝皮
00:50
鋼琴師懷3寶激戰尪表弟 綠帽男急驗DNA
00:40
施凱爾訪日晤高市早苗 同意加強印太安全
00:29
熱/Meta資本支出1,350億鎂 台廠3強接單
00:11
新/台南規模3.7極淺層地震 最大震度3級
00:10
直擊/黃仁勳兆元宴 驚見「這醜怪」亂入
00:06
ASIC挑戰 黃仁勳:出貨量不超過輝達GPU
23:52
黃仁勳:台積電未來10年產能至少翻倍
23:49
直擊/「馮迪索」坐鎮 兆元宴維安升級!
23:37
煮符令助安眠?濟公師父踩紅線衛生局要查
23:20
北市大安區大樓火警 1男1女傷重不治
23:19
輝達入股 OpenAI 驚傳停滯 黃仁勳回應了
23:11
中今彩539頭獎800萬?「這議員」發聲了
23:06
生活平衡補助 單身聯誼、育兒時薪300元
23:00
小鐘拒絕催婚一語擊退!父親也笑噴
22:49
南投名間擬蓋焚化爐 反對民眾激動下跪
22:38
辣媽在國家公園「玩溜滑梯」 整條命沒了
22:29
台灣彩券開獎直播中
20:31
「星城Online x戲說台灣」單元劇引爆話題
12:00
尿布不斷貨 酷澎火箭速配最快隔天到
13:00
「2026新北ACGE產業學院」專業培訓啟動
12:30
大掃除神隊友!一噴除垢 晶亮好省力
12:00
首頁
關鍵字
動靜脈畸形
動靜脈畸形
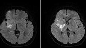
打噴嚏太大力「噴出血塊」他驚像腦袋爆炸
美國一名26歲的男子因為「打噴嚏太大力」差點喪命!外...
2023/05/08 17:57
女大生跑趴突昏倒 醫嚇:1器官畸形亂了
美國許多學生都會趁每年3、4月春節長假狂歡,但喬治亞...
2023/03/17 01:57
爆炸性頭痛別忍 年輕人中風主因是它
27歲的張小姐,某天上班時突然感受到一陣突如其來的爆...
2018/07/13 14:32
少年曾患腦疾病 于美人:注意小症狀
來自台東初鹿的柯辰勳,目前就讀國中三年級,是《超級紅...
2018/05/06 10:00
最新圖輯
更多
羅志祥30周年演唱會
凱琳專訪
黃鐙輝、吳念軒、黃騰浩專訪
第62屆金馬獎得獎後台
第62屆金馬獎紅毯
劉書宏專訪
袁澧林、陳孝萱專訪
第36屆金曲獎星光大道
第36屆金曲獎得獎圖輯
NMIXX林口體育館粉絲演唱會
今日頭條
1
台中媽餵藥殺2子聲押 法院裁准
2
北市大安區大樓火警 1男1女傷重不治
3
黃仁勳兆元宴再登場 重量級大咖全到齊!
4
青年指點治裝 賴清德被拱穿花襯衫反應曝
5
中今彩539頭獎800萬?「這議員」發聲了
6
方順吉遭仙人跳報警!不自殺聲明曝光
7
「環明輪」查獲上億海洛因!手法曝光
8
海鯤號潛航測試成功 吳釗燮曬空拍視角
9
濕冷入夜!凍完一波再迎「更強冷氣團」
10
北車旅店驚傳「紅蟲爬滿床」!觀傳局出手
HOT焦點
更多
捐200台交通車!永齡助攻社福服務
尿布不斷貨 酷澎火箭速配最快隔天到
大掃除神隊友!一噴除垢 晶亮好省力
頻道推薦
直播✦活動
三立新聞網
為了提供更好的閱讀內容,我們使用相關網站技術來改善使用者體驗,也尊重用戶的隱私權,特別提出聲明。
了解最新隱私權聲明
知道了